Hallo zusammen,
da am letzten Samstag sehr regnerisches Wetter angesagt war, hatte ich für den Tag keine große Tour geplant. Als das Wetter dann aber wieder Erwarten deutlich besser als angesagt war, ging es auf eine kleine Tour in den Duisburger Stadtwald:
1. Phyllactinia guttata ex Corylus avellana
2. Byssomerulius corium
3. Ischnoderma resinosum
4. Amanita pantherina
5. Clitocybe nebularis
6. Russula unter Buche, Geschmack mild, Sporenpulverfarbe IVa, kein besonderer Geruch feststellbar. Mit Eisensulfat schnell rosa, mit Guayak schnell und stark blau. Liege ich da mit Russula curtipes richtig?
7. Amanita muscaria
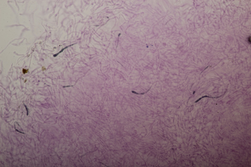
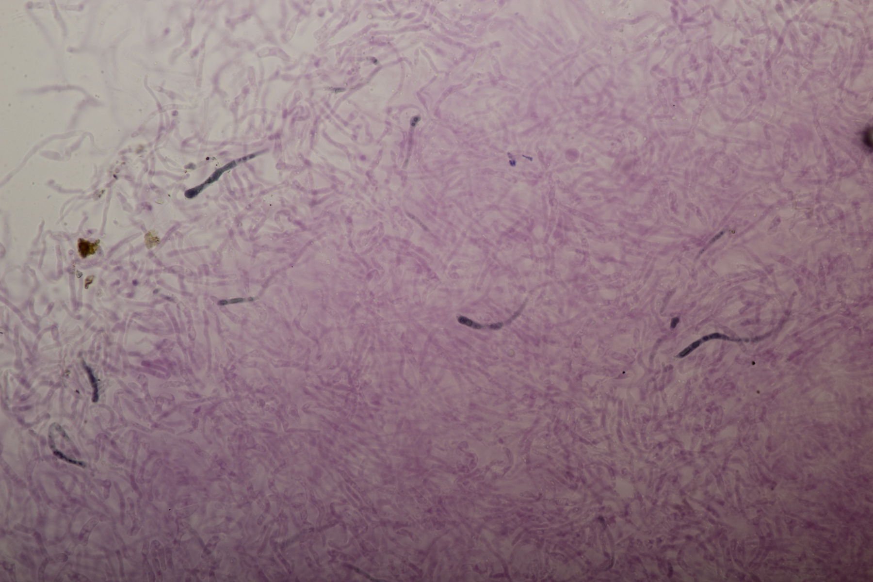
8. Cortinarius sp. unter Buche. Geruch nicht feststellbar. Mit KOH 20% erst gelb verfärbend (sowohl innen als auch außen), nach einiger Zeit dann orange-rot-braun. Mit Ammoniak die gleiche Reaktion. Sporengröße (10.5+-0.5) µm x (5.8+-0.3) µm
9. Amanita citrina
10. Clitocybe odora
11. Cystolepiota bucknallii
12. Lactarius unter Buche. Milch sofort sehr scharf. Lamellen mit Milch teilweise grünlich verfärbend. Liege ich mit Lactarius blennius richtig?
13. Auricularia auricula-judae
Björn
