Liebe Dungpilzfreunde,
auf Kuhdung (vorjährig) fand ich unter anderem kleine schwarze Kugeln, ziemlich im Substrat eingesenkt. Die Fruchkörper kann ich leider nicht fotografieren, das gibt meine Technik nicht her.
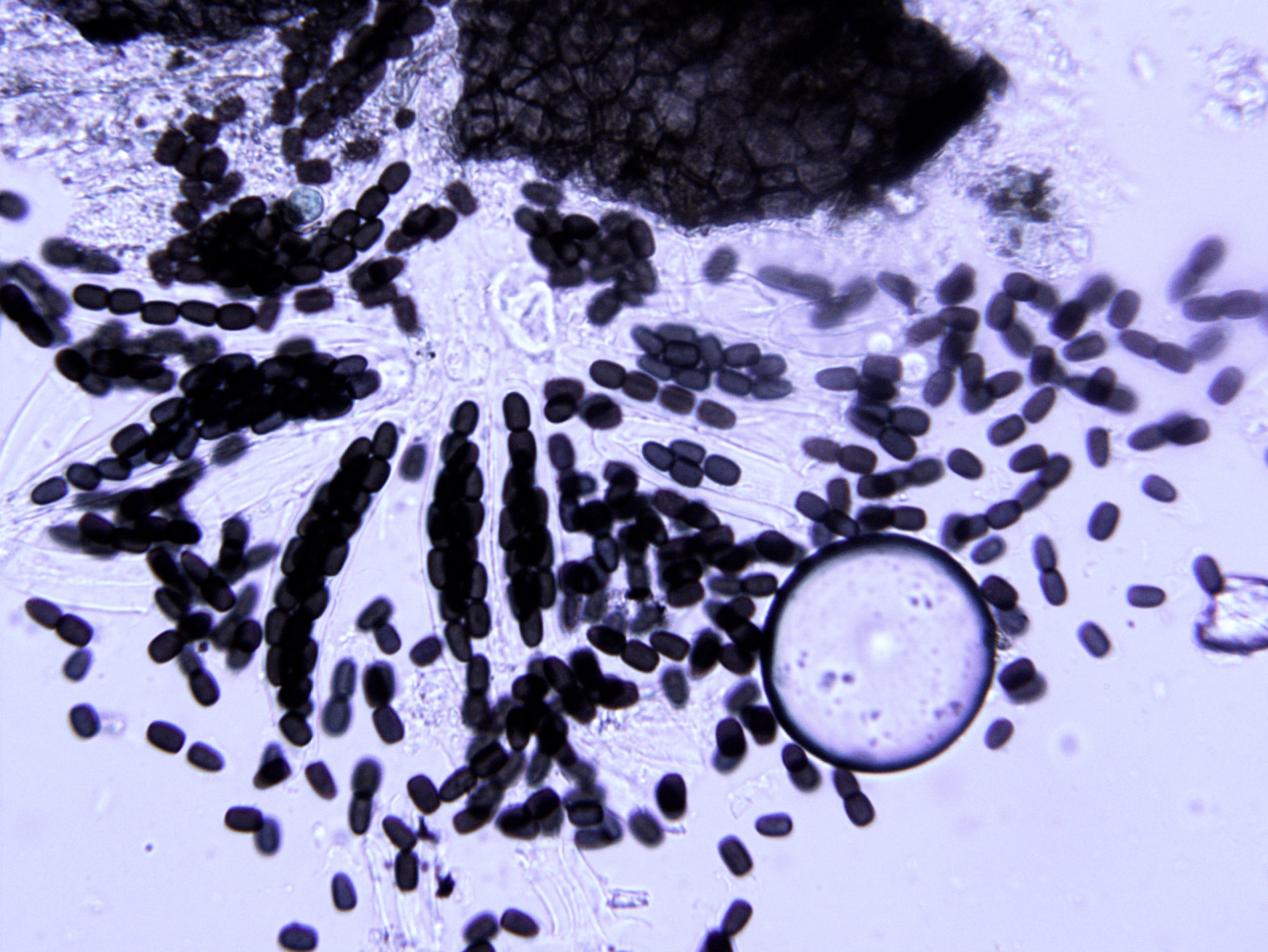
Mikroskopisch sieht das ganze so aus:
Die Farben sind in den Bildern etwas dunkel, das liegt an meiner Kamera. Sporen sind gelblichbraun / oliv.
Maße sind (in µm): 8,13 x 4,12 / 7,63 x 4,95 / 8,42 x 4,42 / 8,27 x 4,18 / 7,75 x 4,65
Wieviele in einem Ascus sind, konnte ich auch nicht feststellen, weil ich nicht weiß, ob das alles einzelne sind oder die Kette zusammen gehören. Ich würde aber doch gern wissen, das eine Sporormiella ist oder etwas anderes.
Viele Grüße
Heidrun

 
		 
		
		
	