Servus zusamenn, letzten Mittwoch konnte ich einen unerwarteten Fund machen.
Unerwartet weil ich am Wuchsort an einer sonnenexponierten Schlehe (Prunus spinosa) in fast 2m Höhe eher keine Ascomyceten vermutet hätte (gut ok Encoelia macht das auch). Und unerwartet weil ich den Fund erstmal für eine Flechte gehalten hatte.
Die Schlehe stand in voller Blüte. An einem mit mintgrünen Flechten bewachsenen toten Ast entdeckte ich in luftiger Höhe kleine braune Apothecien. Die Größe ca 0,3-1,5mm durchaus mit Flechtenapothecien wie man sie zB von der Gelbflechte kennt vereinbar. Leider habe ich am Standort keine Fotos gemacht außer von den Blüten
.
Zu Hause habe ich dann den Wirth durchgeblättert, aber nichts passendes gefunden. Ein solch starker Kontrast zwischen Flechtenthallus und Fruchtkörper wäre schon auch besonders.
Erfreulicherweise sind die kleinen Knöpfchen in der feuchten Tupper in den letzten Tagen deutlich gewachsen und auch Neue aufgesprosst - nun sahen sie schon viel weniger nach Flechten aus.
...und jetzt war auch eindeutig zu erkennen dass es keine Flechte sein konnte, denn die Fruchtkörper brachen durch die Rinde hervor:
Die Farbe der Fruchtschicht variierte von wachsgelb über oliv zu kastanienbraun. Der Rand war deutlich kleeig und lange eingerollt. Ein Stiel war nicht erkennbar.
Nachdem sie schön fest auf der Unterlage saßen wagte ich mich nach Philipps Anleitung mal an einen Schnitt. Natürlich viel zu dick geworden, ich schiebs mal auf die fehlende Lupe, aber immerhin hab ich eine Scheibe hinbekommen und nicht nur einen Haufen ![]()
hier mal schepps (danke Peter, gefällt mir gut!)
Asci 8-Sporig, eher keine Haken, IKI rot
Paraphysen zylindrisch, bis leicht keulig, dünn, mit apikalem gelblichen Pigment
Subhymenium körnig, hyalin, teils mit Kristallen
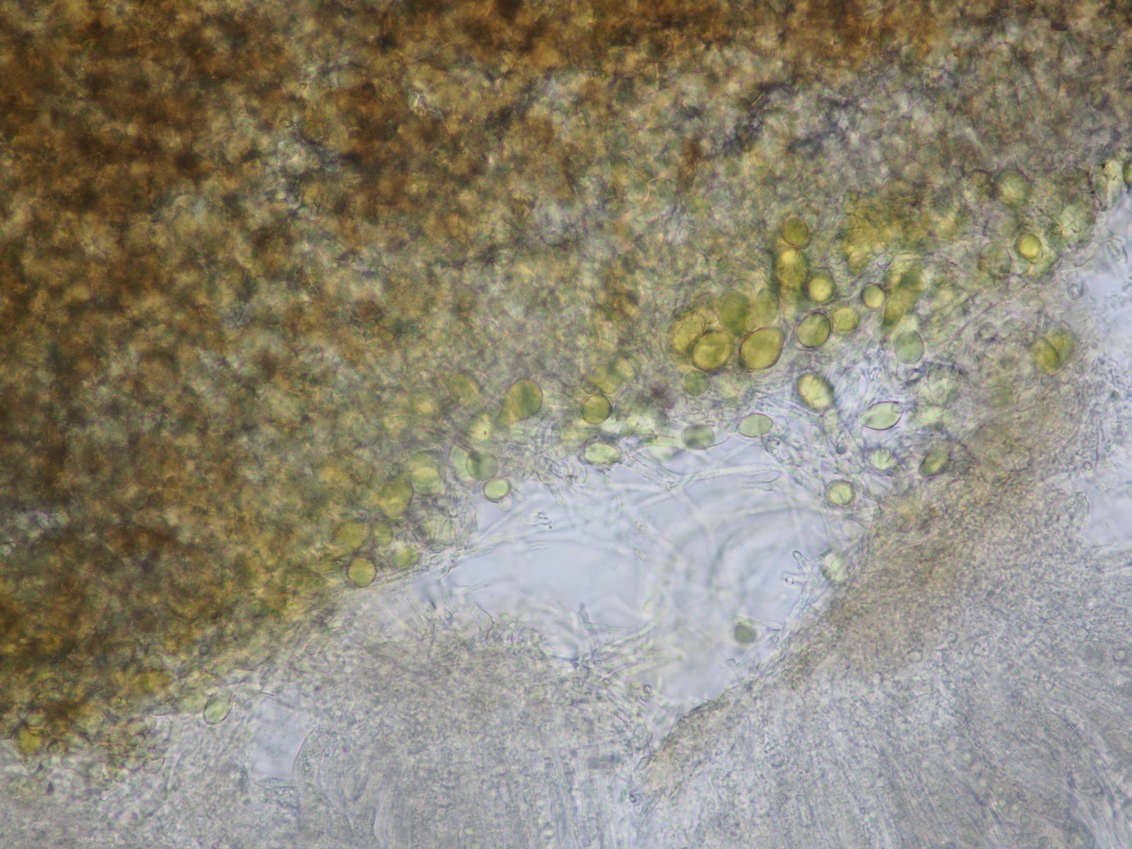
Excipulum/Hülle grobkörnig, bräunlich
auffällige größere braune blasige Zellen- evtl die nachfolgenden nur gealtert
darunter findet sich eine Schicht mit zitronenförmigen Zellen mit ebenso gelbem Inhalt (große Öltropfen?) , evtl die Vorgänger der obigen.
Sporen ovoid mit zwei großen Öltropfen und vielen kleinen
(11.8) 12.9 - 14.3 (14.4) × (7.4) 7.6 - 8.9 (9.4) µm
Q = (1.5) 1.54 - 1.7 (1.8) ; N = 21
in Lugol
ein vermutetes Ornament konnte ich in bwb nicht bestätigen, dort erschienen sie eher glatt (was nichts heißen muss, evtl teste ich das nochmal)
Ich lerne: Schlehen bringen uns nicht nur einen leckeren Schnaps sondern können auch ein paar hübsche Schwammerl beherbergen.
Schönes Wochenende,
Ingo
