Hallo,
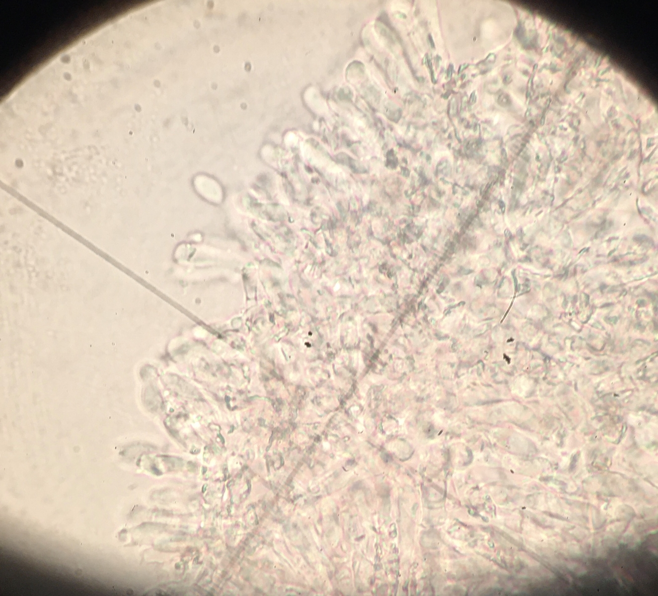
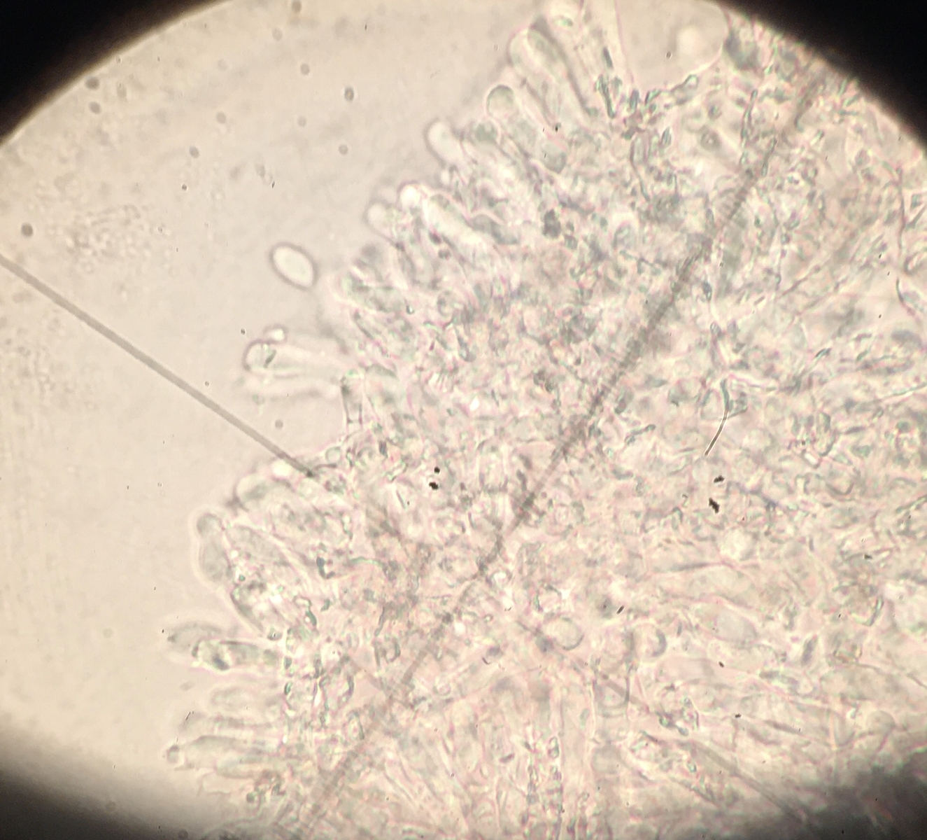
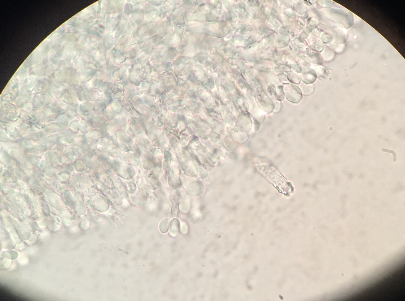
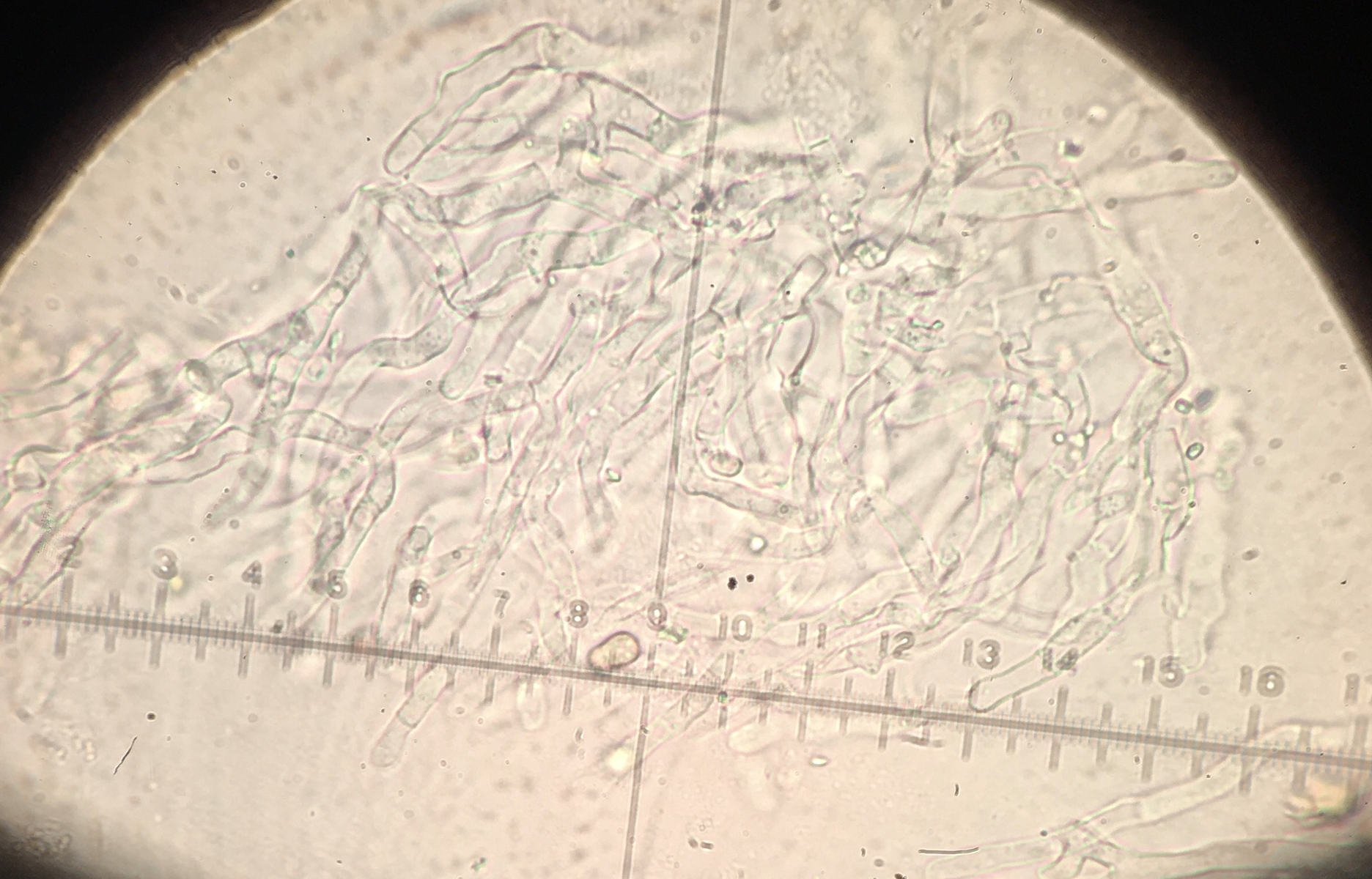
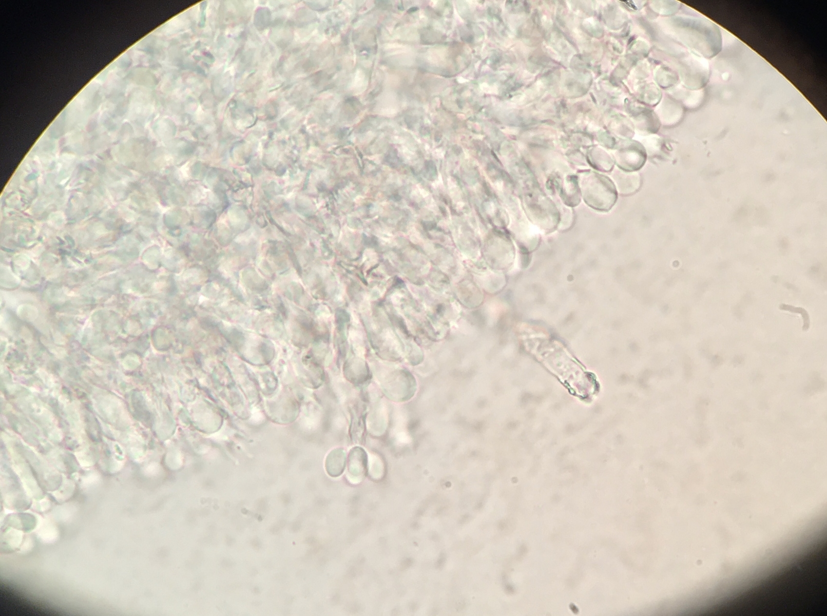
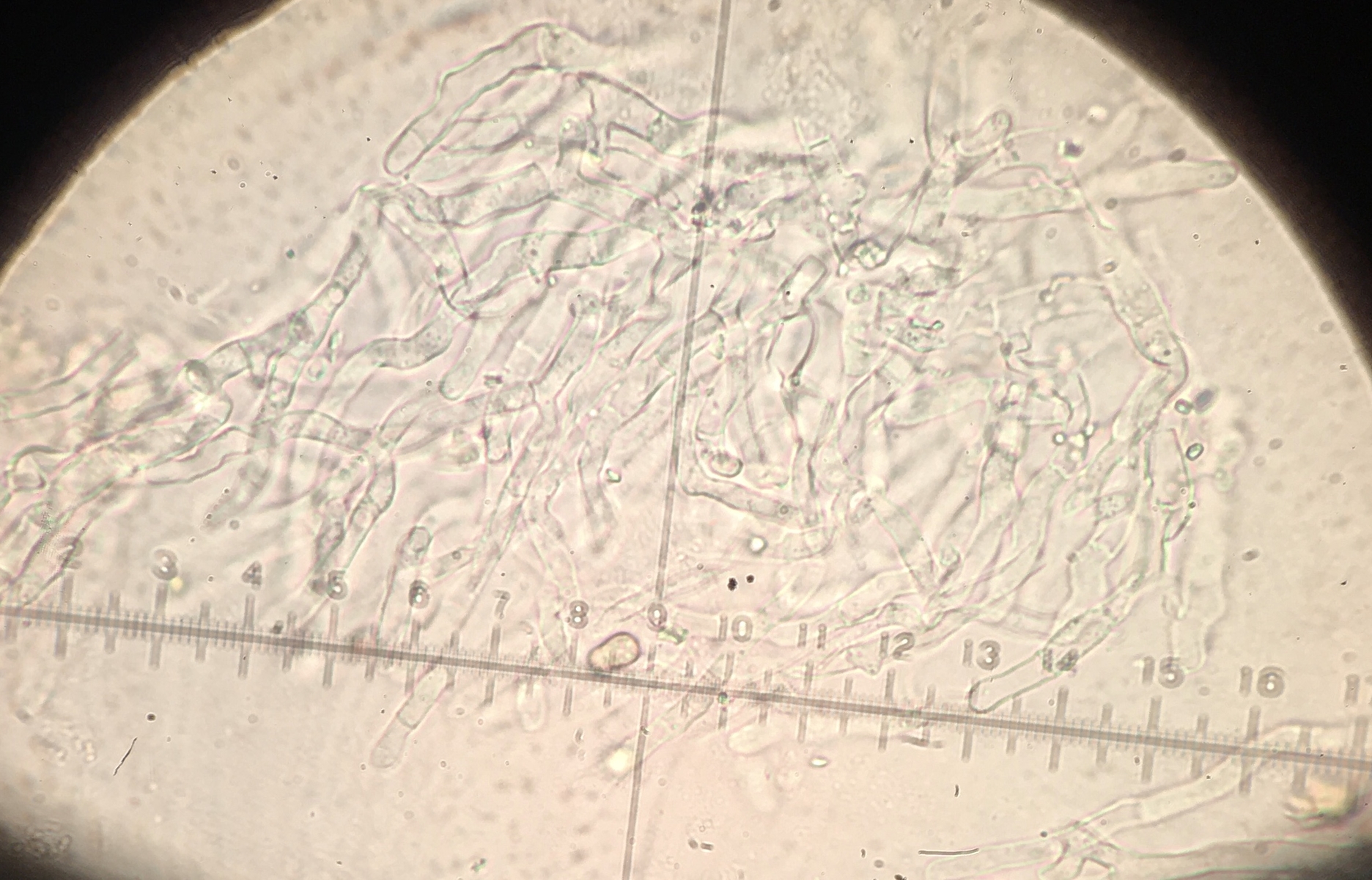
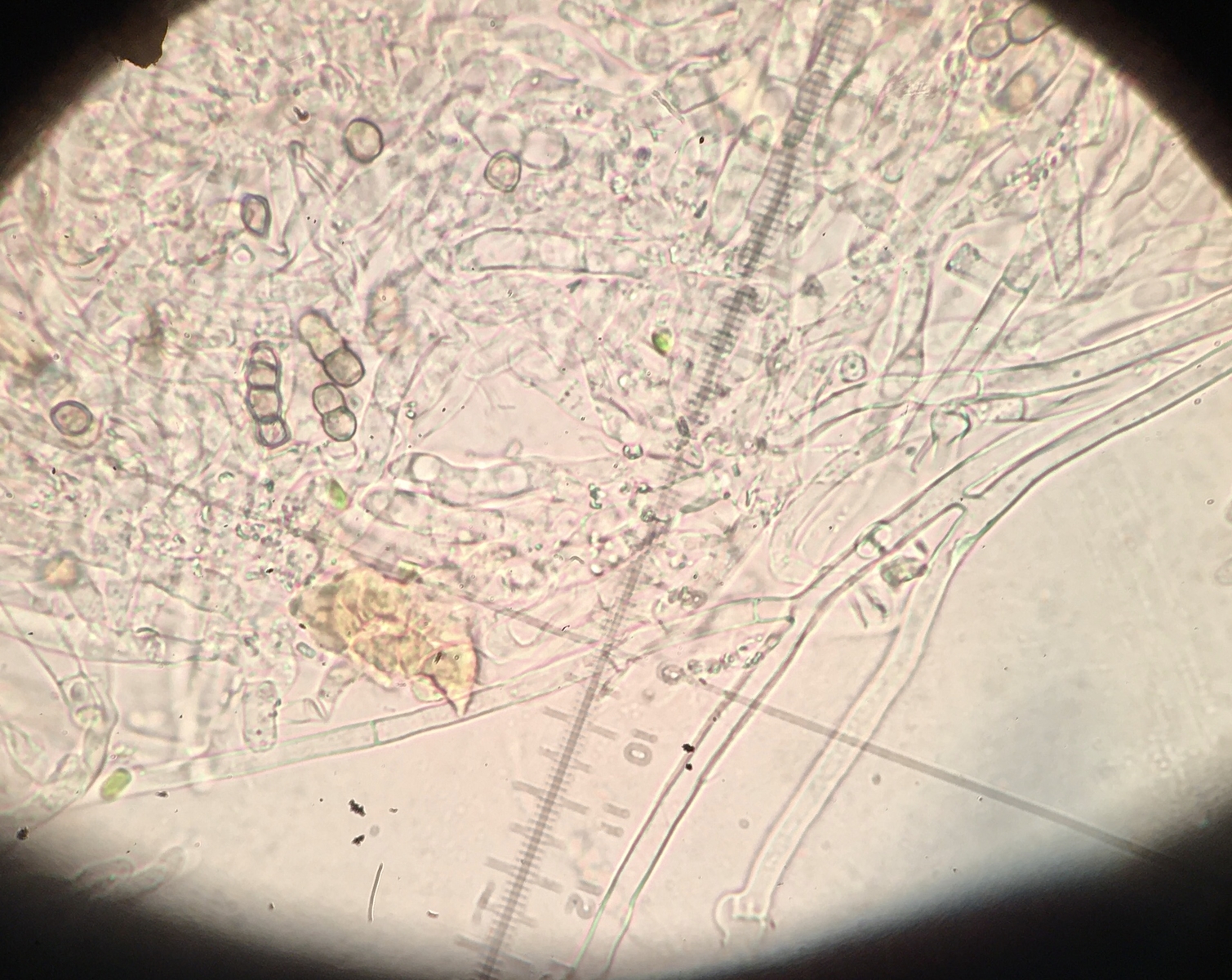
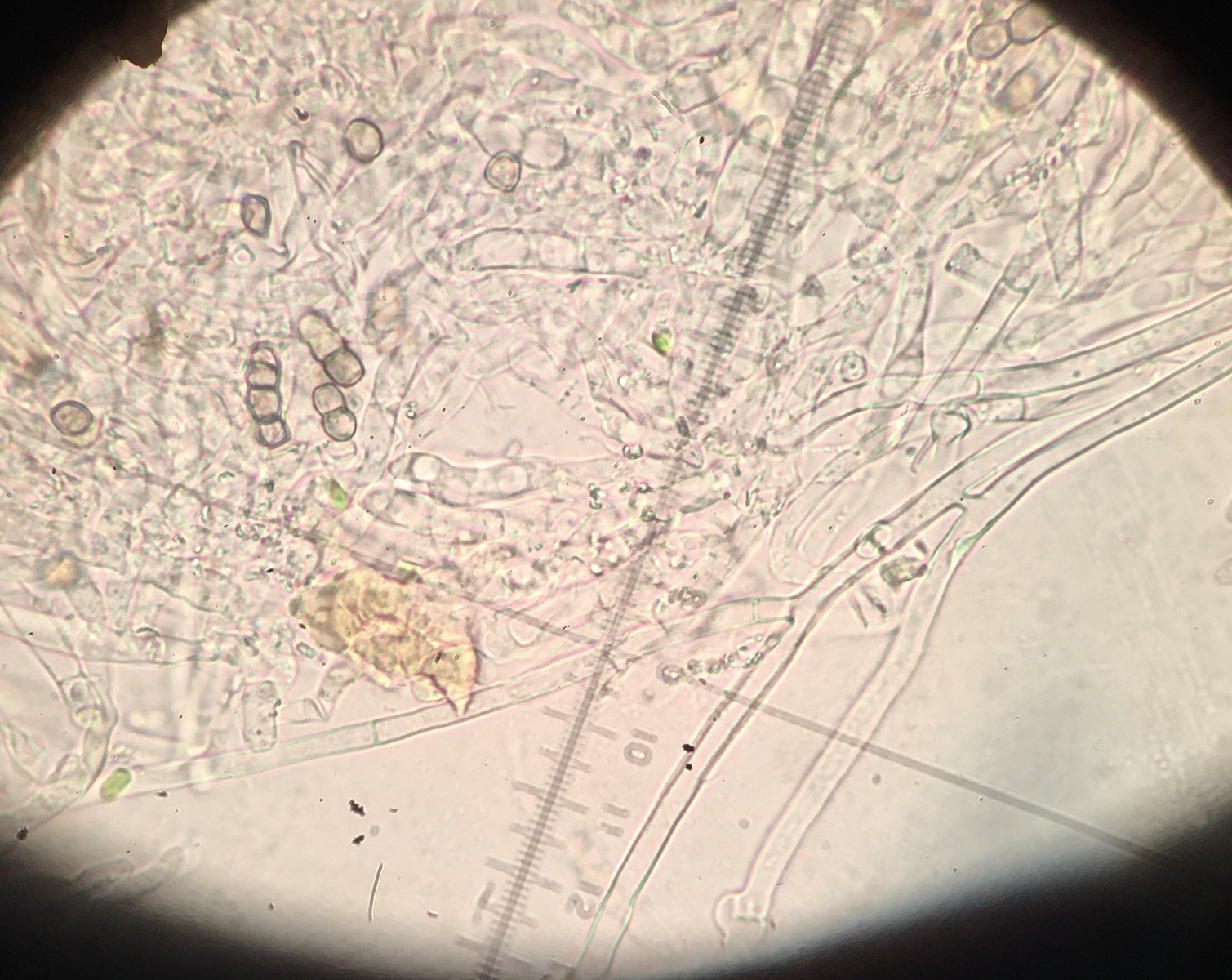
heute hab ich im Wiener Prater an Esche einen Rindenpilz gefunden, der ein hübsches meruloides Hymenium hat. Er ist weiß mit stellenweise ganz leicht ockerlichem Farbton.
Die Sporen messen 4 - 5 x 3-3,8.
Er ist relativ dünn und lässt sich vom Substrat abziehen.
Ich freu mich sehr über Bestimmungshilfe!
LG
romana
