Servus
nach längerer Zeit gibt es auch mal wieder für mich etwas Neues auf meinen Hasen und Reh-Köttel
die ich seit Ende Oktober in der Feuchtekammer habe.
Interessanter Weise wuchsen auf beiden Proben Iodophanus carneus,
Auf Hase sahen sie etwas blasser aus als auf Reh.
Iodophanus carneus Hase
Reh
Weiterhin gab es auf beiden Proben Sordaria fimicola, Schizothezium vesticola und Schizothecium tetrasporum
Die Sporormiellas hab ich mir noch nicht angeschaut
Auf Reh gab es dann diesen Neufund ( für mich)
ein schwarzes behaartes Perithecium konnte ich auf einer Seite eines Köttels finden + entnehmen
Podospora australis
Haare braun, oberes Drittel hyalin 60-80 x 3-4µ
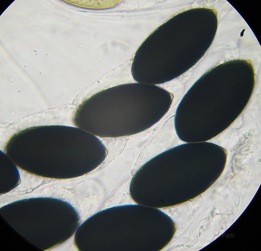
4-sporige Asci und riesige Sporen mit tollen Anhängseln
Sporen 55-63 x 27-30µ
hier in Chloralschwarz
noch mal in Wasser
Und wie wenn das nicht schon genug wäre
gab es auf Hase ebenfalls ein 4-sporiges behaartes Perithecium zu entdecken
Arnium arizonense
Haare büschelig, braun, unseptiert
Sporen:50-57(60)x 25-26, 50 x26µ mit beidseitigen Anhängsel bis 60- 120µ x10µ lang,
hier mit Kresylblau
Eine Gans ist noch in Arbeit, da ist auch schon ein für mich neuer Ascobolus drauf
Grüße
Felli
