Dear friends,
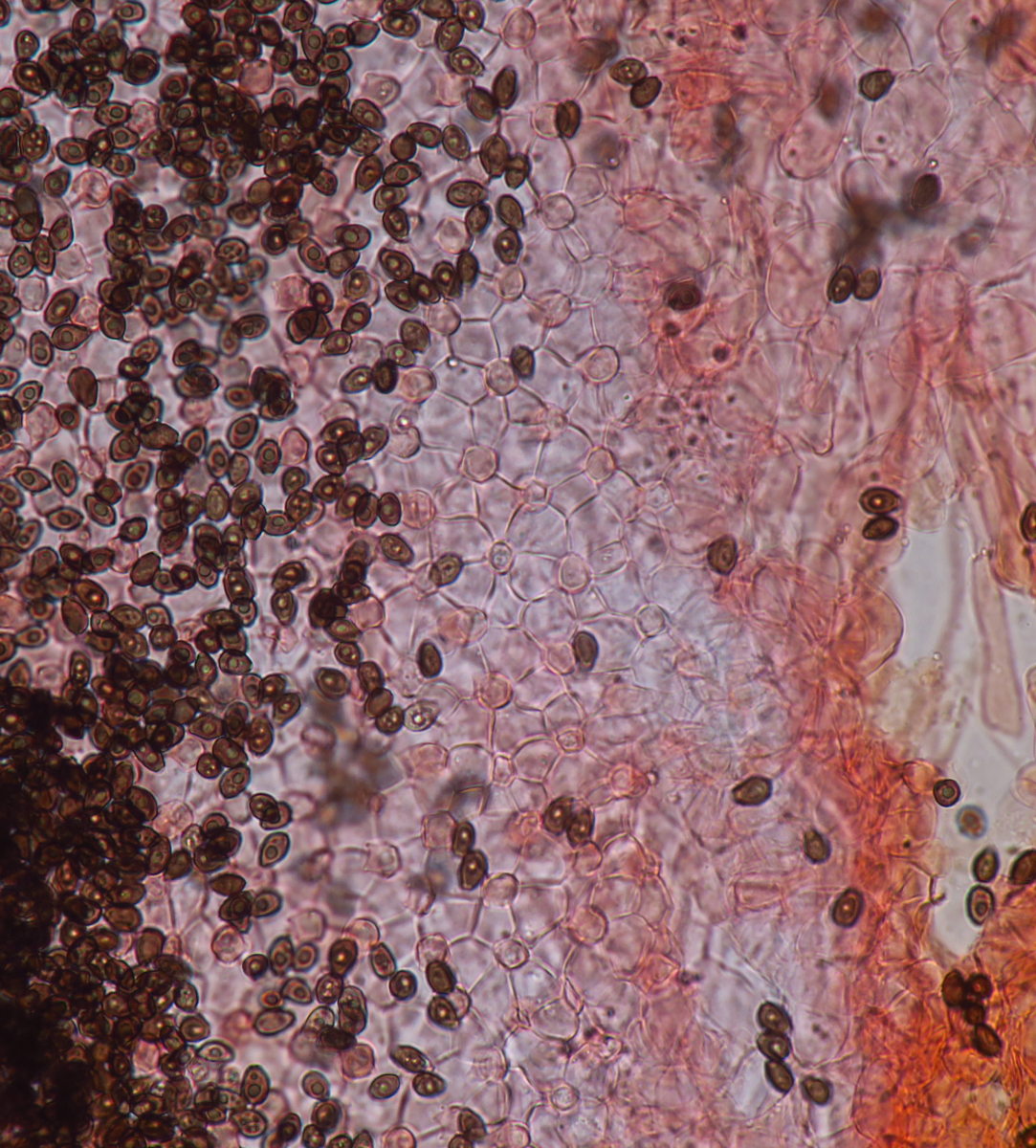
I have this Coprinopsis species about 3cm long with partial veil having intertwined filaments with long warts or tubercles projecting out. Cystidia and pleurocystidia balloon shaped.
Spore size:
7.9 [8.7; 9] 9.8 × 5.7 [6.2; 6.4] 6.9 µm
Q = 1.2 [1.4] 1.6; N = 30; C = 95%
Me = 8.9 × 6.3 µm; Qe = 1.4
