Unbekannter Pilz auf Kaninchendung

Es gibt 11 Antworten in diesem Thema, welches 2.788 mal aufgerufen wurde. Der letzte Beitrag () ist von nobi_†.

  • Hallo zusammen


    Angeregt durch Tuppie goes koprophil ?!? habe ich mir vor 2 Tagen Kaninchendung aus dem Wald besorgt.
    Und siehe da, nach 2 Tagen, da wächst etwas 8| .
    Leider ist dieser Pilz wohl noch unreif, aber der wird hoffentlich noch weiter reifen (gibt ja zum Glück mehrere Frk. ;) ).
    Hier sind die Bilder:


    1.


    2.


    3.


    4.


    Reaktion in Lugol
    5.


    6.


    Was das wohl für ein Pilz sein könnte :/


    VG : Thorben

    • Offizieller Beitrag

    Hi,


    ich hab da so ne Ahnung, dass die Sporen bald violett und längsgestreift ornamentiert werden können. ;)


    l.g.
    Stefan

    Risspilz: hui; Rissklettern: bisher pfui; ab nun: na ja mal sehen...


    Derzeit so pilzgeschädigt, das geht auf keine Huthaut. :D


    Meine Antworten hier stellen nur Bestimmungsvorschläge dar. Verzehrsfreigaben gibts nur vom PSV vor Ort.

    • Offizieller Beitrag


    Hallo Thorben,


    das will sicherlich ein Ascobolus werden.


    LG Charlotte


    Hi,


    ich sehe schon, ich bin mit meiner Idee nicht alleine. ;)


    l.g.
    Stefan

  • Hallo zusammen


    Wie ihr schon vermutet habt, ist aus dem Pilz ein Ascobolus sacchariferus geworden.


    7.


    8.


    Jetzt warte ich mal ab und schau was noch auf dem Kaninchendung wächst.


    VG : Thorben

    • Offizieller Beitrag

    Hi,


    ohne jetzt zu pingelig erscheinen zu wollen. :shy: Wie sehen denn die Sporenmaße von dem aus?


    l.g.
    Stefan

  • Hallo Stefan


    Da war ich wohl etwas voreilig mit A. saccharifereus. Ich sehe gerade das Ascobolus albidus auch so aussehen kann :shy:

    Zitat


    Wie sehen denn die Sporenmaße von dem aus?


    Ehrlich gesagt, habe ich die Sporen noch nicht gemessen, aber das mache ich morgen. Dann sind auch noch mehr Frk. reif.


    VG : Thorben

    • Offizieller Beitrag


    Hi,


    genau so siehts aus. Die Sporen von A. sacchariferus sind unter 20 µm; während die von A. albidus deutlich größer als 20 µm sind.


    l.g.
    Stefan

    Risspilz: hui; Rissklettern: bisher pfui; ab nun: na ja mal sehen...


    Derzeit so pilzgeschädigt, das geht auf keine Huthaut. :D


    Meine Antworten hier stellen nur Bestimmungsvorschläge dar. Verzehrsfreigaben gibts nur vom PSV vor Ort.

  • Hallo Thorben,


    ich spekuliere gern etwas mit und denke, dass da albidus rauskommen wird.
    Dazu passt der +/- tonnenförmige Habitus perfekt.
    Ascobolus sacchariferus und der etwas ominöse roseopurpurascens haben deutlich ausgebreitete Apothecien (flach becherförmig) und unterscheiden sich somit bereits makroskopisch von A. albidus.
    Nun bin ich auf die Sporenmaße gespannt.


    LG Nobi

    Hier geht es zu meinen Themen.

    -------------------------------------------------------------------------------------------------------------------------------------------------------------------------------------------------------

    Chips: 72

  • Hallo zusammen


    Zitat von Nobi


    Ich spekuliere gern etwas mit und denke, dass da albidus rauskommen wird.


    Gut spekuliert :) Mit diesen Sporenmaßen sollte es dann Ascobolus albidus sein.


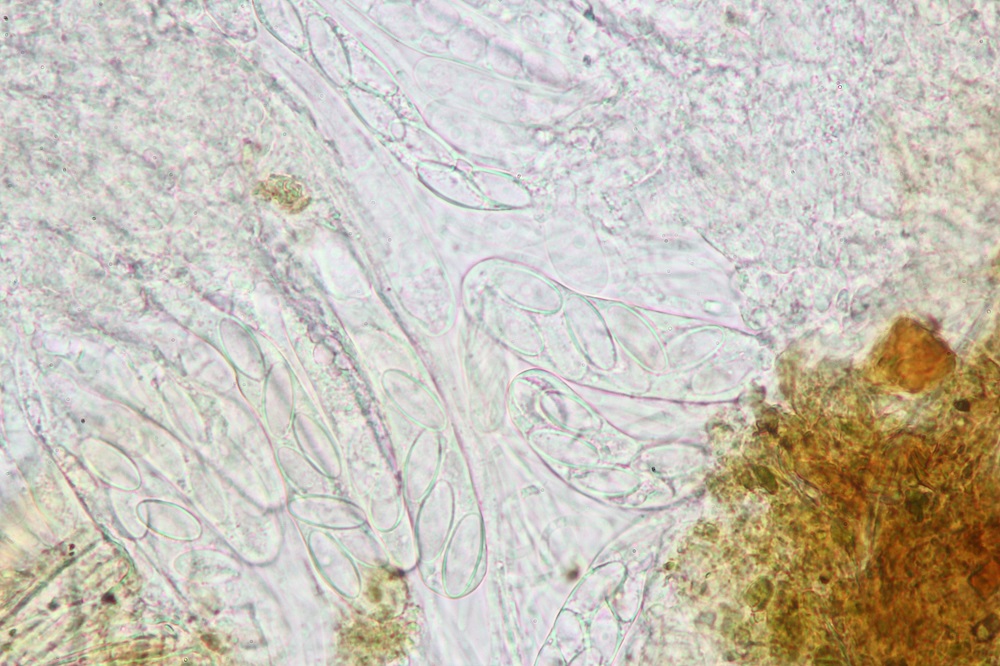
    Sporen mit Gelhülle ?
    9.


    10.


    VG : Thorben

  • Zitat von Nobi


    Ich spekuliere gern etwas mit und denke, dass da albidus rauskommen wird.


    Gut spekuliert :) Mit diesen Sporenmaßen sollte es dann Ascobolus albidus sein.


    :) Ja, das isser dann wohl!
    Typisch auch das Sporenornament.
    Sporen mit wenig anastomisierende Längsrillen neben solchen mit kurzen, nicht verbundenen Rillen (Spore rechts).
    Überhaupt ist das Sporenornament bei Ascobolus albidus sehr variabel.


    LG Nobi

    Hier geht es zu meinen Themen.

    -------------------------------------------------------------------------------------------------------------------------------------------------------------------------------------------------------

    Chips: 72