Oktober-Hebelomas

Es gibt 4 Antworten in diesem Thema, welches 2.912 mal aufgerufen wurde. Der letzte Beitrag () ist von Clavaria.

  • Hallo zusammen


    Hier ist die Pilzsaison so ziemlich vorbei ist (morgen gibt es Frost und Schnee).

    Also habe ich wieder Zeit, ein paar Funde ins Forum zu stellen.


    Wichtig an alle, die Fälblinge hassen oder oder langweilig finden: Bitte ganz schnell den Thread schliessen und nie wieder öffnen.

    Die Fälblings-Bestimmung ist ja nie ganz einfach, wenn ich irgendwo falsch liege und das jemand eine bessere Idee hat, bitte melden.


    1:

    Der hat mich ziemlich lange beschäftigt und ich bin nicht wirklich sicher dass meine Bestimmung stimmt.

    Habitat: Thermophiler Kiefernwald

    Geruch schwach rettichartig. L = ca. 70


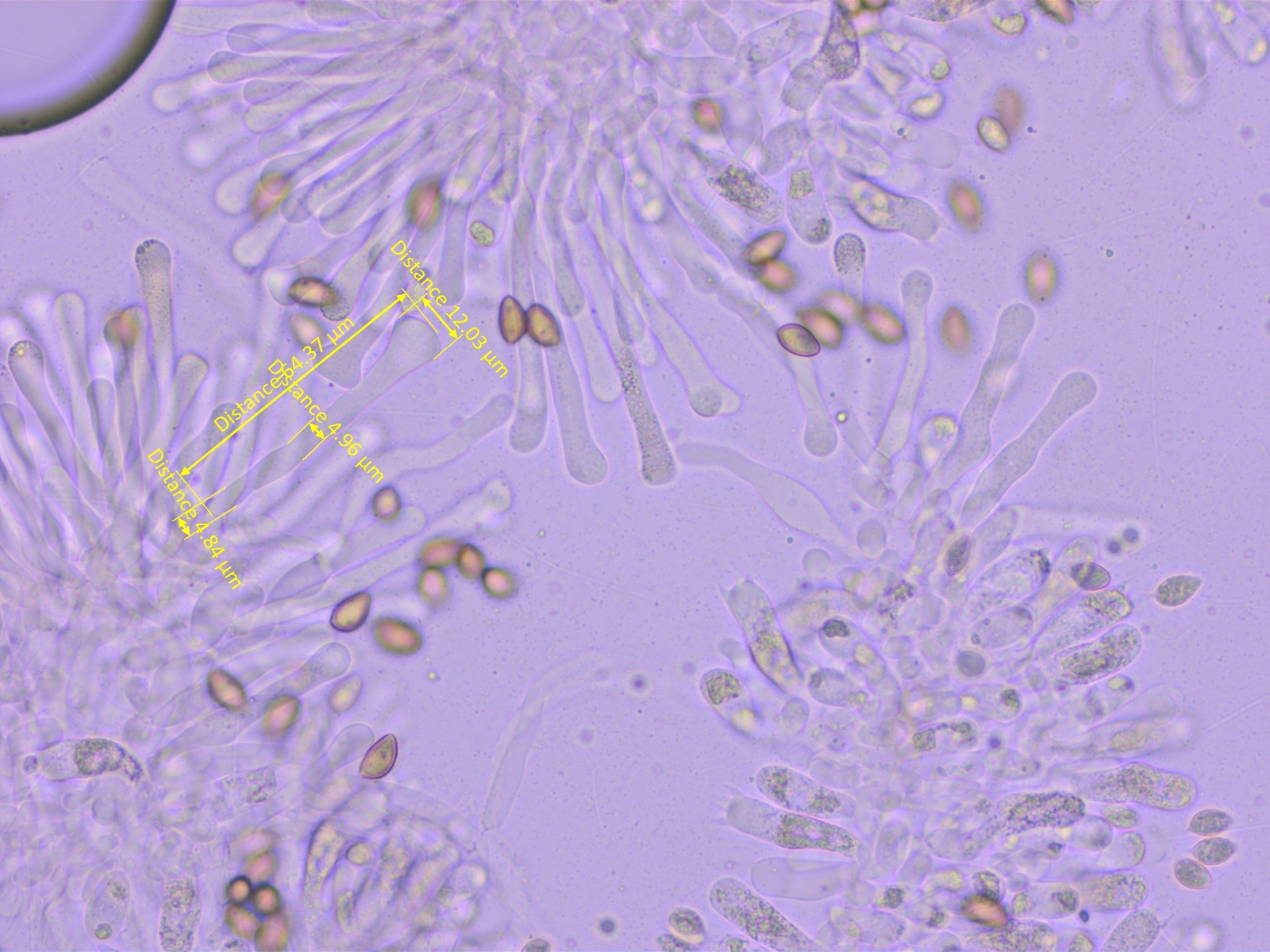
    Die Sporen sind recht breit und sehr stark ornamentiert, meistens mit deutlich ablösendem Perispor (O4, P2-3).

    Abmessungen etwa 10-12.5 x 6.3-8.2 µm, Q=1.4-1.7


    Zudem sind sie sehr stark dextrinoid. (D4)


    Die Cheilozystiden sind gestielt-keulig.

    Mittelwerte (n=10): A=6.45, M=4.36, B=6.73, A/M=1.5, A/B=0.98, B/M = 1.56


    Nach langem Hin und Her meine ich, dass es mit diesen stark dextrinoiden, ornamentierten Sporen mit ablösendem Persipor nur Hebeloma echinosporum sein kann.

    Gemäss dem Schlüssel in FE14 müsste zwar es H. rostratum sein, aber da fehlen die geschnäbelten Cheilo-Zystiden.

    Nur die Zystiden sind schmaler als beschrieben, allerdings basiert die Beschreibung nur auf einer Kollektion.


    [trennlinie][/trennlinie]


    2:

    Habitat: Mischwald bei Fichten.

    Geruch kräftig nach Rettich. L=50-60.


    Sporen mässig ornamentiert, ohne ablösenden Perispor, 11.3-13.8 x 6.7-7.9 µm, Q = 1.6-1.95 (O1-2, P0)


    Sporen nur dextrinoid (D2)


    Cheilozystiden gestielt-keulig, mit deutlich verdicktem Apex.

    Mittelwerte (n=10): A=8.89, M=4.39, B=5.26, A/M=2.03, A/B=1.71, B/M=1.21


    Habitus und Zystiden führen direkt zu dem crustiliniforme-Komplex. Aufgrund des breiten Zystiden-Apex sollte es Hebeloma eburneum sein.


    [trennlinie][/trennlinie]


    3:

    Ganz ehrlich, die hier sehen eigentlich fast gleich aus.

    Sie wuchsen unter Erlen in einem Mischwald, wo es sonst vor allem Kiefern und Fichten gab.

    Geruch nach Rettich, L= 60-70


    Die Sporen sind kaum ornamentiert, 11-14 x 6.2-7.4 µm, Q = 1.65-2.1 (O1, P0)


    Jod-Reaktion schwach (D1-2)


    Cheilozystiden gestielt-keulig, aber Apex weniger dick als bei Kollektion 2.

    Mittelwerte: L=60, A=7.33, M=4.62, B=3.52, A/M=1.59, A/B=2.12, B/M=0.77


    Aufgrund der schmaleren Zystiden sollte das nun Hebeloma crustiliniforme s.str. sein.


    [trennlinie][/trennlinie]


    4:

    Habitat: Mischwald bei Kiefern und Fichten

    Geruch schwach pilzig mit Rettichkomponente


    Sporen schwach ornamentiert, ohne ablösenden Perispor (O1-2-3, P0), 10-12 x 5.5-7 µm, Q = 1.55-1.85


    Schwach dextrinoid (D2-3)


    Cheilozystiden kurz keulig bis subzylindrisch, nicht bauchig.

    Mittelwerte (n=5): L= 33, A=5.35, M=4.15, B=4.22, A/M=1.30, A/B=1.28, B/M=1.02


    Hier habe ich mich beim Schlüsseln vertan und bei einer falschen Schlüsselziffer weitergemacht.

    Matthias war so aufmerksam das zu entdecken.

    Es ist nicht wie zuerst angenommen Hebeloma incarnatulum, sondern Hebeloma laterinum.


    [trennlinie][/trennlinie]


    5:

    Eine kräftige, grosse Art und dichten Lamellen. Geruch sehr stark nach Rettich.

    Habitat im Mischwald bei Fichten, Kiefern und Birken. L=80-85.


    Sporen deutlich ornamentiert, mit teils ablösendem Perispor, 10-13 x 6.5-7.5 µm, Q = 1.5-1.85 (O2-3, P1-2)


    Sehr stark dextrinoid (D3-4)


    Cheilozystiden keulig-bauchig.

    Mittelwerte (n=6): L=39, A=6.77, M=4.68, B=7.36, A/M=1.46, A/B=0.95, B/M=1.59


    Mit den sehr dichten Lamellen und den mikroskopischen Merkmalen sollte das Hebeloma sinapizans sein.


    [trennlinie][/trennlinie]


    6:

    Noch eine Kollektion aus dem Mischwald, mit deutlich dunklerer Mitte und Rettichgeruch. L nicht notiert.


    Sporen fast glatt, meistens schmaler als 6µm (O0-1, P0)


    Sporen kaum dextrinoid (D0-1)


    Cheilozystiden keulig-bauchig, nicht genau gemessen weil triviale Art.


    Makroskopisch und mikroskopisch kann es nur Hebeloma mesophaeum sein.


    [trennlinie][/trennlinie]


    7:

    Noch so eine Gruppe die an den crustiliniforme-Komplex erinnert.

    Habitat zur Abwechslung ein Mischwald aus Kiefern und Birken. Geruch (oh Wunder) nach Rettich. L leider nicht notiert, scheint aber auch nicht entscheidend zu sein.


    Sporen kaum ornamentiert, 10.5-13.5 x 6.3-8.0 µm, Q=1.6-1.88 (O0-1, P0)


    Sporen mässig dextrinoid (D2)


    Cheilozytstiden keulig-bauchig.

    Mittelwerte (n=10): L=59, A=8.21, M=4.68, B=5.76, A/M=1.86, A/B=1.59, B/M=1.23


    Hier kommt nach FE14 nur Hebeloma velutipes in Frage.


    [trennlinie][/trennlinie]


    8:

    Eine Gruppe kräftiger, fast büscheliger Fälblinge, Rettichgeruch, bei Fichten.

    L=60-65


    Sporen schwach ornamentiert, 11.5-14 x 7.2-8.6 µm, Q = 1.55-1.75 (O2, P0)


    Sporen deutlich dextrinoid (D2-3)


    Cheilozystiden deutlich bauchig.

    Mittelwerte (n=6):L=52, A=6.35, M=5.04, B=7.05, A/M=126, A/B=0.90, B/M=1.40


    Hier komme ich bei Hebeloma velutipes vaccinum (danke Hias) raus.


    So, nun habe ich euch genug gelangweilt. Glückwunsch an alle, die bis hier mitgelesen haben.


    Gruss Raphael

  • Hallo Raphael

    Großartige Arbeit hast Du da geleistet. Da ich mich ebenfalls für Hebeloma interessiere weiß ich wie zeitaufwändig das sein kann. Inzwischen nehme ich, wenn mehrer Kollektionen von Hebeloma stehen, nicht anderes mehr mit und konzentriere mich ganz auf die Gattung. Mit FE14 kommt man ja relativ häufig zu einem plausiblen Ergebnis.

    LG Karl

  • Servus Raphael,


    so ein Haufen hübscher Hebelömchen, so was gfoid mir!


    Bei deinen Beschreibungen fehlen die Anzahl durchgehender Lamellen und die genauen Mittelwerte der Cheilozystiden-Maße und -Quotienten (A/M, A/B, B/M), deshalb kann man die Bestimmungen gemäß FE14 nicht genau nachvollziehen. Bei drei Kollektionen würde ich aber trotzdem vorsichtige Zweifel anmelden:


    Bei Nr. 1 bist du dir ja selbst unsicher und ich kann mir nicht vorstellen, dass das hinhaut. Die Zystiden sehen auf deinem Mikrofoto eher (sub)zylindrisch als gestielt keulig aus und haben wie du selbst schreibst andere Maße, die Schwammerln sehen völlig anders aus als die Typuskollektion und stammen aus einem anderen Habitat (Letzteres heißt bei nur 1 Kollektion natürlich nicht viel).


    Bei Nr. 4 kann ich mir H. incarnatulum nicht vorstellen. Das ist ein ganz schlankstieliger Pilz mit keulig aufgeblasener Stielbasis und dunkler braunen Hutfarben, der meist im saueren moosigen Nadelwald wächst. Die Stiele deiner Kollektion sind vergleichsweise kräftig und eher wurzelnd als basal aufgeblasen, soweit man das auf den Fotos erkennen kann. Außerdem schienen sie im unteren Bereich zu bräunen. Also makroskopisch erinnert mich die Kollektion stark an H. laterinum, wenngleich einige deiner Angaben da nicht dazu passen.


    Bei Nr. 7 und 8 kommst du jeweils bei H. velutipes heraus. Ich gebe ja zu, dass Hebelomen verteufelt variabel sind, aber so extrem?

    H. velutipes ist meist sehr blass gefärbt und hat eine sehr feine Stielbereifung. Deine Kollektion Nr. 8 erinnert mich eher an einen ganz normalen Rettich-Fälbling (H. sinapizans) mit ziemlich massiven Fk, grob beflocktem Stiel, sehr gedrängten Lamellen und relativ dunklen Hutfarben. Zudem sind die Cheilozystiden von H. velutipes apikal fast immer keulig oder kopfig erweitert und nur zu einem sehr geringen Prozentsatz (unter 30%) auch bauchig erweitert - das passt also nicht mit deiner Beschreibung und dem Mikrofoto zusammen. Also ich will jetzt nicht behaupten, dass es tatsächlich ein H. sinapizans ist, zumal der in unseren Breiten fast immer bei Laubbäumen wächst, aber H. velutipes kann ich mir für Nr. 8 nicht vorstellen.


    Beste Grüße

    Hias

  • Hallo zusammen


    Wow, ich dachte nicht dass ich mit dem Beitrag so viel Aufmerksamkeit ernte!


    Bei deinen Beschreibungen fehlen die Anzahl durchgehender Lamellen und die genauen Mittelwerte der Cheilozystiden-Maße und -Quotienten (A/M, A/B, B/M), deshalb kann man die Bestimmungen gemäß FE14 nicht genau nachvollziehen.

    Hallo Hias,


    Oh, ich dachte nicht dass sich jemand für so viele Details interessiert.

    Natürlich habe ich die Werte meistens notiert, und nun oben ergänzt.

    Bei Nr. 1 bist du dir ja selbst unsicher und ich kann mir nicht vorstellen, dass das hinhaut. Die Zystiden sehen auf deinem Mikrofoto eher (sub)zylindrisch als gestielt keulig aus und haben wie du selbst schreibst andere Maße, die Schwammerln sehen völlig anders aus als die Typuskollektion und stammen aus einem anderen Habitat (Letzteres heißt bei nur 1 Kollektion natürlich nicht viel)

    ja, das alles verwirrt mich auch. Die einzige andere Option wäre noch H. celatum, aber die kenne ich von anderen Kollektionen mit ganz anderen Sporen.

    Den Fund werde ich sequenzieren lassen. Zu H. echinosporum gibt es kaum gesicherte Nachweise, daher kaum morphologisch zu entscheiden.


    Bei Nr. 4 kann ich mir H. incarnatulum nicht vorstellen. Das ist ein ganz schlankstieliger Pilz mit keulig aufgeblasener Stielbasis und dunkler braunen Hutfarben, der meist im saueren moosigen Nadelwald wächst. Die Stiele deiner Kollektion sind vergleichsweise kräftig und eher wurzelnd als basal aufgeblasen, soweit man das auf den Fotos erkennen kann. Außerdem schienen sie im unteren Bereich zu bräunen. Also makroskopisch erinnert mich die Kollektion stark an H. laterinum, wenngleich einige deiner Angaben da nicht dazu passen.

    Den hätte ich eigentlich gar nicht mitnehmen sollen, weil die Fruchtkörper noch recht unreif waren. Ich hatte sogar Mühe genug reife Sporen zu finden.

    Es war eine Kartierungs-Mission und kaum jemand kartiert Fälblinge, also hatten sie eine Chance verdient.

    Ich vermute, dass ausgewachsene Fruchtkörper den von dir beschriebenen typischen Habitus angenommen hätten.


    Bei Nr. 7 und 8 kommst du jeweils bei H. velutipes heraus. Ich gebe ja zu, dass Hebelomen verteufelt variabel sind, aber so extrem?

    H. velutipes ist meist sehr blass gefärbt und hat eine sehr feine Stielbereifung. Deine Kollektion Nr. 8 erinnert mich eher an einen ganz normalen Rettich-Fälbling (H. sinapizans) mit ziemlich massiven Fk, grob beflocktem Stiel, sehr gedrängten Lamellen und relativ dunklen Hutfarben.

    Ja da hast du völlig recht. Nach ein paar Gläsern Wein und viel Text kann es vorkommen, dass ich mich vertue.

    Kollektion 7 sollte schon H. velutipes sein, aber bei Kollektion 8 sollte eigentlich H. vaccinum dran stehen. Danke für den Hinweis, ich hoffe damit kannst du dich besser anfreunden.


    Viele Grüsse

    Raphael