Liebe Dungpilzfreunde
fast wie alljährlich bin ich um Quedlinburg herum Dung sammeln. Das sind hauptsächlich die Gebiete Ochsenkopf mit Seweckenberge, Gegensteine, Schierberg.
Die ersten Funde konnte ich schon machen und hoffentlich richtig bestimmen. Korrekturen oder Hinweise jederzeit gerne willkommen.
Wie alljährlich Poronia punctata auf Schafdung, kurzstielig. 17.11.2023 Ochsenkopf-Seweckenberge
Den hätte ich gerne Saccobolus citrinus genannt. 17.11.2023 Ochsenkopf-Seweckenberge aua Schafdung
Sporen 16.16.6 x 7.4-8.2µm
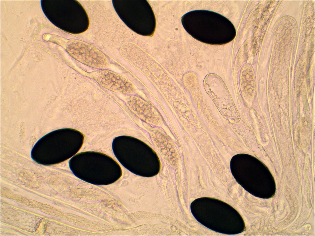
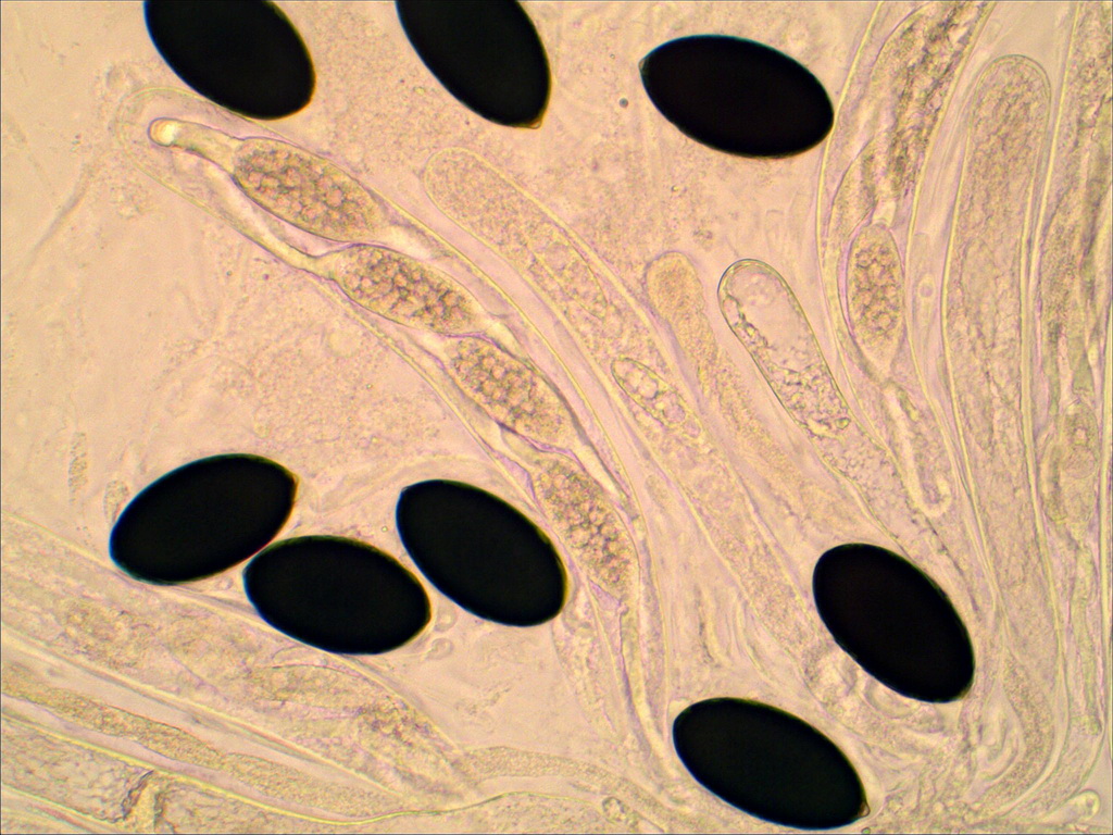
Arnium arizonense, viersporig mit langen braunen seitlichen Haaren
17.11.2023 Ochsenkopf-Seweckenberge auf Schafdung
Sporen 50-55.6 x 27.3-29.4µm
