Hallo zusammen,
hier also der zweite Teil meiner Samstags-Tour durch das Ittertal, in dem es um die gefundenen Ascomyceten gehen soll.
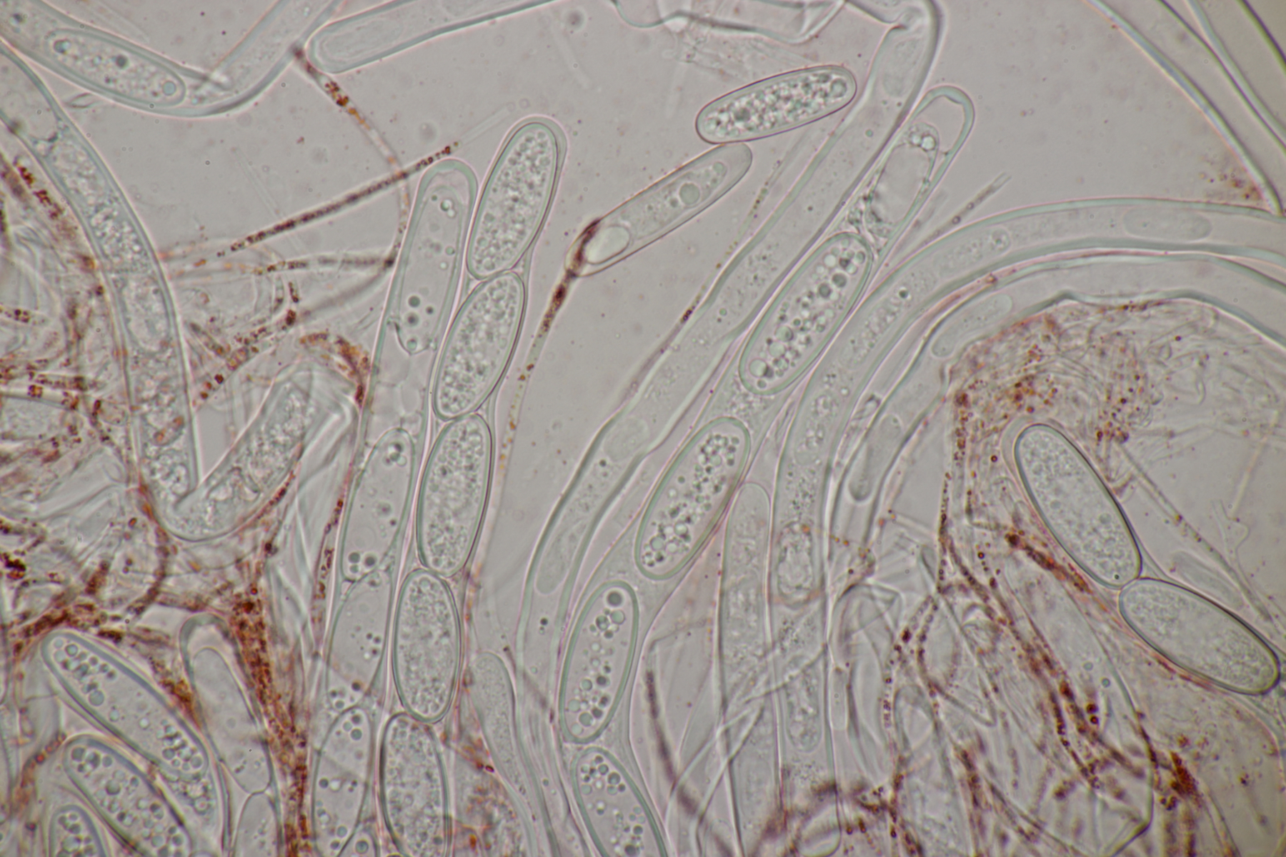
1. Lorcheln hatte ich um diese Jahreszeit eigentlich nicht mehr bzw. noch nicht erwartet. Aber da es ja noch nicht richtig frostig war, warum nicht. Einen Sporenabwurf habe ich nicht bekommen, aber im Präparat schwammen einige freie Sporen von (15-18) µm x (10-11) µm, Q=1.5-1.6. Insgesamt geht meine Tendenz hier zu Helvella villosa oder Helvella cupuliformis. Da mir bei Helvella aber viel Funderfahrung fehlt und sich da ja in letzter Zeit auch einiges getan hat, bin ich auch auf die Meinung der Experten gespannt.
2. Ein gestielter Moosbecher mit netzigem Sporenornament. Sporen messen (18-23) x (11-14), Q=1.5-1.9. Da kein Polytrichum in der Nähe war, würde ich hier zu Neottiella albocincta tendieren.
3. Sarcoscypha austriaca mit krausem Haar
4. An einer weiteren Stelle noch mal S. austriaca
5. Dritte Stelle. Hier würde ich mit den glatten Haaren und den Sporen ohne Delle eher zu S. coccinea tendieren.
6. Graphis scripta agg.
7. Claviceps auf Phragmites australis. Offenbar ist das nicht das gewöhnliche Claviceps purpurea, sondern eine eigene Art, die früher als C. microcephala geführt wurde und jetzt C. arundinis heißt.
8. Leptotrochila ranunculi ex Ranunculus repens
Björn
