Hallo zusammen,
auf der Rückseite eines Buchen-Rindenstückes, das sich bereits am Ast abgelöst hatte, (siehe Unbekannte Anamorphe) befindet sich unterhalb eines Pyrenomyceten (eventuell Biscogniauxia nummularia) sehr kleine, helle, weißliche Gallertpilze:
Bild 1 Pilz unter Stereolupe
Der Pilz zeigt folgende mikroskopische Eigenschaften:
- Schnallen (Bild 2+3)
- 4-sporige Basidien (Bild 5,6,8,9)
- Basidien langsseptiert (Bild 5-9)
- Sterigmen teilweise sehr lang (55 µm gemessen)
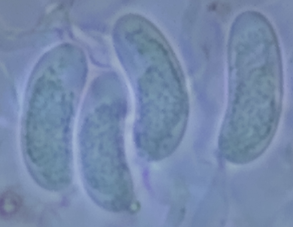
- Sporen bohnenförmig, typisch etwa 3,5 µm breit, 10 µm lang (Bild 4)
- Basidien auf Basiszelle/Stiel (?) aufsitzend (Bild 6,7,9)
Aufgrund der aufgezählten Eigenschaften komme ich zum Ergebnis Tremella globispora, dem Buckeligen Zitterling.
Alleine die Sporen kommen mir hierfür ein wenig klein vor.
Käme neben T.globispora eventuell ein anderer, besser passender Pilz in Betracht?
LG, Martin
Bilder:
Bild 2
Bild 3
Bild 4 1000x in Öl, Teilstrich 1µm: Basidio-Spore in Wasser
Bild 5 Basidie langsseptiert mit 4 Sporen
Bild 6 längsseptierte Basidie in Kongorot
Bild 7
Bild 8 Basidie in Lugol mit 4 unreifen Sporen
Bild 9 Basidie mit langen Sterigmen in Lugol
