APR-Exkursion Laerholz 17.10.2021

Es gibt 3 Antworten in diesem Thema, welches 3.385 mal aufgerufen wurde. Der letzte Beitrag () ist von JanMen.

  • Hallo zusammen,


    gestern waren der APR gemeinsam mit dem Bochumer Botanischen Verein auf einer Pilzekxursion im Laerholz unterwegs. Auch wenn der Wald nicht übermäßig voll mit Pilzen war, gab es doch einige nette und interessante Funde.


    1. Spinellus fusiger auf Mycena crocata


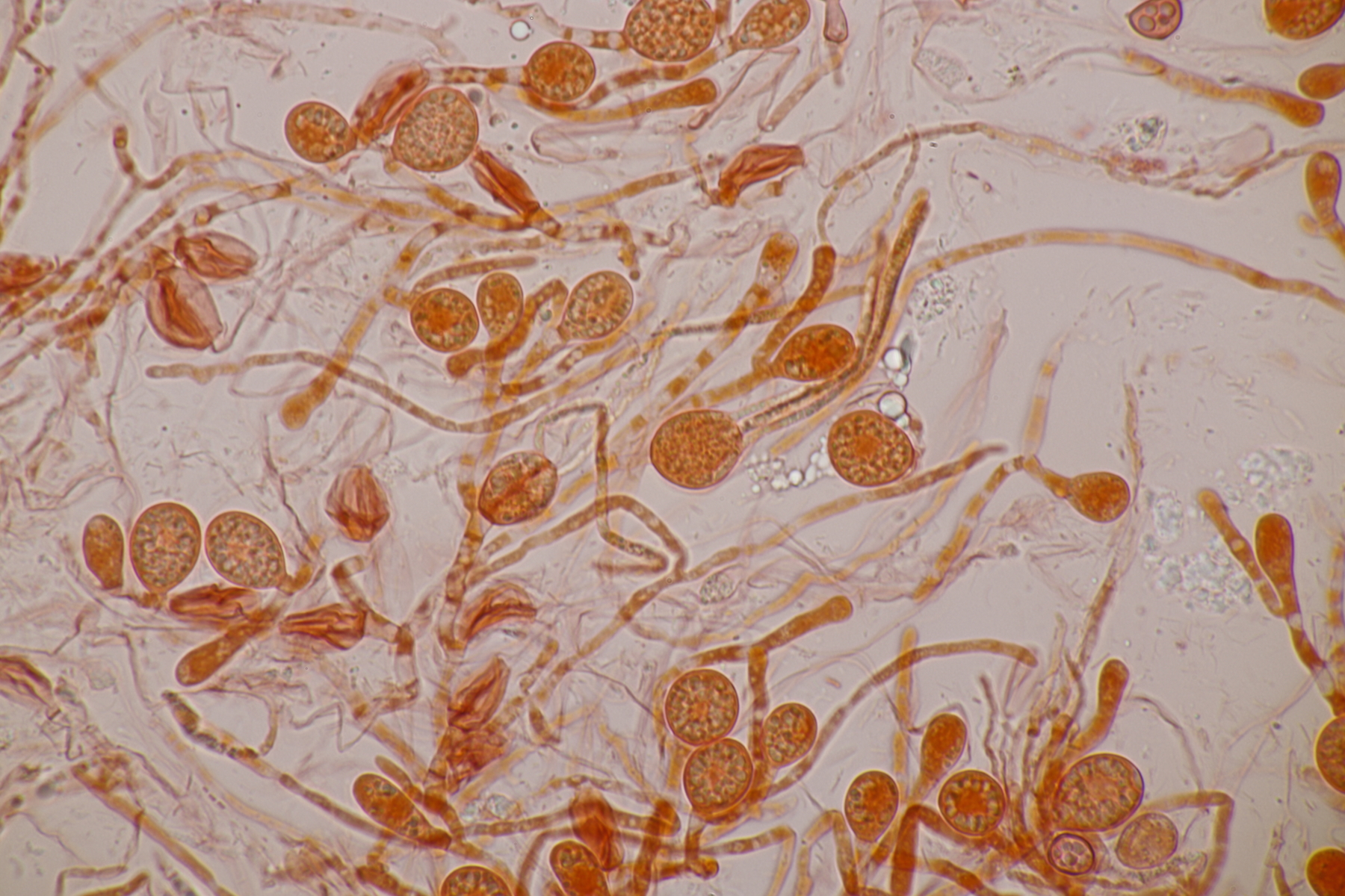
    2. Phyllactinia fraxini ex Fraxinus excelsior


    3. Lyophyllum decastes


    4. Atheniella flavoalba


    5. Calocybe obscurissima


    6. Puccinia coronata ex Arrhenatherum elatius


    7. Sebacina incrustans


    8. Marasmius cohaerens. Jan-Arne drückte mir den Pilz in die Hand und meinte, der habe schöne Setae, die er gerne mal sehen würde. Also habe ich den Pilz unters Mikro gelegt und bin schwer beeindruckt von Setae und Zystiden.

    Lamelle mit Cheilozystiden und Setae

    Sporen

    Huthaut mit Pileozystiden und Setae


    9. Zum Schluß noch das wahrscheinlich Highlight der Tour. Cyanophile Basidien und glatte Sporen führen mich zur Gattung Cristinia. Schnallen, Sporengröße von 5.7+-0.4 x 4.6+-0.3, Q=1.2+-0.1 bzw. 4.9-6.4 x 4.1-5.4, Q=1.1-1.4 und eine weinrote Verfärbung mit KOH dann zu Cristinia rhenana. Bis jetzt bei Pilze-Deutschland mit 10 Funden vertreten, davon noch keiner in NRW.


    Björn

  • Hallo Björn,

    9. Zum Schluß noch das wahrscheinlich Highlight der Tour. Cyanophile Basidien und glatte Sporen führen mich zur Gattung Cristinia. Schnallen, Sporengröße von 5.7+-0.4 x 4.6+-0.3, Q=1.2+-0.1 bzw. 4.9-6.4 x 4.1-5.4, Q=1.1-1.4 und eine weinrote Verfärbung mit KOH dann zu Cristinia rhenana. Bis jetzt bei Pilze-Deutschland mit 10 Funden vertreten, davon noch keiner in NRW.

    Schöner Fund, auch wenn ich dir bei der Bestätigung nicht helfen kann.

    Von der Gattung Cristinia habe ich noch nichts gehört und anfangs hatte ich an eine Lindtneria leucobryophila gedacht, aber diese hat Sporen mit einem Ornament.

    Es wäre nicht schlecht, wenn das der Erstfund für NRW wäre :)


    VG : Thorben

    • Offizieller Beitrag

    Hi Björn,


    Glückwunsch zur Cristinia. Feine Sache!

    Und danke fürs Indiehanddrückenlassen des Marasmius. Die Fotos der Setae sind genial!


    Beste Grüße

    Jan-Arne


    Im Forum gibt es keine Verzehrfreigaben, nur Hilfestellungen zu eigenständigen Vergleichen!


    Meine Homepage mit Kurzportraits von Pilzen und Tieren: fungaundfauna