Ganz kleine Pilzchen - (Acanthonitschkea tristis ???) - nein: Dinemasporium decipiens

Es gibt 10 Antworten in diesem Thema, welches 4.105 mal aufgerufen wurde. Der letzte Beitrag () ist von romana.

  • Hallo,

    gestern hab ich im Wiener Prater auf einem liegenden Ahornstamm ganz kleine schwarze Punkte gefunden, die ich auch mitgenommen habe, weil ich vermutete, dass sie Haare haben. Der Durchmesser war ungefähr 0,5 mm.

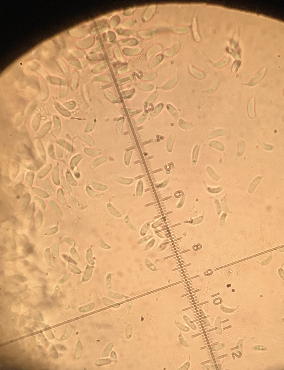
    In der Stereolupe hab ich dann tatsächlich Haare gefunden. Ich hab dann einfach einen Fruchtkörper genommen und ihn gequetscht. Das war gar nicht so einfach, weil er erstaunlich hart war. War wohl nicht die richtige Präpariermethode… Ich konnte keine Schläuche finden, dafür aber Unmengen von allantoiden Sporen, die ungefähr 6,5-7 x 2,5-3 messen.
    christian_ap hat dann in Fungi of Temperate Europe geblättert und hat ähnliche Pilze gefunden, die Acanthonitschkea tristis heißen. Könnten meine schwarzen Punkte auch auf diesen Namen hören?

    Nachdem mir dazu die Literatur völlig fehlt, hoffe ich, dass es hier einen Spezialisten gibt, der mir bei der Bestimmung helfen kann.

    LG

    romana


















    103-15 APR2017+17(3.Platz)+2(Wette)=107-1(OBR)-15 APR2018=91+13(3.Platz)+8(Wetten)=112-2+7(Wette)=117-15 APR2019=102+8(8.Platz)=110-15 APR2020=95+12(3.Platz)+27(Wetten)=134-15 APR2021=119+10(4.Platz)+12(Wetten)=141-15+16 APR2022=142-15(APR2023)=127+18=145-15(APR24)=130

  • romana

    Hat den Titel des Themas von „Ganz kleine Pilzchen - Acanthonitschkea tristes???“ zu „Ganz kleine Pilzchen - Acanthonitschkea tristis ???“ geändert.
  • Servus Romana


    Ich konnte keine Schläuche finden, dafür aber Unmengen von allantoiden Sporen, die ungefähr 6,5-7 x 2,5-3 messen.

    Acanthonitschkea tristis ist ein Schlauchpilz!


    Dein Findling ist vermutlich eine Konidienform eines Schlauchpilzes.

    Nur von Welchem==zucken

    Wenn man die Sporen genau anschaut erkennt man an einer Seite eine haarartige Verlängerung/ Anhängsel. Möglicher Weise hilft das bei einer Bestimmung.


    Solche stachligen Gesellen findet man häufig auf feuchtliegendem Holz oder Pflanzenresten. Oft ist eine Bestimmung möglich, oft aber auch nicht.

    Ich schau mal ob ich was finde das passen könnte.


    Grüße

    Felli

  • Hallo Felli,

    danke für deine Rückmeldung! Das ist ja eben, was mich irritiert hat - keine Schläuche, aber Unmengen von Sporen. Ich dachte, vielleicht hab ich einfach zu brutal gepresst oder so.

    Bildet der Pilz seine Konidien massenweise im Inneren aus?
    Ja, das Anhängsel ist mir auch aufgefallen, war bei jeder Spore zu finden.

    Es gab auch noch andere schwarze Becherchen auf diesem Stamm, die größer waren, aber leider unreif sind.

    Interessant jedenfalls!

    LG

    romana

    103-15 APR2017+17(3.Platz)+2(Wette)=107-1(OBR)-15 APR2018=91+13(3.Platz)+8(Wetten)=112-2+7(Wette)=117-15 APR2019=102+8(8.Platz)=110-15 APR2020=95+12(3.Platz)+27(Wetten)=134-15 APR2021=119+10(4.Platz)+12(Wetten)=141-15+16 APR2022=142-15(APR2023)=127+18=145-15(APR24)=130

  • Hallo Felli,

    ich hab mit den Angaben auf dieser Seite (PDF) Dinemasporium (coelomycetes) verglichen und hab den Eindruck, dass Dinemasporium decipiens besser passen könnte, aufgrund der Sporengröße und der Haarlänge. Was meinst du? Was spricht für dich eher für D. strigosum?
    Jedenfalls viele viele Danke für deine Hilfe! Da wär ich nichtmal in die Nähe gekommen. Sehr interessant jedenfalls, bin froh, den mitgenommen zu haben!

    LG

    romana

    103-15 APR2017+17(3.Platz)+2(Wette)=107-1(OBR)-15 APR2018=91+13(3.Platz)+8(Wetten)=112-2+7(Wette)=117-15 APR2019=102+8(8.Platz)=110-15 APR2020=95+12(3.Platz)+27(Wetten)=134-15 APR2021=119+10(4.Platz)+12(Wetten)=141-15+16 APR2022=142-15(APR2023)=127+18=145-15(APR24)=130

  • Servus,

    ich kann an den Konidiensporen nur eine Setula erkennen,

    Ja, das Anhängsel ist mir auch aufgefallen, war bei jeder Spore zu finden.

    deshalb bin ich auf D. strigosum gekommen.


    Die Sporengröße ( wenn richtig gemessen) passt auf jeden Fall besser zu

    P. decipiens - da hast du recht.


    Grüße

    Felli

  • Hallo Felli,

    soweit ich mich erinnern kann war da generell nur eine Setula (schönes Wort!) zu sehen, die nicht allzu lang war. Aber ich hab nicht viel gemessen, das hole ich morgen nach. Ist die Anwesenheit von einer oder zwei das relevante Merkmal?
    LG

    romana

    103-15 APR2017+17(3.Platz)+2(Wette)=107-1(OBR)-15 APR2018=91+13(3.Platz)+8(Wetten)=112-2+7(Wette)=117-15 APR2019=102+8(8.Platz)=110-15 APR2020=95+12(3.Platz)+27(Wetten)=134-15 APR2021=119+10(4.Platz)+12(Wetten)=141-15+16 APR2022=142-15(APR2023)=127+18=145-15(APR24)=130

  • Hallo Felli,

    ich hab heut nochmals mikroskopiert und folgende Sporenmaße ermittelt: 6-8 x 2-2,5, mehrheitlich sind die Sporen zwischen 6 um 7 lang. Die Setula ist meist 2 lang, manche auch 1,5 oder drei. Sie ist doch meist an beiden Enden der Sporen zu finden, aber das ist nicht einfach zu fotografieren.

    Ich denke, mein Fund sollte also D. decipiens sein, oder?

    Danke nochmals, ich freu mich sehr, für diesen Pilz einen Namen zu haben! Sehr spannender Pilz!

    LG

    romana




    103-15 APR2017+17(3.Platz)+2(Wette)=107-1(OBR)-15 APR2018=91+13(3.Platz)+8(Wetten)=112-2+7(Wette)=117-15 APR2019=102+8(8.Platz)=110-15 APR2020=95+12(3.Platz)+27(Wetten)=134-15 APR2021=119+10(4.Platz)+12(Wetten)=141-15+16 APR2022=142-15(APR2023)=127+18=145-15(APR24)=130

  • Servus Romana,

    Man sollte so spät einfach konzentrierter lesen, im Schlüssel steht ja auch dass

    D. strigosum 2 Anhängsel hat, war mein Fehler:haue:hatte ich in meinem jugendlichen Leichtsinn glatt überlesen/ bzw. den Satz nicht zu Ende gelesen.


    Die 2 Anhängsel sieht man aber jetzt schon deutlich:thumbup:

    und deine Bestimmung D. decipiens sollte somit passen.


    Ist die Anwesenheit von einer oder zwei das relevante Merkmal?


    Ich denke, das hier wird dir eine Antwort zu deiner Frage geben.

    (PDF) How important are conidial appendages? Persoonia


    Und hier nochmals ein Sporenbilder Vergleich

    Fotos von Gattung Dinemasporium · iNaturalist United Kingdom


    Grüße

    Felli

  • Hallo Felli,

    vielen Dank für die Links! Hab sie mit Interesse durchgelesen bzw. angesehen. Ich denke, ich gehe nochmals zum Fundort, denn ich möchte gerne die 'geöffneten' Fruchtkörper sehen. Ich hoffe, wenn ich die befeuchte, gehen sie auf.

    Ich dachte übrigens auch, das D. strigosum nur eine Setula hat. Da haben wir wohl beide ungenau gelesen.

    Sollte ich es schaffen, die 'geöffneten' Fruchtkörper abzulichten, dann werde ich die Fotos hier einstellen.

    LG

    romana

    103-15 APR2017+17(3.Platz)+2(Wette)=107-1(OBR)-15 APR2018=91+13(3.Platz)+8(Wetten)=112-2+7(Wette)=117-15 APR2019=102+8(8.Platz)=110-15 APR2020=95+12(3.Platz)+27(Wetten)=134-15 APR2021=119+10(4.Platz)+12(Wetten)=141-15+16 APR2022=142-15(APR2023)=127+18=145-15(APR24)=130

  • romana

    Hat den Titel des Themas von „Ganz kleine Pilzchen - Acanthonitschkea tristis ???“ zu „Ganz kleine Pilzchen - (Acanthonitschkea tristis ???) - nein: Dinemasporium decipiens“ geändert.