Hallo zusammen,
am letzten Samstag war ich noch mal in Duisburg-Großenbaum unterwegs und habe mir die Schonungen mit Pinus strobus genauer angeschaut.
1. Lachnellula resinaria
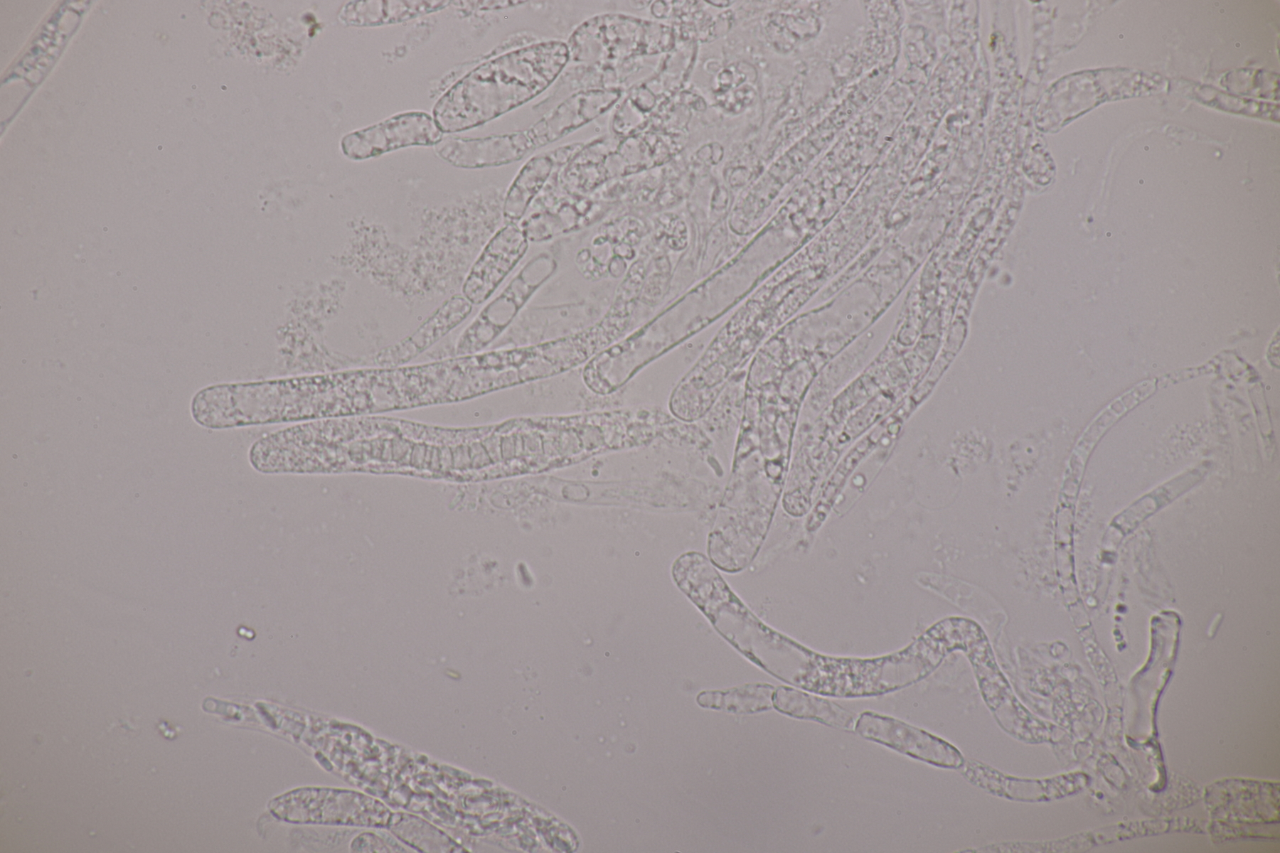
2. An Pinus sylvestris. Sporen messen 6.0-7.2 x 1.4-1.9, Q=3.5-4.9, bzw. 6.8+-0.3 µm x 1.7+-0.2 µm, Q=4.1+-0.4. Die Konsistenz des Fruchtkörpers ist wachsartig weiß. Zystiden sind keine vorhanden, Basidien sind viersporig. Bei der Beurteilung, ob Schnallen vorhanden sind, tue ich mich schwer, meine aber, daß doch welche vorhanden sind. Könnte das Phlebia subcretacea sein?
3. Tremella encephala
5. Phaeotremella foliacea s. str.
6. Alnecium auctum
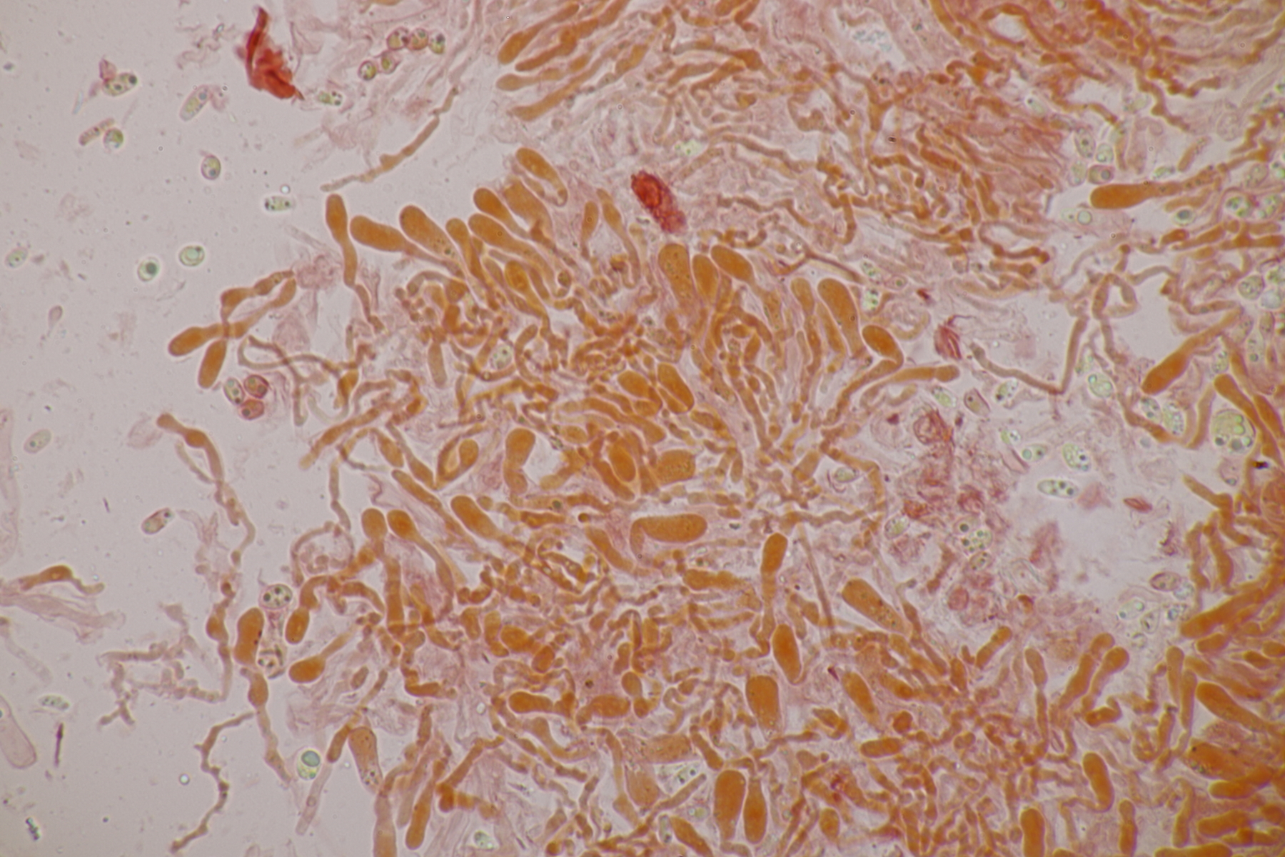
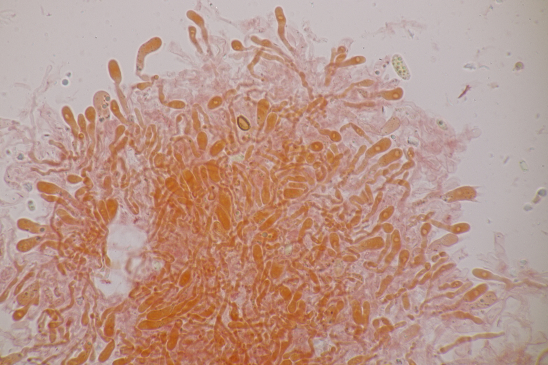
7. Thyronectria strobi ex Pinus strobus
8. Ebenfalls an Pinus strobus. Da hatte ich im Feld auf schöne Pyrenomyceten gehofft und am Ende waren die Kügelchen nur mit Konidien gefüllt ![]()
9. Wird bei Facebook noch diskutiert, Tympanis und Claussenomyces stehen im Gespräch. Ich bemühe mich auch noch um Fotos der noch nicht zerfallenen Sporen.
10. Xanthoriicola physicae
Björn
