Hallo,
ich brauche mal wieder eure Hilfe. Gestern fand ich in einem relativ feuchten Fichtenwald auf ca. 800 m Seehöhe ein schwärzendes Lyophyllum. Der Geruch ist leicht mehlig, es verfärbt von graublau (eher grau) nach schwarz, über Nacht war es dann schwarzbraun.
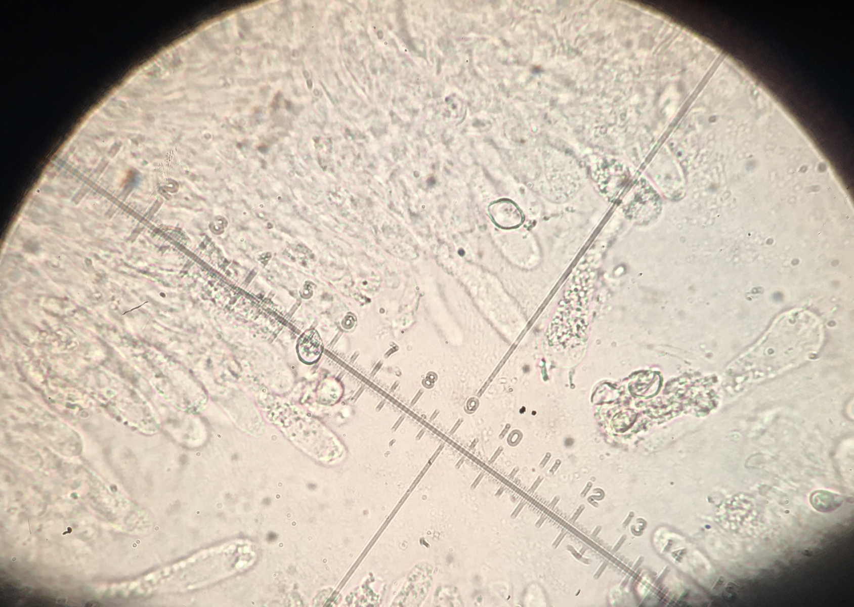
Die Sporen messen 7-10 x 5-6 und ich würde sie als rhomboid bezeichnen, bin mir aber bei der Form unsicher.
Ich habe mit Gröger geschlüsselt und lande bei Lyophyllum deliberatum, aber dafür sind die Sporen etwas zu klein. Die zweite Möglichkeit ist L. semitale.
Was meint ihr dazu?
LG
romana
