Hallo zusammen
Vergangenes Wochenende war ich mit unserem Verein im Elsass. Es war die weite Reise wert...
Bitte korrigiert mich wenn ich irgendwo falsch liege, viele von euch kennen diese Wälder und Pilzarten viel besser als ich.
Am ersten Tag gab es einen ausgedehnten Spaziergang durch einen Wald mit verschiedenen Bäumen. Buchen, Kastanien, Eichen, Hainbuchen, Fichten.
Ich habe viel Standard-Zeug mitgenommen was ich in "meinen" Wäldern hier nicht finde, damit langweile ich euch nicht.
Deshalb nur diese zwei:
1: Ein wunderschöner Schirmling
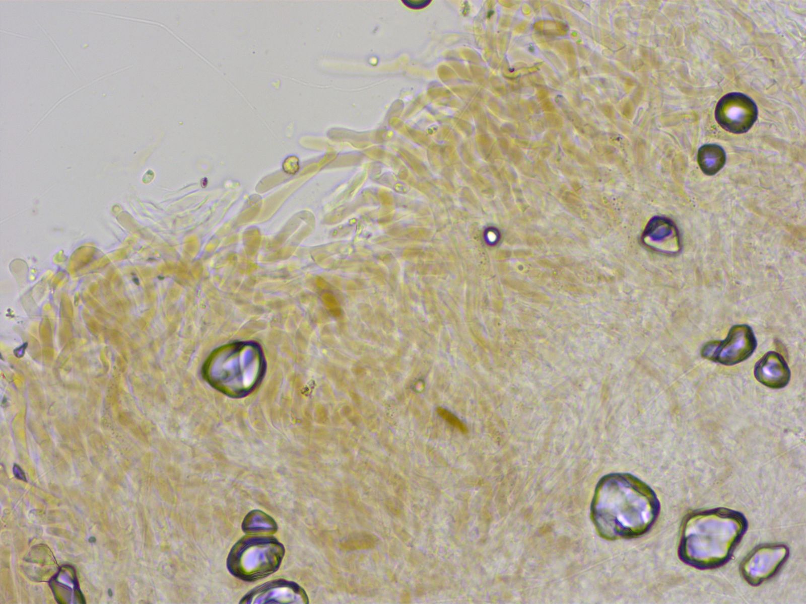
Lepiota ignivolvata
Sporen in Melzer...
Cheilozystiden keulig...
HDS aus sehr langen Elementen, dazwischen kürzere keulige.
2: Ein Langfüsser
Helvella macropus
Sporen in Wasser
Am zweiten Tag war es dann viel interessanter, wir waren auf einem ausgedehnten Trockenrasen.
3: Ein Traum?
Floccularia straminea
Was soll ich sagen... da stand ein riesiger Hexenring von denen, sicher über 50 Stück, alle waren schon reif und hatten gründlich abgesport.
Deshalb haben wir uns erlaubt, einige für ein hübsches Foto zusammenzustellen.
4: Ein merkwürdiger Helmling
Wir hatten alle keine Ahnung was das sein könnte und es gab die wildesten Theorien.
Einige Meter entfernt standen diese hier:
Mycena pseudopicta
Mikroskopisch stellte sich dann heraus, dass beide Kollektionen Mycena pseudopicta sind.
Sporen fast zylindrisch
Zystiden koralloid
5: Eine Infundibulicybe
Das war ein Massenpilz. Mit diesen rotbraunen Farben halte ich es für Infundibulicybe glareosa.
Sporen tropfenförmig
HDS deutlich inkrustiert pigmentiert.
6: Spodocybe die erste
Chinesische Mykologen haben die Gattung Spodocybe letztes Jahr von Clitocybe getrennt.
Das hier müsste wohl Spodocybe collina sein.
Die Sporen sind sehr klein, selten über 5 µm lang.
Die HDS ist braun pigmentiert, mit vielen halb aufgerichteten, keuligen Endzellen.
7: Spodocybe die zweite
Ich dachte erst das sind einfach kleinere Exemplare von der anderen Spodocybe.
Zum Glück habe ich sie mitgenommen, ich denke nämlich das ist die ähnliche Spodocybe herbarum.
Die Sporen sind viel schlanker, bis über 6.5µm lang, und mehr zylindrisch geformt.
Auch die HDS hat eine völlig andere Struktur.
8: Kein Trichterling
Viele dieser braunen Pilze sind seitlich gestielt, und die braunen Lamellen verraten ihn auch: Pleurotus nebrodensis.
Sporen in Wasser
HDS intrazellulär pigmentiert.
Danke fürs Mitlesen.
Lg, Raphael
