Hallo zusammen,
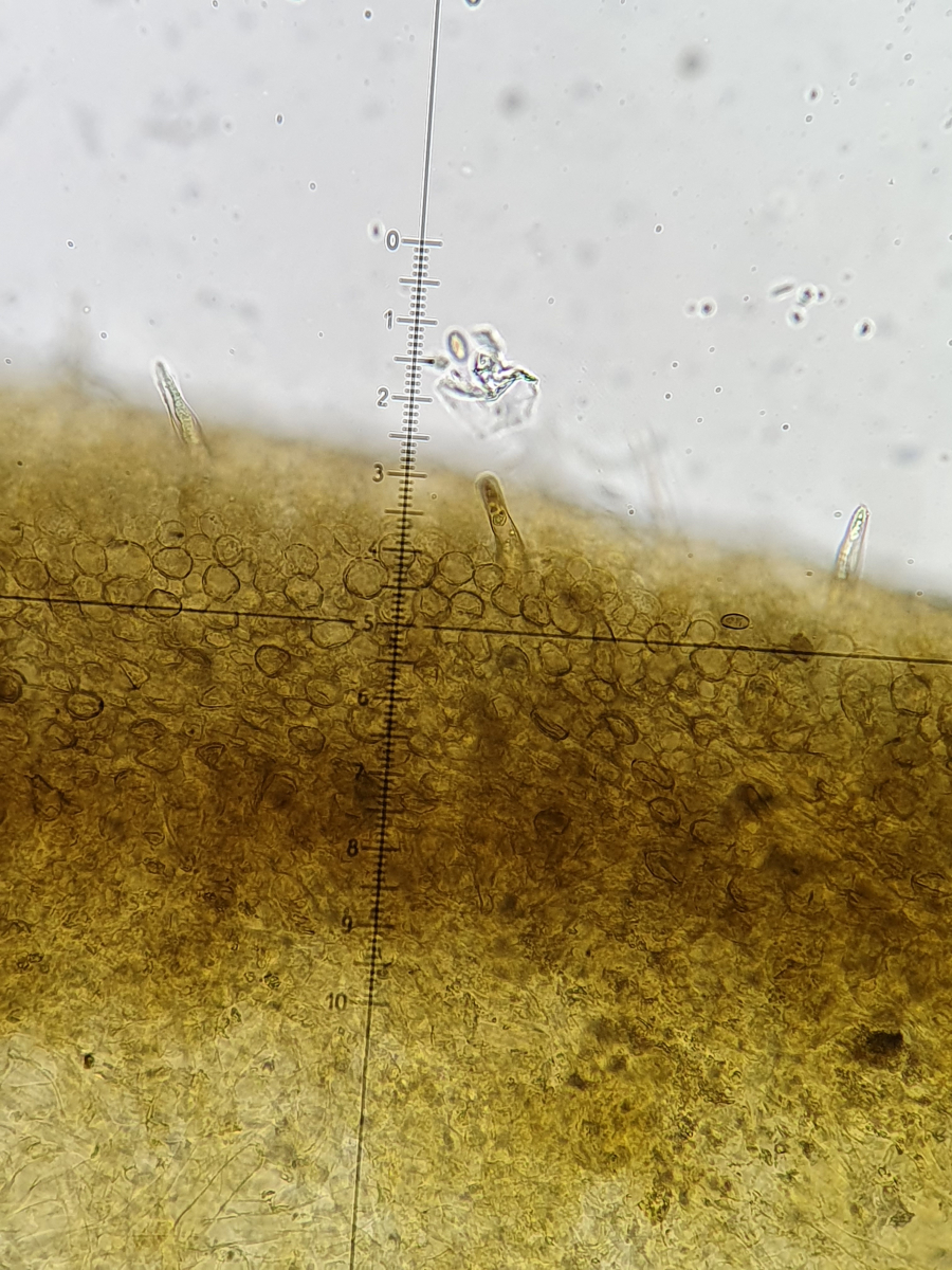
habe heute noch einen spannenden Fund auf Holzhechsel im Garten gemacht. A little brown Mushroom. Aber auffällig, zwei hatten ein Sklerotium. Unterm Mikroskop dann ein wahres "Feuerwerk" an Zystiden. Dichtgedrängte Cheilos lageni- bis subfusiform. Dazwischen immer wieder kugelige mit fingerförmigen Ausstülpungen. Solche finden sich auch als Pleuros und machen den Pilz dingfest: Acrocybe arvalis.
Auch Pileo- und Kaulozystiden waren zahlreich vorhanden.
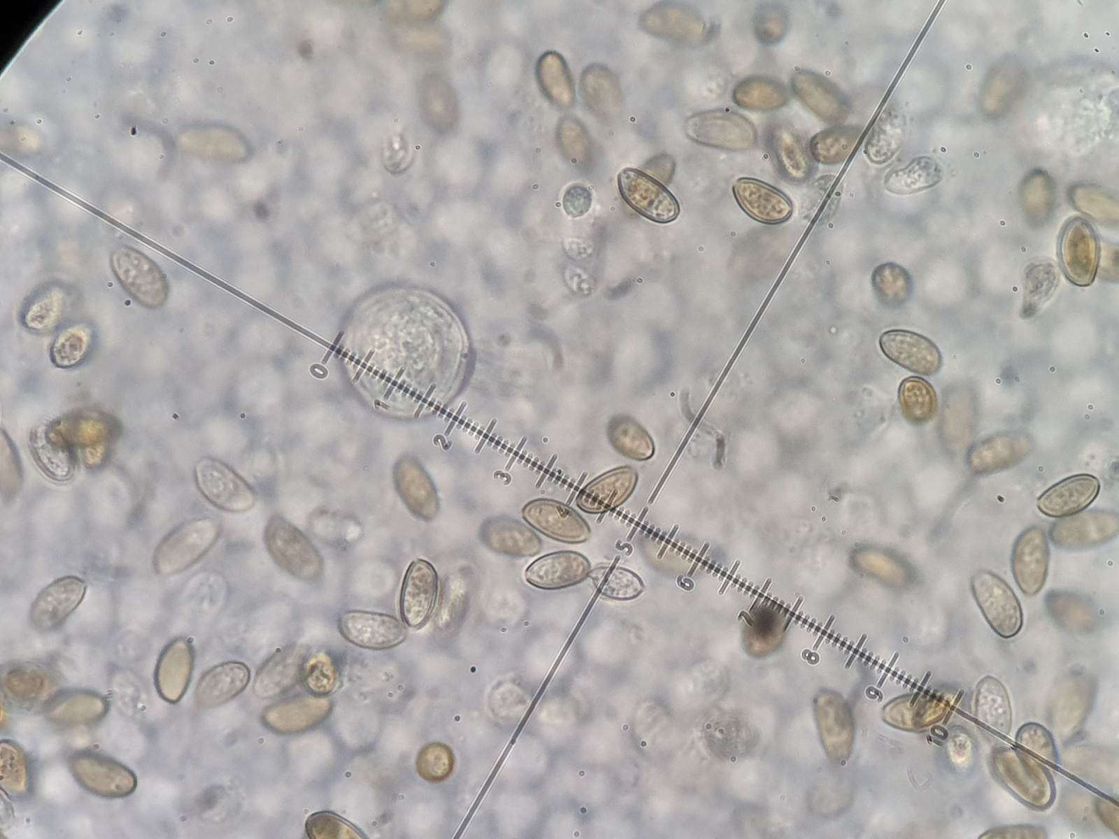
Sporen passen ebenso. Ellipsoid, dickwandig, 9x5ym mit Keimporus.
Die Makromerkmale (siehe Bild) passen ebenso.
Cheilos
PLEUROS
PILEOS
Kaulos
Sporen
Beste Grüße
Sebastian
