Hallo zusammen,
ich habe auf einer Exkursion des APRs und des Bochumer Botanischen Vereins am 17.10.21 auf einem Friedhof einen Scheibchentintling von einem Botaniker in die Hand gedrückt bekommen. Ich habe ihn natürlich mikroskopiert und er sah stark nach P. plicatilis aus. Als ich dann aber hörte, dass P. plicatilis sehr selten sein soll, zweifelte ich an meiner Bestimmung. Nach paar weiteren Funden und Absprache mit Karl W, meine ich, jetzt wirklich Parasola plicatilis gefunden zu haben. Stimmt ihr mir zu?
Gefunden habe ich die Fruchtkörper auf den Grasflächen des Friedhofs und einer Obstwiese des BUND. Die Hüte hatten Durchmesser von 1 bis 2,5cm.
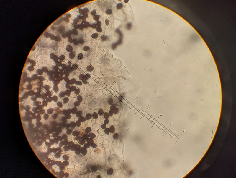
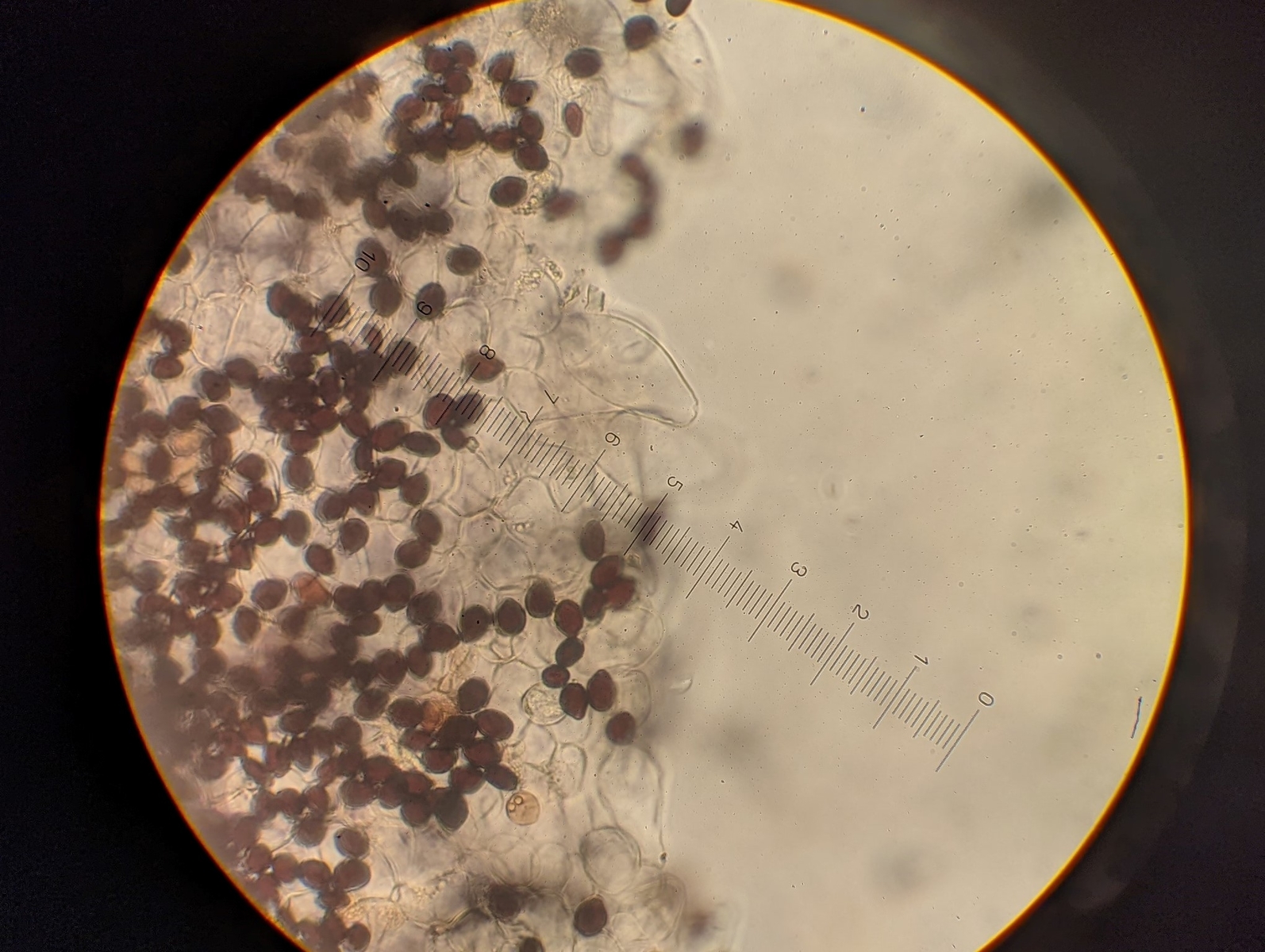
Der folgende untersuchte Fruchtkörper stammt von der BUND Wiese. Die Auflösung liegt bei 450x und es wurde in 3% KOH präpariert.
1. Die Fruchtkörper
2. Die Huthaut; ohne jegliche Borsten und mit kugelrunden Zellen
3. Die Sporen mit brauner Farbe in KOH
Mit folgenden Maßen: 11 - 12,5 - 14 x 7 - 9 - 10, Q: 1,2 - 1,5 - 1,8
Wobei ich nicht erkennen konnte, von welcher Seite ich die Sporen betrachtet habe.
4. Cheilozystiden
5. Cheilozystiden
6. Ich frage mich, was das für runde Zellen an der Lamellenschneide sind
Ich bin gespannt, was ihr von meinem Fund haltet.
Beste Grüße
Oliver
