Hallo zusammen,
letzten Samstag war ich eine Runde in Haltern-Holtwick unterwegs. Es hatte zwar die Nacht über Bodenfrost gegeben, aber Kleinkram findet man ja immer. Und so ging es dann eben bei Temperaturen um die null Grad und grauen Himmel in den Wald. Da es aber absolut windstill war, kam es einem gar nicht so kalt vor. Und wenn man dann erstmal die ersten Pilze in der Hand hat, wird einem eh warm ums Herz:
1. Lophodermium juniperinum ex Juniperus communis
2. Cyclaneusma minus ex Pinus sylvestris
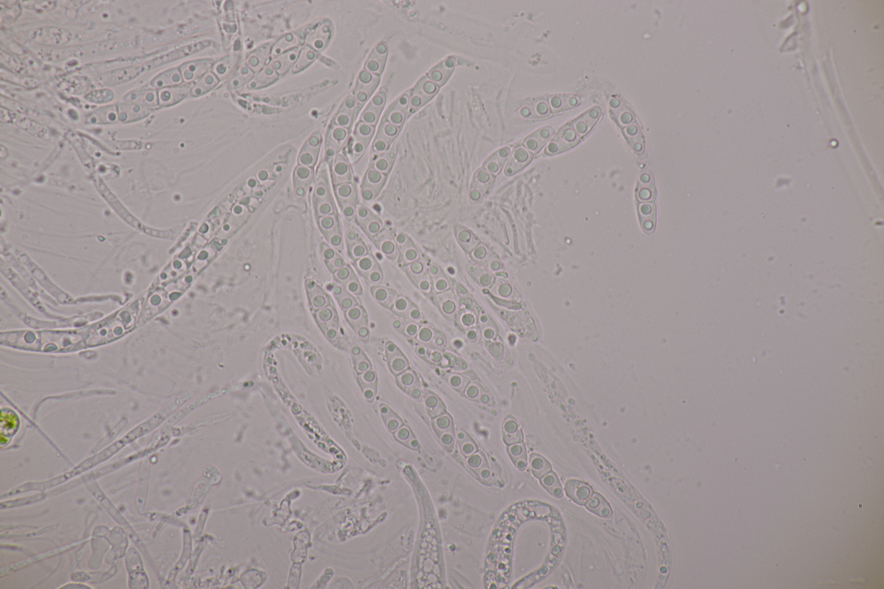
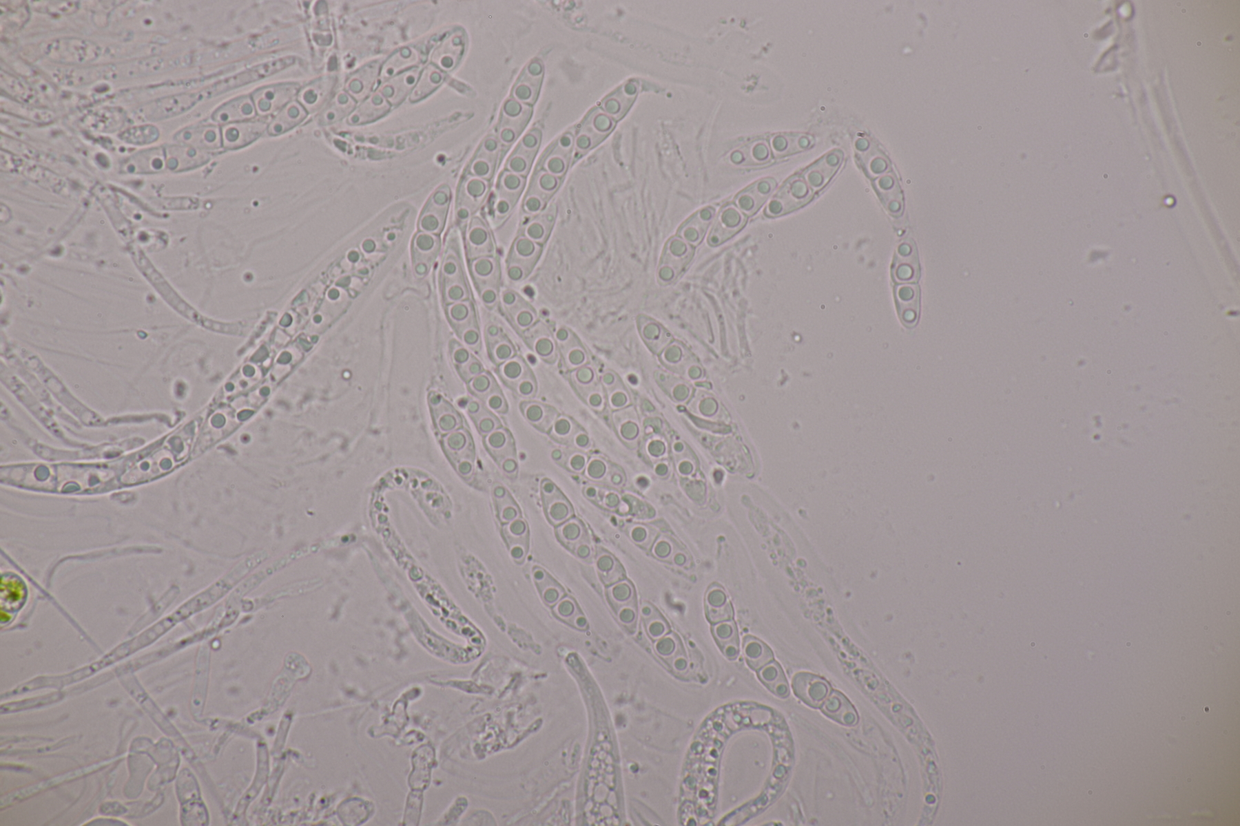
3. Dendrostoma leiphaemia mit Sporen von 17-20.5 x 5-5.5 µm und kongophilem Apikalapparat an Eiche.
4. Lophodermium pinastri an Pinus sylvestris. Auch wenn die Lippen nicht rotbraun sind, lassen die Sporenlängen von ~100 µm und die Demarkationslinien hier nichts anderes zu.
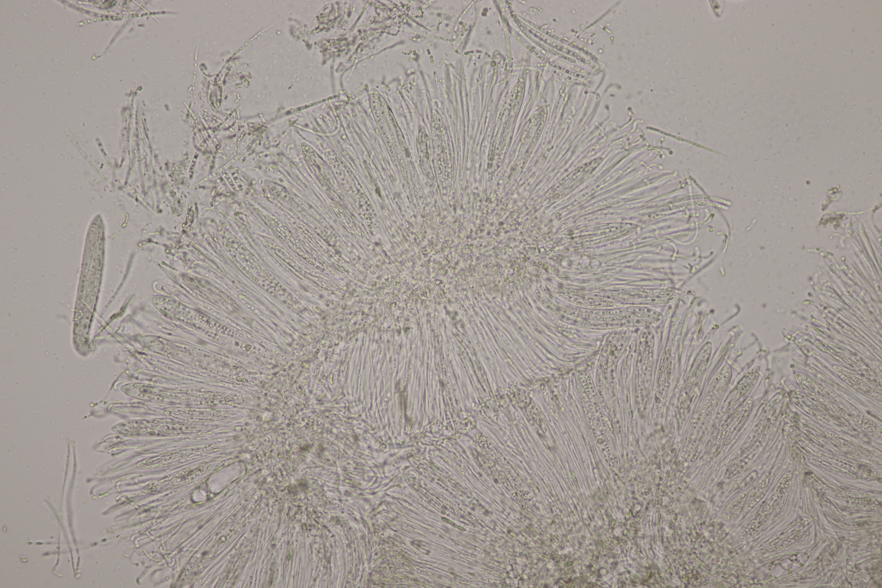
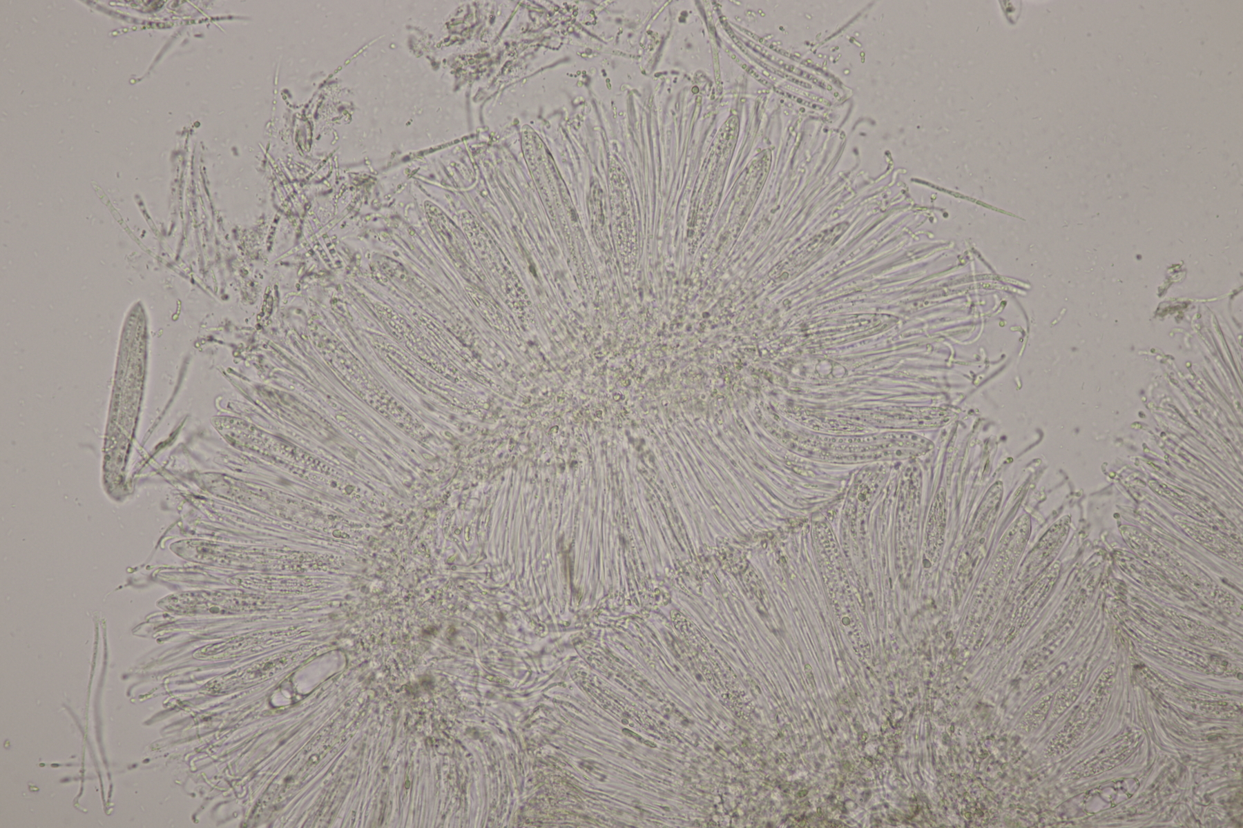
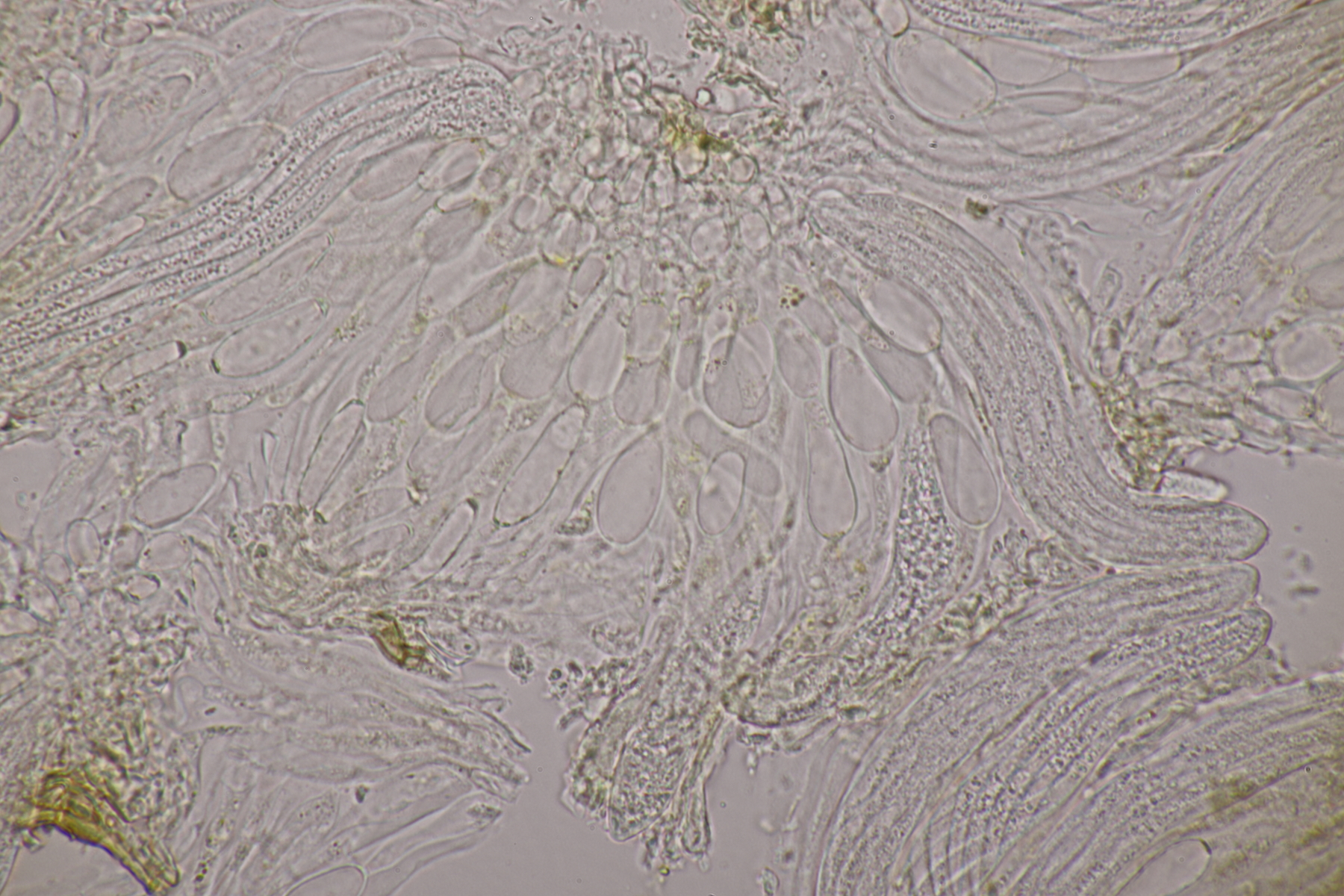
5. Lophiostoma fuckelii an Rubus fruticosus agg. Sporen 16.5-20 µm x 5-5.5 µm
6. An der Dendrostoma gab es mit Tremella globispora auch einen Parasiten
7. Mycena pseudocorticola
8. Quaternaria quaternata an Fagus sylvatica
Björn
