stacheliger Rindenpilz

Es gibt 9 Antworten in diesem Thema, welches 3.516 mal aufgerufen wurde. Der letzte Beitrag () ist von Beorn.

  • Hallo,

    heute fand ich an einem liegenden Carpinus-Ast diesen stacheligen Rindenpilz. Ich tu mir schwer, die Sporen zu erkennen, weil es viele ähnliche rundliche bis ellipsoide ‚Dinger‘ gibt. Die, die ich gemessen habe, waren ungefähr 4x2,3 groß. Auf KOH reagiert der Pilz nicht rot, so wie Phlebia uda. Schnallen hab ich gefunden. Hier die Fotos:












    LG

    romana

    103-15 APR2017+17(3.Platz)+2(Wette)=107-1(OBR)-15 APR2018=91+13(3.Platz)+8(Wetten)=112-2+7(Wette)=117-15 APR2019=102+8(8.Platz)=110-15 APR2020=95+12(3.Platz)+27(Wetten)=134-15 APR2021=119+10(4.Platz)+12(Wetten)=141-15+16 APR2022=142-15(APR2023)=127+18=145-15(APR24)=130

    Einmal editiert, zuletzt von romana () aus folgendem Grund: Autokorrektur...

    • Offizieller Beitrag

    MoinMoin!


    Phlebia aurea ist mir auch schon so hell begegnet. Die goldgelben Farben entstehen da wohl erst im Verwitterungsprozess der Fruchtkörper bei geeigneten Bedingungen.

    Die Sporen müsste man noch genauer angucken, und sicherstellen, daß es nicht irgendwo noch dickwandige und / oder inkrustierte Zystiden gibt.
    >Ansonsten könnte das ja gut passen<.



    LG, Pablo.

  • Hallo,

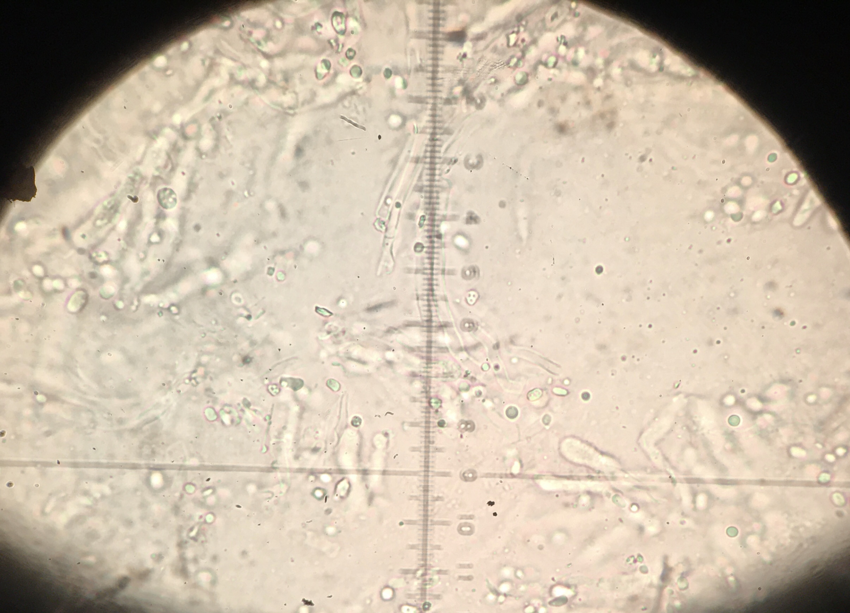
    jetzt hab ich mich auf Sporensuche begeben und denke, dass ich sie auch gefunden habe. Sie sind suballantoid, allerdings messen sie 6-6,5 x 3.

    Ist es also doch nicht Phlebia aurea? Ich schau gleich noch die Zystiden an.

    LG

    romana






    103-15 APR2017+17(3.Platz)+2(Wette)=107-1(OBR)-15 APR2018=91+13(3.Platz)+8(Wetten)=112-2+7(Wette)=117-15 APR2019=102+8(8.Platz)=110-15 APR2020=95+12(3.Platz)+27(Wetten)=134-15 APR2021=119+10(4.Platz)+12(Wetten)=141-15+16 APR2022=142-15(APR2023)=127+18=145-15(APR24)=130

    Einmal editiert, zuletzt von romana ()

  • so, und hier folgen die Zystiden usw.








    103-15 APR2017+17(3.Platz)+2(Wette)=107-1(OBR)-15 APR2018=91+13(3.Platz)+8(Wetten)=112-2+7(Wette)=117-15 APR2019=102+8(8.Platz)=110-15 APR2020=95+12(3.Platz)+27(Wetten)=134-15 APR2021=119+10(4.Platz)+12(Wetten)=141-15+16 APR2022=142-15(APR2023)=127+18=145-15(APR24)=130

    • Offizieller Beitrag

    Hallo, Romana!


    Darf man noch Veto und Tauschen?
    Falls ja würde ich nach den weiteren Ansichten gerne Xylodon quercinus draus machen. g:-)
    Die Sporen passen dazu viel besser, da sind einige dickwandige Hyphen (Xylodon - Hyphen) zu sehen, die gesamte Struktur der Hyphen und Basidien passt nicht recht zu Phlebia, kopfige Elemente / Zystiden sind auch vorhanden - makroskopisch passt dann der Eichen - Zähnchenrindenpilz auch.


    PS.: Sicher, daß das Substrat Carpinus ist und nicht Quercus?
    Wobei das wohl nicht die entscheidende Rolle spielt, der kann schon noch an ein paar weiteren laubhölzern als nur Eiche.



    LG; Pablo.

  • Hallo Pablo,

    ich bin mit Xylodon quercinus auch einverstanden - die Sporen passen ja nicht für Phlebia aurea, denke ich. Ich habe da ziemlich sicher nicht die Kompetenz, das zu beurteilen - mir fällt es sehr schwer, die Strukturen von Rindenpilzen zu beurteilen...

    Mit der Substratbestimmung bin ich mir nicht sicher. Es gibt in diesem Wald auch Eichen, ob nun grad dort welche waren, weiß ich leider nicht mehr. Ich habe das Holz als Carpinus aufgrund der gerippten Oberfläche bestimmt, aber ich kann da natürlich auch falsch liegen. Ich glaube aber mich zu erinnern, dass direkt daneben ein weiteres Astfragment lag, auf dem Melogramma campylosporum war und das vom selben Ast stammen musst. Ob das nun genau da war, weiß ich leider nicht mehr.

    Jedenfalls vielen Dank - mal wieder - für deine Bestimmungshilfe!

    LG
    romana

    103-15 APR2017+17(3.Platz)+2(Wette)=107-1(OBR)-15 APR2018=91+13(3.Platz)+8(Wetten)=112-2+7(Wette)=117-15 APR2019=102+8(8.Platz)=110-15 APR2020=95+12(3.Platz)+27(Wetten)=134-15 APR2021=119+10(4.Platz)+12(Wetten)=141-15+16 APR2022=142-15(APR2023)=127+18=145-15(APR24)=130

    • Offizieller Beitrag

    Hallo, Romana!


    Ob Melogramma campylosporum an eiche oder nicht gehört, kann ich nicht beurteilen. Von kernpilzen verstehe ich nicht wirklich was.
    Hättest du noch wass Einfaches im Angebot, zB Peniophora quercina oder Vuilleminia comedens? :gzwinkern:


    Ja, die Sporen sind schon deutlich zu lang für Phlebia aurea. Auch der Inhalt und die Form sind nicht genau das, was man bei Phlebia aurea erwarten würde, und vermutlich auch die Sporenwände etwas dicker, der Inhalt ein wenig anders... Bis auf die Größe sind das aber schwer zu beurteilende Merkmale, das wird wohl erst nachvollziehbar, wenn man entsprechende Sporen ein paar Mal gesehen hat. Darum noch der Verweis auf die Hyphenstruktur, sowie die dickwandigen Hyphen mit Schnallen, die teils stellenweise verdickt (bauchig) sind, und die Zystiden, die oft etwas lageniform und zudem mit Köpfchen gestaltet sind. Auch diese Zystiden passen nicht zu Phlebia.



    Lg; Pablo.

  • Hallo Pablo,

    mit meinem ersten Pilz-Lehrer war ich auch in den Wintermonaten unterwegs und da ging es vor allem um Porlinge und Pyrenomyceten. Er hat mir erklärt, dass Melogramma buillardii, jetzt M. campylosporum, eine kennzeichnende Art für Carpinus ist. Ich werde aber nochmals in den Großpilzen Baden-Württembergs nachsehen, die haben ziemlich genaue Substratangaben. Hoffentlich kommt dieser Pilz überhaupt drin vor...

    Auch makroskopisch finde ich, dass mein Pilz eher zu Xylodon quercinus passt, obwohl das ja trügerisch ist. Wenn ich mich nicht irre, kommen diese 'mehrspitzigen' Zähnchen, wie sie auf meinen Fotos auch zu sehen sind, bei dieser Art vor. Ich weiß jetzt aber nicht, wie die Zähnchen von Phlebia aurea aussehen, vielleicht ja auch so. Mir ist jetzt auch klar, warum ich anfangs die Sporen nicht gefunden habe, denn die sind wirklich schwer zu sehen. Ich bin der jedenfalls sehr dankbar, dass du mir die Merkmale so genau erklärt hast! Schön langsam wird mir das klarer...

    LG

    romana

    103-15 APR2017+17(3.Platz)+2(Wette)=107-1(OBR)-15 APR2018=91+13(3.Platz)+8(Wetten)=112-2+7(Wette)=117-15 APR2019=102+8(8.Platz)=110-15 APR2020=95+12(3.Platz)+27(Wetten)=134-15 APR2021=119+10(4.Platz)+12(Wetten)=141-15+16 APR2022=142-15(APR2023)=127+18=145-15(APR24)=130

    • Offizieller Beitrag

    Hallo, Romana!


    Was du mittlerweile sicherlich schon festgestellt hast: Bei den GroPiBaWü gibt's keinen Ascomyceten - Band.
    Nur Basidio- und Neterobasidiomyceten.

    Insofern: Vertrau deinem Lehrer, wenn der sich mit Pyrenos auskennt, dann sollte das schon stimmen.



    LG, Pablo.