Hallo zusammen,
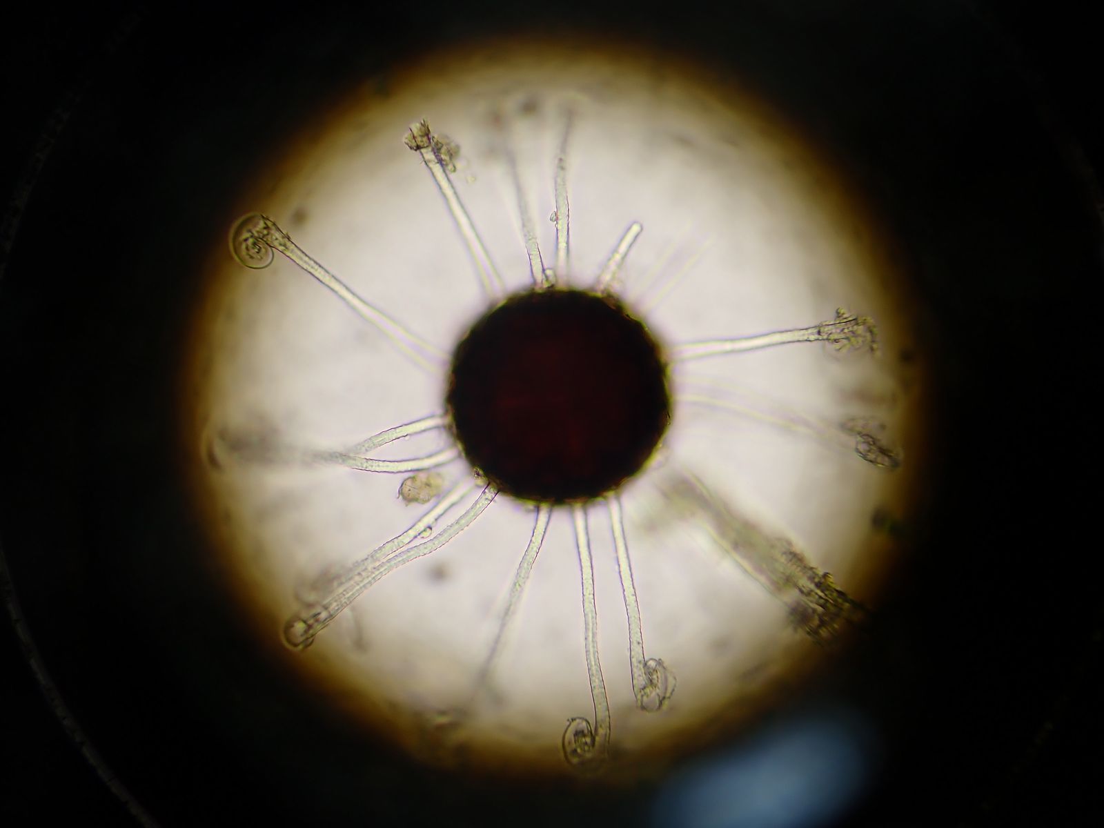
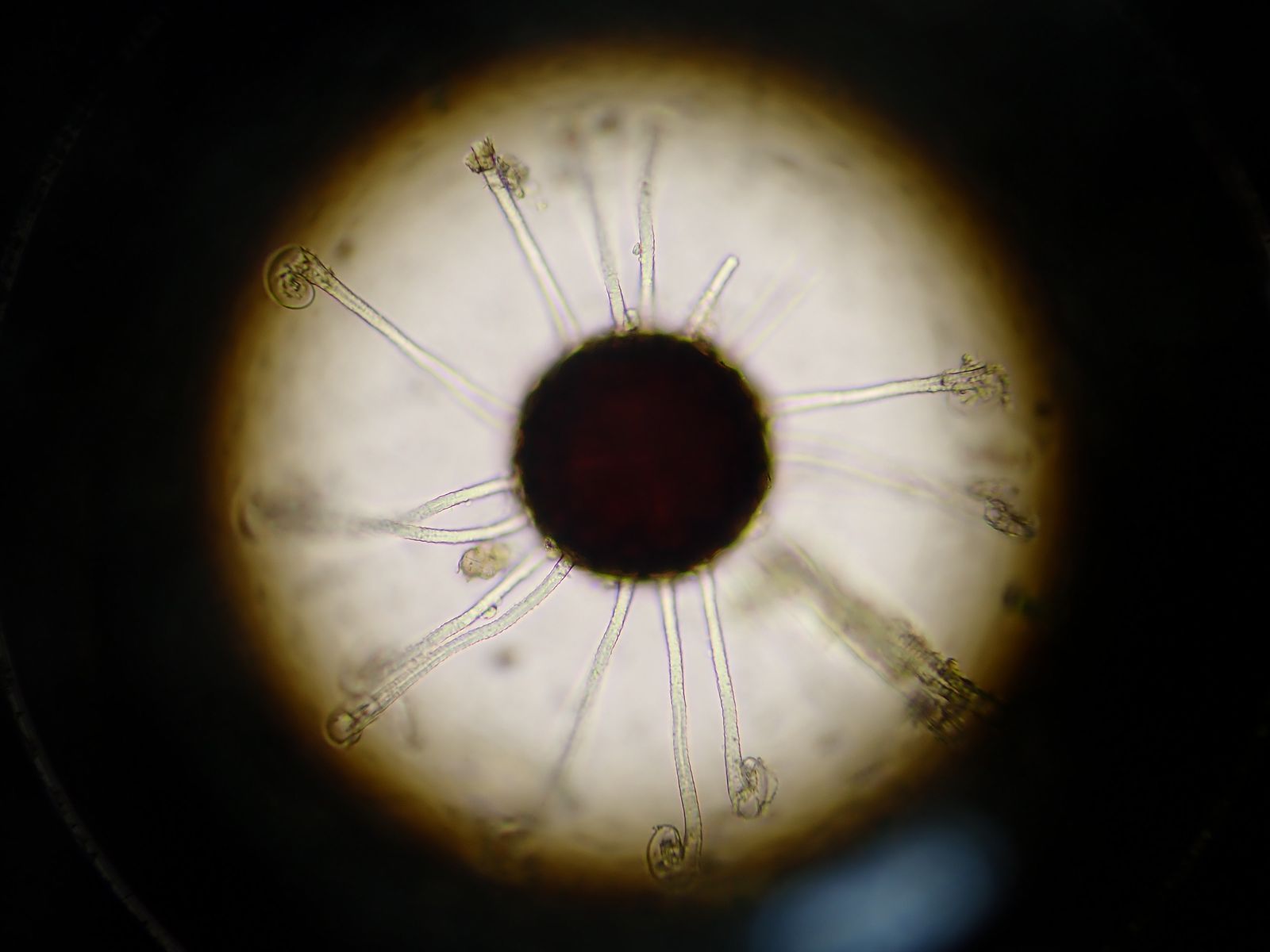
da noch immer keine Hutpilze im Revier wachsen, habe ich mehr aus Verzweiflung ein paar Phytos mitgenommen, darunter Mehltau auf der Blattoberseite von Ulmus minor.
Mit dem Schlüssel in Klenke/Scholler habe ich mich allerdings nicht so richtig entscheiden können zw. Erysiphe kenjiana (Anhängsel-Enden spiralig gewunden) und Erysiphe ulmi (Anhängsel nicht spiralig, zu den Enden hin leicht verdickt), weil die Anhängsel krückstockartig gebogen und nicht verdickt sind.
Schlussendlich fiel mir noch ein, bei Julia mal auf der Internetseite zu schauen. Die Entscheidung ging danach zu E. ulmi.
Ich würde mich freuen, wenn jemand dazu eine Meinung abgeben könnte.
Gruß Gunnar
