Hallo zusammen,
nachdem die Regenfälle der letzten Tag aufgehört haben, habe ich heute mal eine kleine Runde auf dem Alten Friedhof in Duisburg gedreht. So langsam kommt auch dort das Pilzwachstum in Gange.
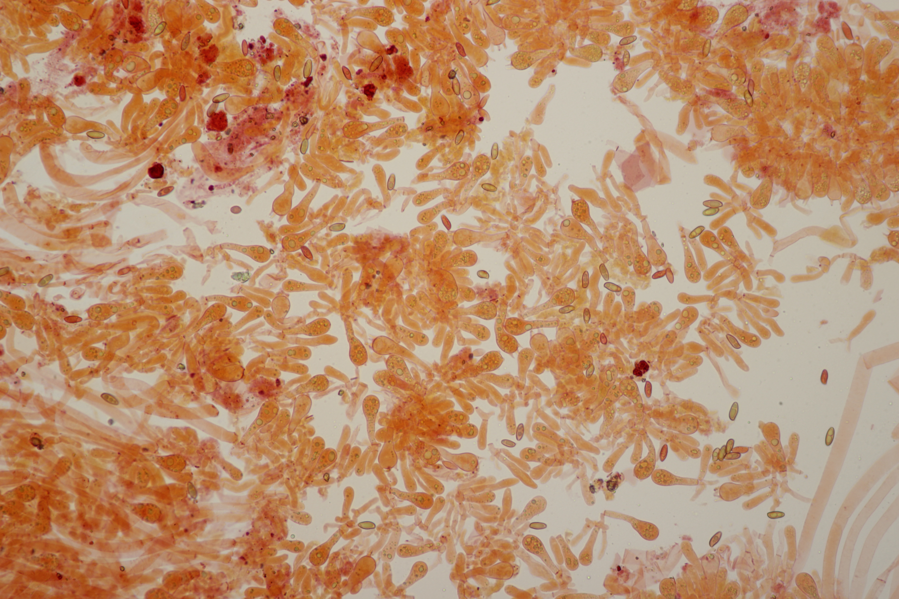
1. Ein Röhrling unter Carpinus und Pinus mit Sporen von 11.4+-0.5 x 4.6+-0.3, Q=2.5+-0.1, 10.5-12.1 x 4.1-5.1, Q=2.4-2.8. Damit lande ich bei Hortiboletus bubalinus
Huthaut
Röhren
Sporen
Stiel
2. Gymnopus impudicus
3. Suillellus luridus
4. Russula recondita, wuchs aktuell in rauen Mengen
Björn
