Spannendes aus dem Garten ...

Es gibt 2 Antworten in diesem Thema, welches 1.591 mal aufgerufen wurde. Der letzte Beitrag () ist von Karl W.

  • Hallo zusammen,


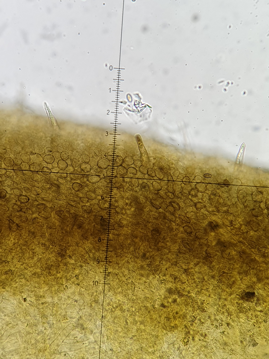
    habe heute noch einen spannenden Fund auf Holzhechsel im Garten gemacht. A little brown Mushroom. Aber auffällig, zwei hatten ein Sklerotium. Unterm Mikroskop dann ein wahres "Feuerwerk" an Zystiden. Dichtgedrängte Cheilos lageni- bis subfusiform. Dazwischen immer wieder kugelige mit fingerförmigen Ausstülpungen. Solche finden sich auch als Pleuros und machen den Pilz dingfest: Acrocybe arvalis.

    Auch Pileo- und Kaulozystiden waren zahlreich vorhanden.

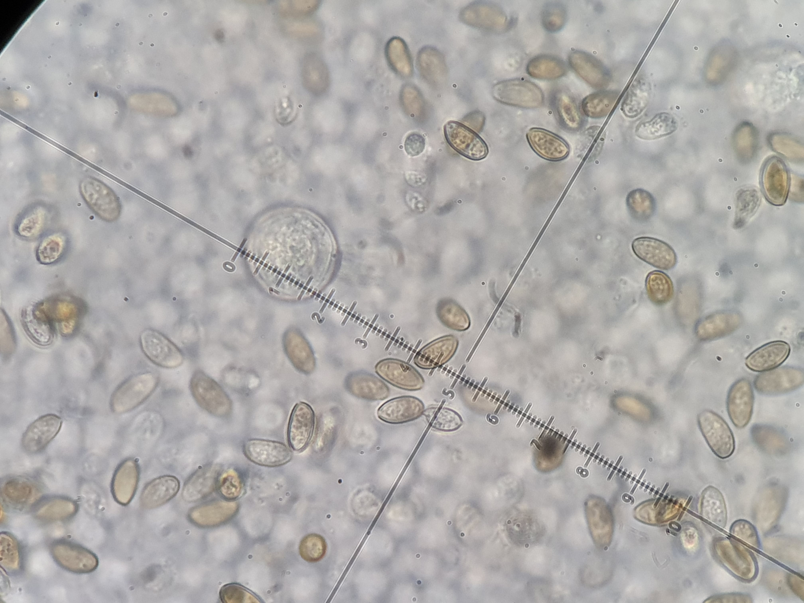
    Sporen passen ebenso. Ellipsoid, dickwandig, 9x5ym mit Keimporus.


    Die Makromerkmale (siehe Bild) passen ebenso.



    Cheilos



    PLEUROS


    PILEOS


    Kaulos


    Sporen


    Beste Grüße

    Sebastian