Servus,
Auf meinem Heimweg lag vor mir ein abgebrochener Hainbuchenzweig- Kurzer Blick- ja, wächst was drauf.
Zu Hause unterm Bino dann dieses Bild:
Auf den Resten eines Pyrenomyceten oder evtl. einer Nectria wachsen braune Keulen
Verteilt auftretende, einzelne oder in Gruppen wachsende apikal verbreiterte, braune "Stäbchen" meist so um 1mm hoch und apikal 0,1-0,2mm breit.
Unterm Mikroskop bei geringer Vergrößerung
Kopfteil x400
Stiel x 1000
Am Halsteil finden sich dunklere rauh-feinwarzige lange Zellen die den Eindruck einer Basidie hinterlassen, da sich an deren Spitzen meist 4 Papillen / Sterigmen? befinden, und hier auch die meisten Sporen zu sehen waren. Direkt an der Spitze der Keule waren die Hyphenzellen apikal abgerundet ohne diese " Sterigmen"
Irgendwie halt ich das also tatsächlich für Basidien!
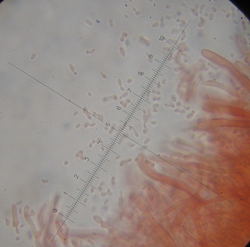
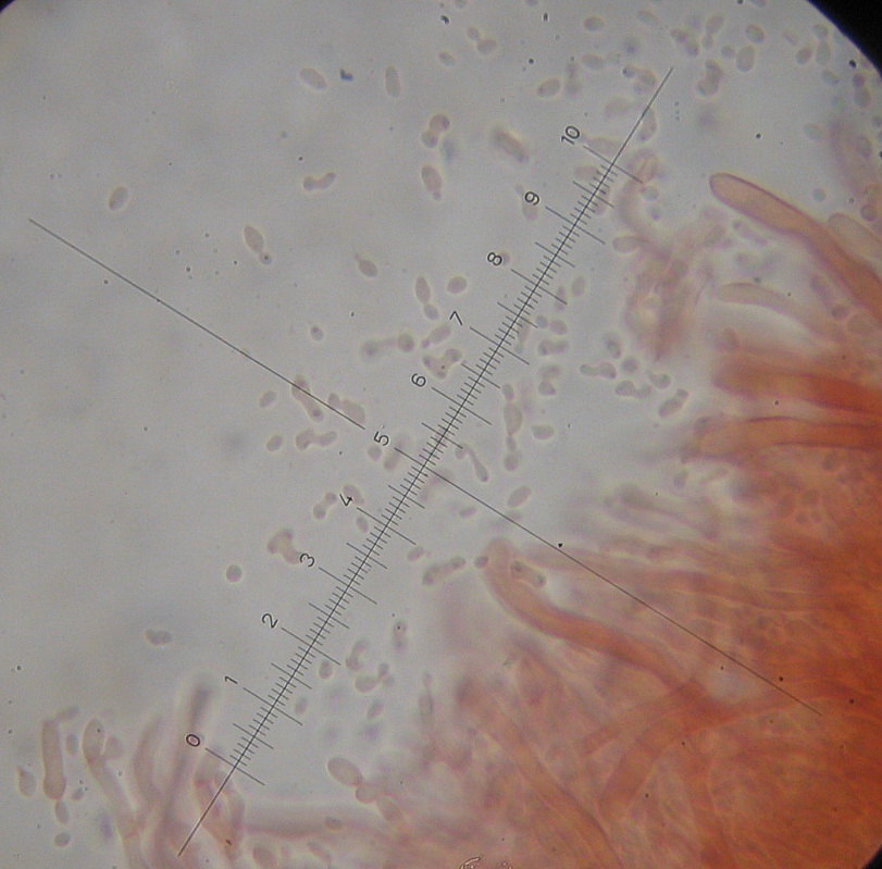
Die Sporen sind sehr unterschiedlich geformt, dickwandig und ebenfalls rau
Basidie cf in Kongorot
Die Hyphen besitzen Schnallen
Und ich hab nicht die geringste Ahnung was das sein könnte!
Einen Ascomyeten schließe ich aus.
Gehört das Teil zu den Basidiomyceten?
Oder interpretiere ich die Zellen falsch und es ist doch ein Hyphomycet?
freu mich auf eine rege Beteiligung bei der Lösung
Grüße
Felli
