Cudoniella - ev. tenuispora? oder ganz was anderes?
- romana
- Erledigt
Es gibt 7 Antworten in diesem Thema, welches 2.569 mal aufgerufen wurde. Der letzte Beitrag () ist von romana.
-
-
Hi,
Wie groß sind denn die Fruchtkörper?
l.g.
Stefan
-
Ca. 5 mm, waren leider nur die beiden. Ich schalte glaub ich mal mein Mikroskop an... Ginge den Cudoniella clavus makroskopisch?
-
-
Liebe romana,
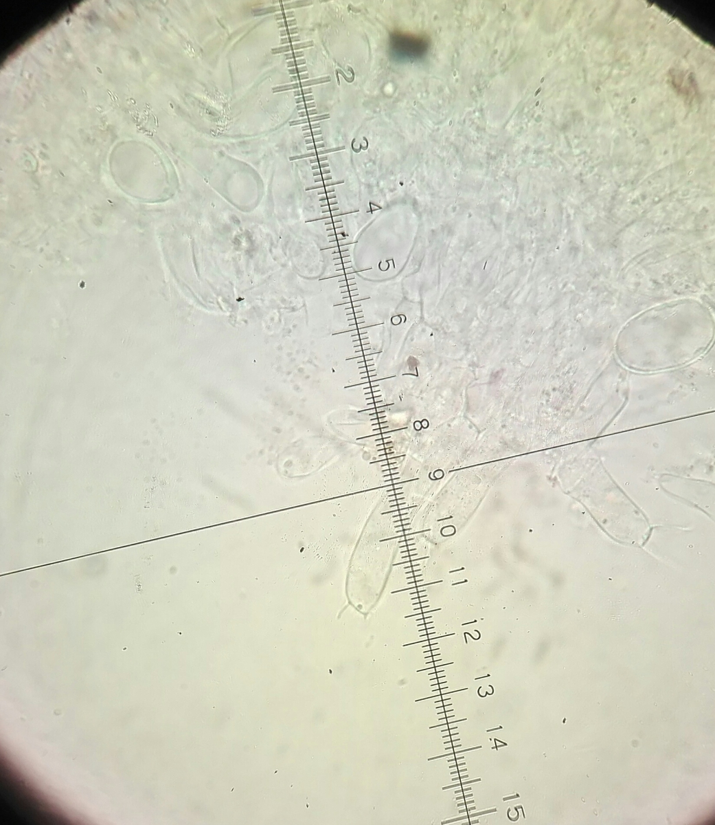
der Pilz kann alles mögliche sein - er sieht für mich völlig unreif aus. Ich vermute, dass du keine Asci gefunden hast?! Das, was aussieht wie Sporen, sieht für mich eher nach Kieselalgen aus. Der Pilz war submers, also unter Wasser?
LG
Christoph
-
romana
Hat den Titel des Themas von „Cudoniella - ev. tenuispora? oder ganz was anderes?“ zu „Cudoniella - ev. tenuispora? oder ganz was anderes? - was ganz anderes...“ geändert. -
Lieber Christoph,
nein, ich hab keine Asci gefunden, dafür aber irgendwas, was wie Basidien aussieht. Ich muss echt noch übern... Das Holzstück lag im Wasser, doch der Pilz war knapp über der Oberfläche. Ich glaub auch, dass der unreif ist.
Du hast recht, das sind Kieselalgen... Hübsch! Aber sie haben mich genarrt...
Hast du schon die neuen Fotos gesehen - ich denke, ich hab welche eingefügt, während du geschrieben hast.
LG
romana
-
Servus romana,
nein, die neuen Fotos hatte ich nicht gesehen
- der Pilz ist wirklich völlig unreif. Insofern kann man bzw. kann ich wirklich nichts dazu sagen.Liebe Grüße,
Christoph
-
Hallo nochmal!
Tja, schade.... aber auch lehrreich. Zumindest weiß ich jetzt, wie ein viel zu junger Pilz im Mikroskop aussieht und auch, dass Kieselalgen ein Ähnlichkeit mit Sporen haben.
Danke dir jedenfalls!
LG
romana
-
romana
Hat den Titel des Themas von „Cudoniella - ev. tenuispora? oder ganz was anderes? - was ganz anderes...“ zu „Cudoniella - ev. tenuispora? oder ganz was anderes?“ geändert.
