Hallo,
gestern hab ich im Wiener Prater auf einem liegenden Ahornstamm ganz kleine schwarze Punkte gefunden, die ich auch mitgenommen habe, weil ich vermutete, dass sie Haare haben. Der Durchmesser war ungefähr 0,5 mm.
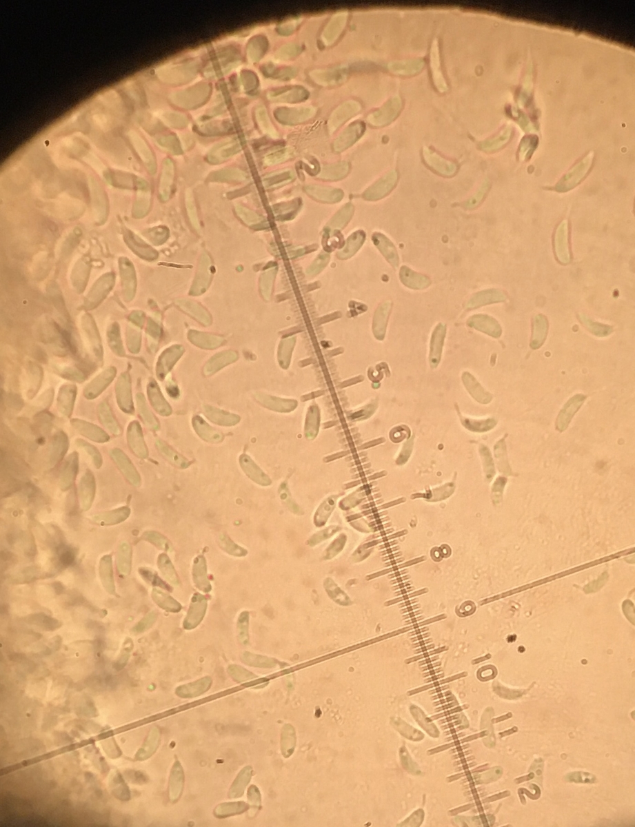
In der Stereolupe hab ich dann tatsächlich Haare gefunden. Ich hab dann einfach einen Fruchtkörper genommen und ihn gequetscht. Das war gar nicht so einfach, weil er erstaunlich hart war. War wohl nicht die richtige Präpariermethode… Ich konnte keine Schläuche finden, dafür aber Unmengen von allantoiden Sporen, die ungefähr 6,5-7 x 2,5-3 messen.
christian_ap hat dann in Fungi of Temperate Europe geblättert und hat ähnliche Pilze gefunden, die Acanthonitschkea tristis heißen. Könnten meine schwarzen Punkte auch auf diesen Namen hören?
Nachdem mir dazu die Literatur völlig fehlt, hoffe ich, dass es hier einen Spezialisten gibt, der mir bei der Bestimmung helfen kann.
LG
romana

