Hallo zusammen,
hier kommt der zweite Teil meines Berichts vom Peringsmaar.
1. Eine Entoloma mit am Rand etwas gerieftem Hut und leichtem Buckel. Deutlicher Mehlgeruch. Schnallen sind vorhanden, Zystiden fehlen, Sporen messen 7.8-8.9 x 6.1-7.5, Q=1.1-1.3, bzw. 8.3+-0.3 x 6.9+-0.3, Q=1.2+-0.1. Die Elemente der Huthaut sind auffallend kurz. Kann ich den als Entoloma vindobonense ablegen?
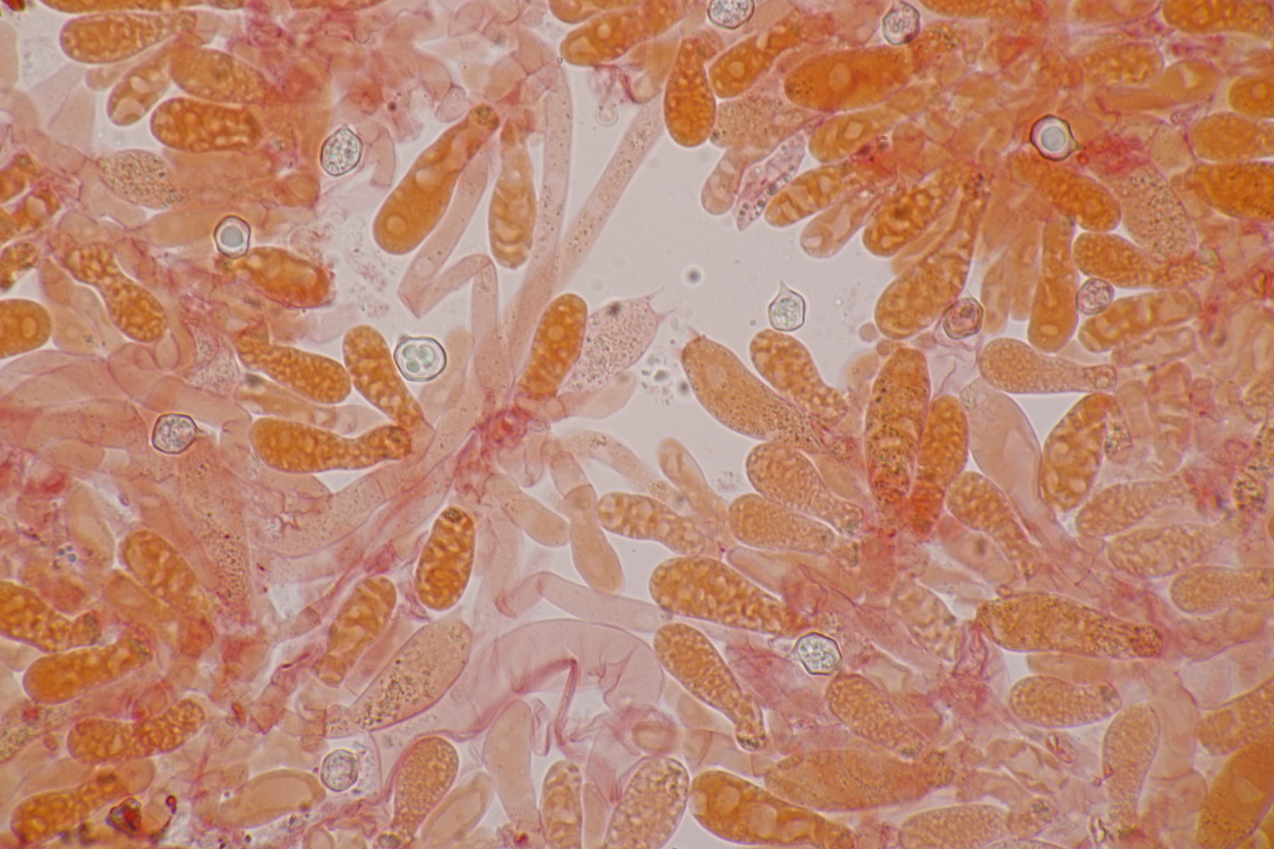
2. Hier bin ich unschlüssig. Es war eine Subgleba vorhanden, bräunlich. Sporen leicht warzig, 3.6-4.5 µm Durchmesser bzw. 4.2+-0.2 µm. Pedicel sehr kurz, um 1 µm. Capillitium ohne Septen, mit zahlreichen Poren. Der einzige Bovist, der überhaupt in Frage käme ist B. aestivalis, aber da sind die Sporen zu groß. Bei Lycoperdon lande ich dann am ehesten bei L. lividum. Kann das passen?
3. Pluteus salicinus
4. Sieht auf den ersten Blick wie ein klarer Fall aus: Encoelia furfuracea. Haken: Die Erscheinung wäre sehr früh im Jahr und das Substrat war Salix. Kann Encoelia furfuracea das auch?
5. Inonotus radiatus
6. Phragmidium sanguisorbae ex Sanguisorba minor
7. Erysiphe platani ex Platanus sp.
Björn
