Hallo, ich habe diesen Risspilz hier in einem Eichen-Buchen Bestand gefunden.
Der Pilz hat folgende Merkmale:
Makroskopisch: Mit verdickter Stielbasis. Die dunkle Stelle in der Mitte des Hutes ist vielleicht ein gutes Merkmal.
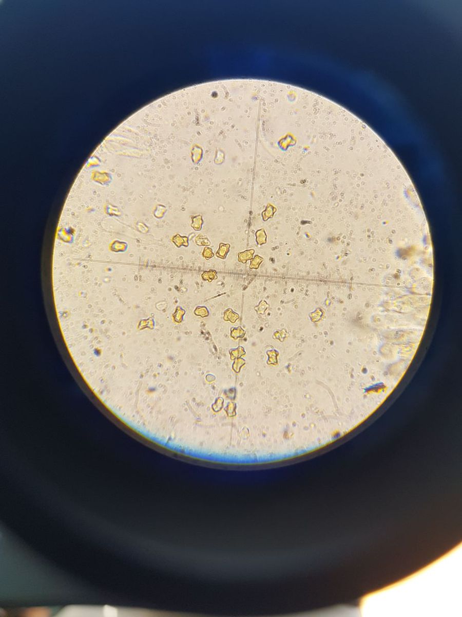
Sporen Av.: 7,82 x 5,38; 7-9 x 5-6,5
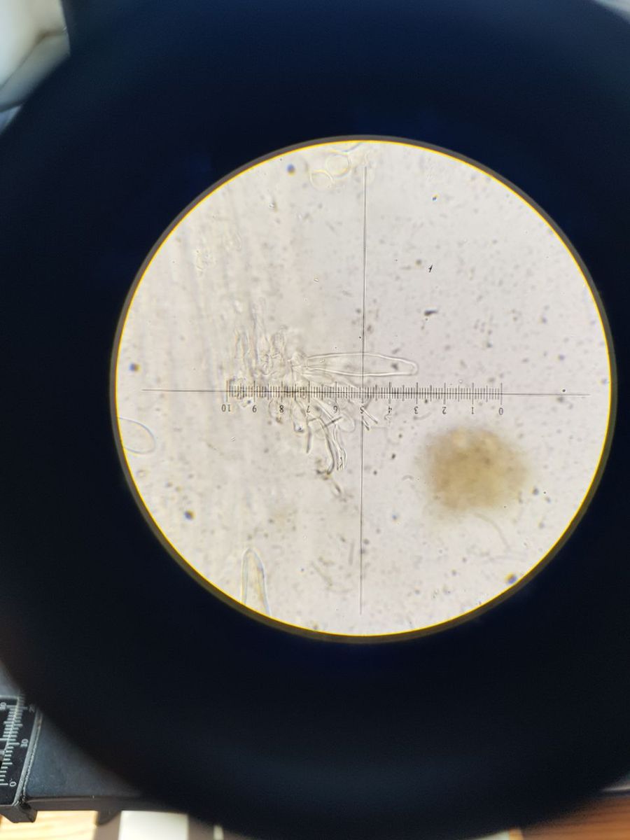
Cheilozystiden:
Pleurozystiden:
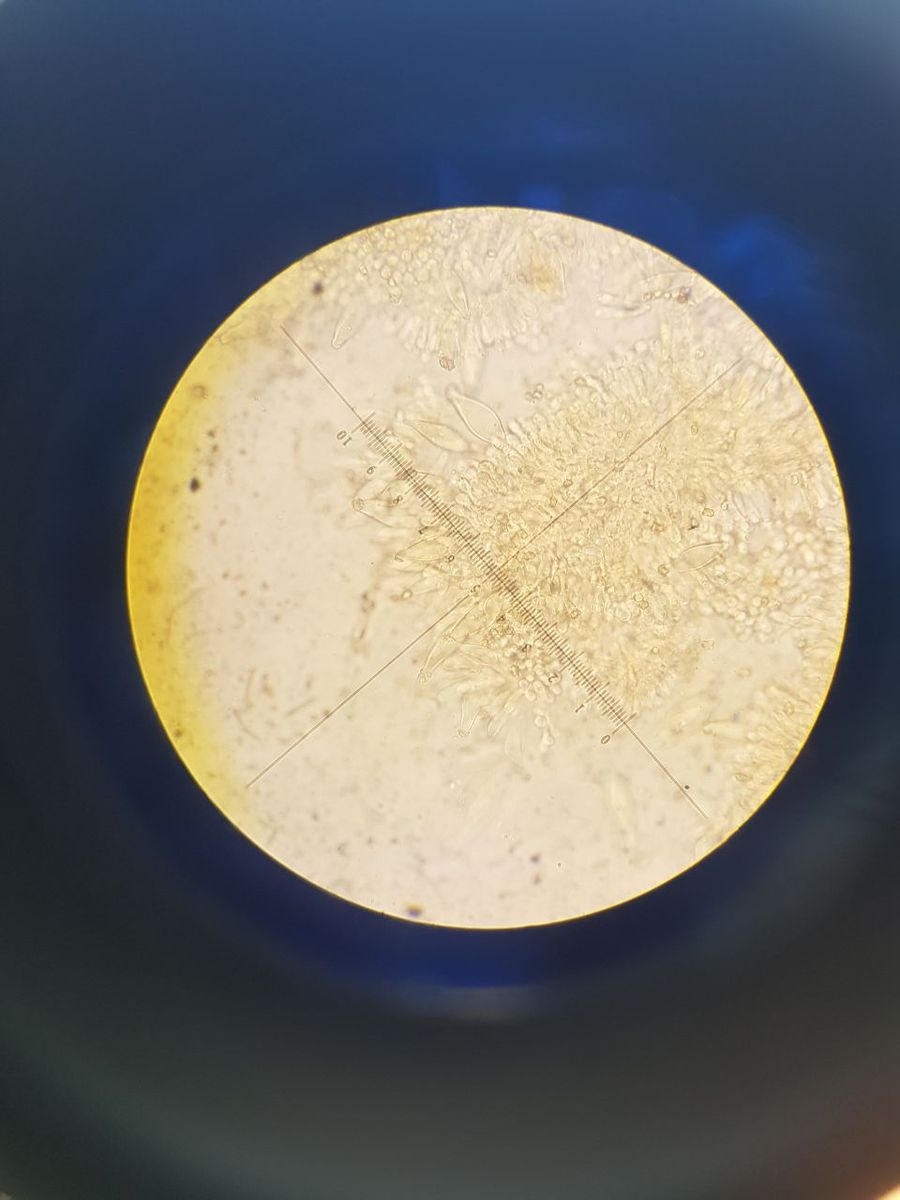
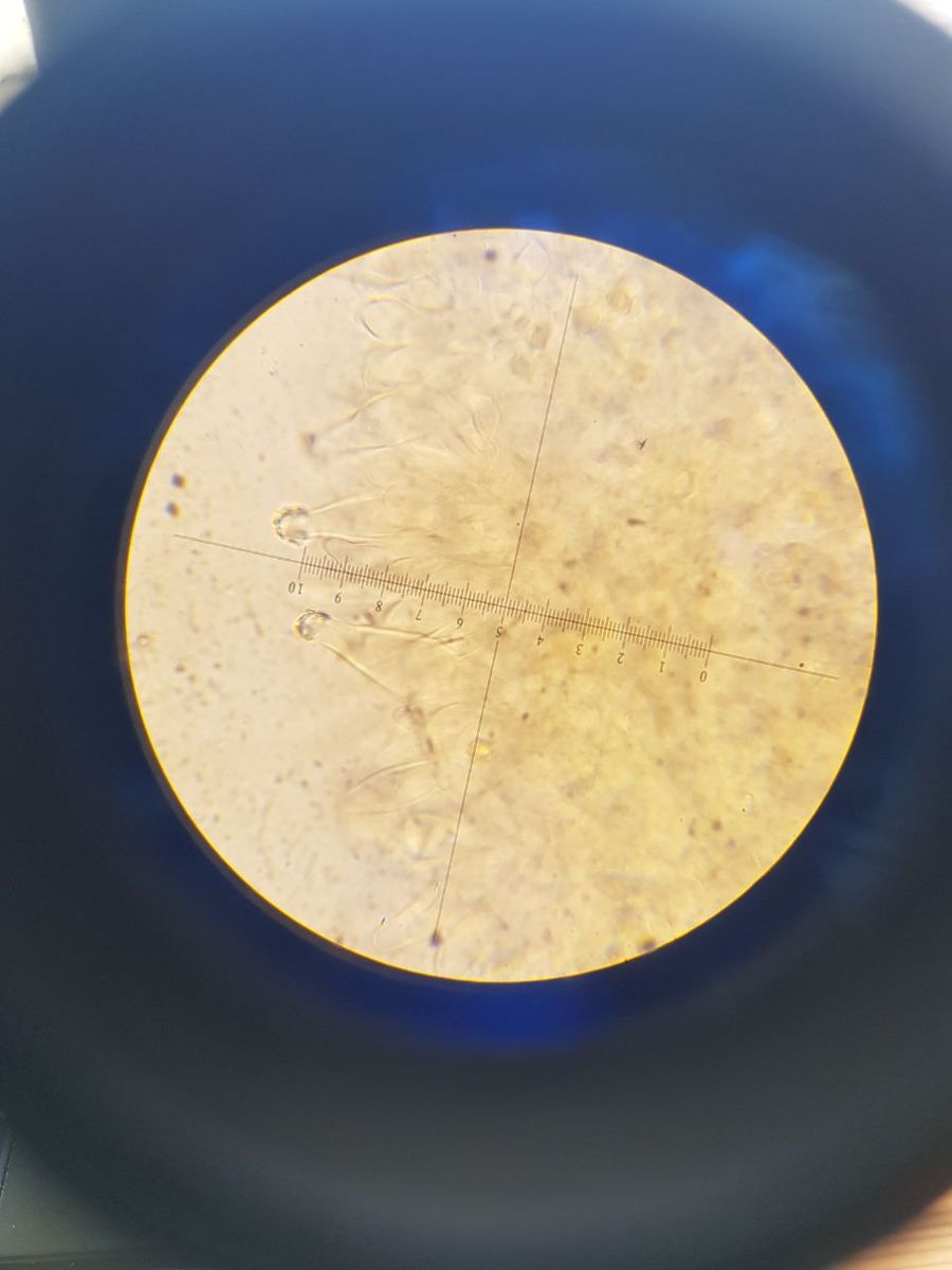
So und jetzt zu den Kaulozystiden, hier jetzt mal ein paar Fotos von einem dünnen mit der Pinzette abgezogenen Streifen. Ich sehe aber die Gefahr, dass da Hymenialzystiden drin sind oder auch Hyphenenden. Könnt ihr mir sagen ob das zumindest teilweise Kaulozystiden sind? Je nachdem was ihr sagt würde ich den Stiel dann mal genau von oben nach unten absuchen um zu schauen ob sie nur oben vorkommen.
Ich würde mich sehr über Tipps freuen, vielen Dank für eure Hilfe!
Liebe Grüße
