Ittertal 23.01.2021 Teil 2

Es gibt 4 Antworten in diesem Thema, welches 5.300 mal aufgerufen wurde. Der letzte Beitrag () ist von boccaccio.

  • Hallo zusammen,


    hier also der zweite Teil meiner Samstags-Tour durch das Ittertal, in dem es um die gefundenen Ascomyceten gehen soll.


    1. Lorcheln hatte ich um diese Jahreszeit eigentlich nicht mehr bzw. noch nicht erwartet. Aber da es ja noch nicht richtig frostig war, warum nicht. Einen Sporenabwurf habe ich nicht bekommen, aber im Präparat schwammen einige freie Sporen von (15-18) µm x (10-11) µm, Q=1.5-1.6. Insgesamt geht meine Tendenz hier zu Helvella villosa oder Helvella cupuliformis. Da mir bei Helvella aber viel Funderfahrung fehlt und sich da ja in letzter Zeit auch einiges getan hat, bin ich auch auf die Meinung der Experten gespannt.


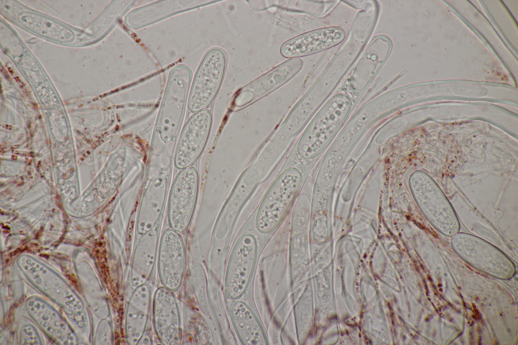
    2. Ein gestielter Moosbecher mit netzigem Sporenornament. Sporen messen (18-23) x (11-14), Q=1.5-1.9. Da kein Polytrichum in der Nähe war, würde ich hier zu Neottiella albocincta tendieren.


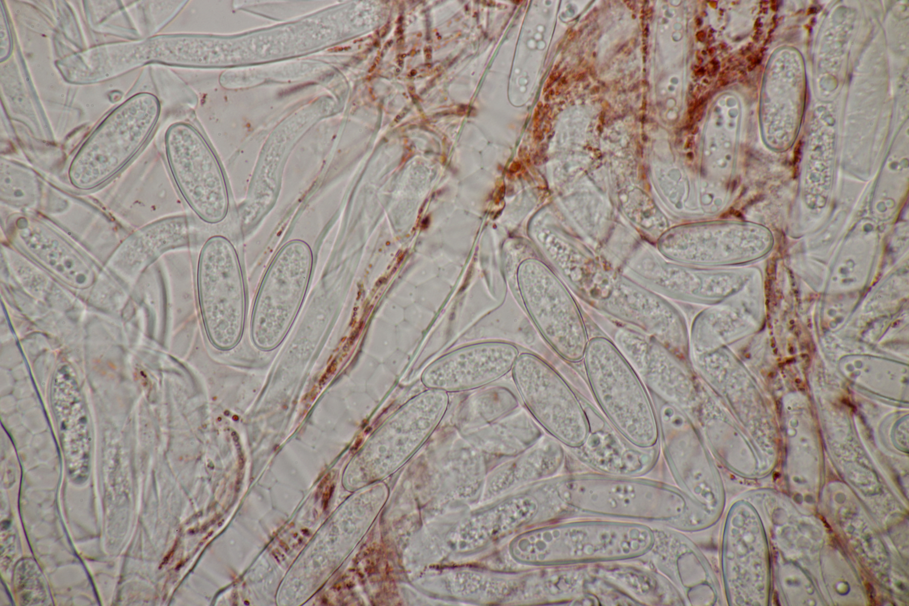
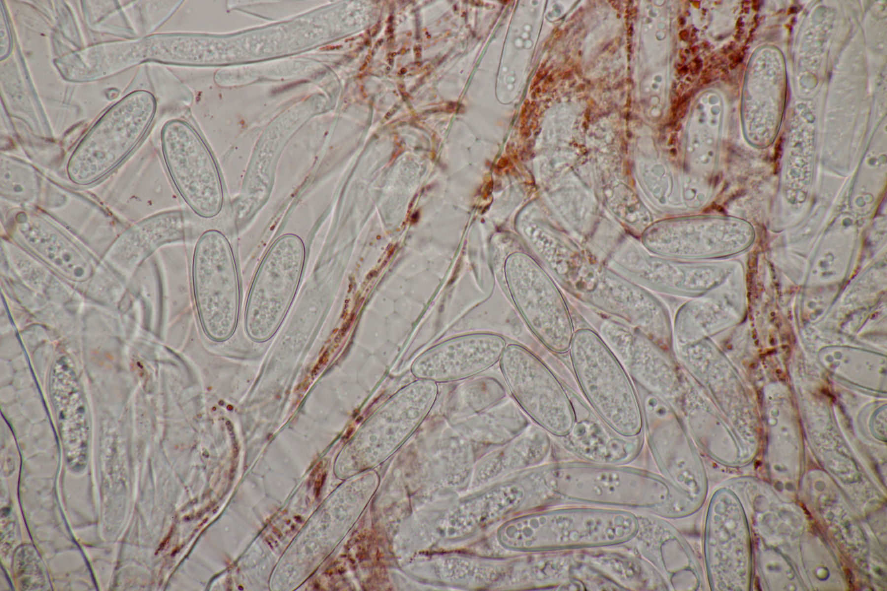
    3. Sarcoscypha austriaca mit krausem Haar


    4. An einer weiteren Stelle noch mal S. austriaca


    5. Dritte Stelle. Hier würde ich mit den glatten Haaren und den Sporen ohne Delle eher zu S. coccinea tendieren.


    6. Graphis scripta agg.


    7. Claviceps auf Phragmites australis. Offenbar ist das nicht das gewöhnliche Claviceps purpurea, sondern eine eigene Art, die früher als C. microcephala geführt wurde und jetzt C. arundinis heißt.


    8. Leptotrochila ranunculi ex Ranunculus repens


    Björn

  • Sehr schöne Funde, Björn!:thumbup:

    2. Da kein Polytrichum in der Nähe war, würde ich hier zu Neottiella albocincta tendieren.

    N. albocincta passt! Zumal ich das Wirtsmoos Atrichum undulatum auf den Bildern erkennen kann.

    6. Graphis scripta agg.

    8. Leptotrochila ranunculi ex Ranunculus repens

    Um diese beiden Arten beneide ich Dich. Würde ich gern auch einmal finden.


    LG, Nobi

    Hier geht es zu meinen Themen.

    -------------------------------------------------------------------------------------------------------------------------------------------------------------------------------------------------------

    Chips: 72

  • Hallo Nobi,


    Graphis scripta habe ich auch lange Zeit vergeblich gesucht und bin jetzt zweimal fündig geworden. Beide Male war das Susbtrat jeweils Haselnuß in Bachnähe. Wenn das ganze dann noch in etwas Wald eingebettet ist, so daß die Luftfeuchtigkeit gleichbleibend höher als normal ist, hilft das scheinbar auch.


    Leptrotrochila ranunculi hatte Jule mir mal bei einem Phytoworkshop gezeigt, jetzt habe ich ihn endlich selber gefunden. So schrecklich häufig scheint der nicht zu sein, da ich mir eigentlich immer mal Hahnenfuß anschaue. Grundsätzlich gilt hier aber wohl, daß möglichst gammelige Pflanzen die Erfolgschancen erhöhen.


    Björn

  • Hallo Björn,

    Helvella villosa wird allgemein mit Sporen bis über 20 mµ Länge angegeben. H. cupuloides kann ich mir sehr gut vorstellen, da die Art auch von Jochen am 10.10.21 gefunden wurde. Momentan habe ich nicht alle Literatur zur Verfügung, aber ich meine der gültige Name für H. villosa soll H. vibrosa sein und H. cupuliformis hatte sich auch geändert. A synopsis of the saddle fungi ( Helvella: Ascomycota) in Europe - species delimitation, taxonomy and typification - PubMed

    Bei S. coccinea bin ich absolut Deiner Meinung. Wer noch nie S. austriaca mikroskopiert hat wird zwar auf Deinem Mikrobild keine glatten Haare sehen ^^ aber gekräuselt und korkenzieherartig sind sie nun wirklich nicht. Fehlende eingedellte Sporen unterstützen das noch zusätzlich.

    LG Karl

  • Hallo Karl,


    da ich ja nur wenige Sporen hatte, würde ich der Sporenlänge hier nur bedingt Gewicht verleihen. Breitenbach und Kränzlin unterscheiden H. cupuloides (bzw. jetzt H. hypocrateriformis) und H. villosa/fibrosa über die Sporenbreite, aber auch da sind die Unterschiede eher marginal. Mit dem Skrede-Schlüssel komme ich aber jetzt auch eher be H. hypocrateriformis aus. Das Hymenium ist ja nicht grau oder graubraun sondern eher gelbbraun. Außerdem sind die Sporen bei meinem Fund komplett glatt gewesen, während sie die bei H. fibrosa im reifen Zustand warzig sein sollten (seltsam, daß das Breitenbach und Kränzlin z.B. nicht erwähnen).


    Björn