Hallo Zusammen,
also ich stehe mal wieder völlig auf dem Schlauch. Kann mir jemand weiterhelfen?
Hut: 2,5 - 3,5 cm; hygrophan; trocken;
feucht = hell ockergelb und glatt, trocken = cremefarben und leicht runzelig
Hutrand: jung mir Cortina bis zum Stiel, alt mit Cortinaresten an Hut
Stiel: 5 - 6 x 0,3 - 0,6 cm, weiß-creme, hohl
Lamellen: eng, angeheftet
Schneiden: weiß gezähnelt
Geruch: unbedeutend
Geschmack: mild
Fundort: Baumstumpf (Eiche, Buche, Kiefer, Fichte - alles vorhanden ???)
Wachstum: büschelig
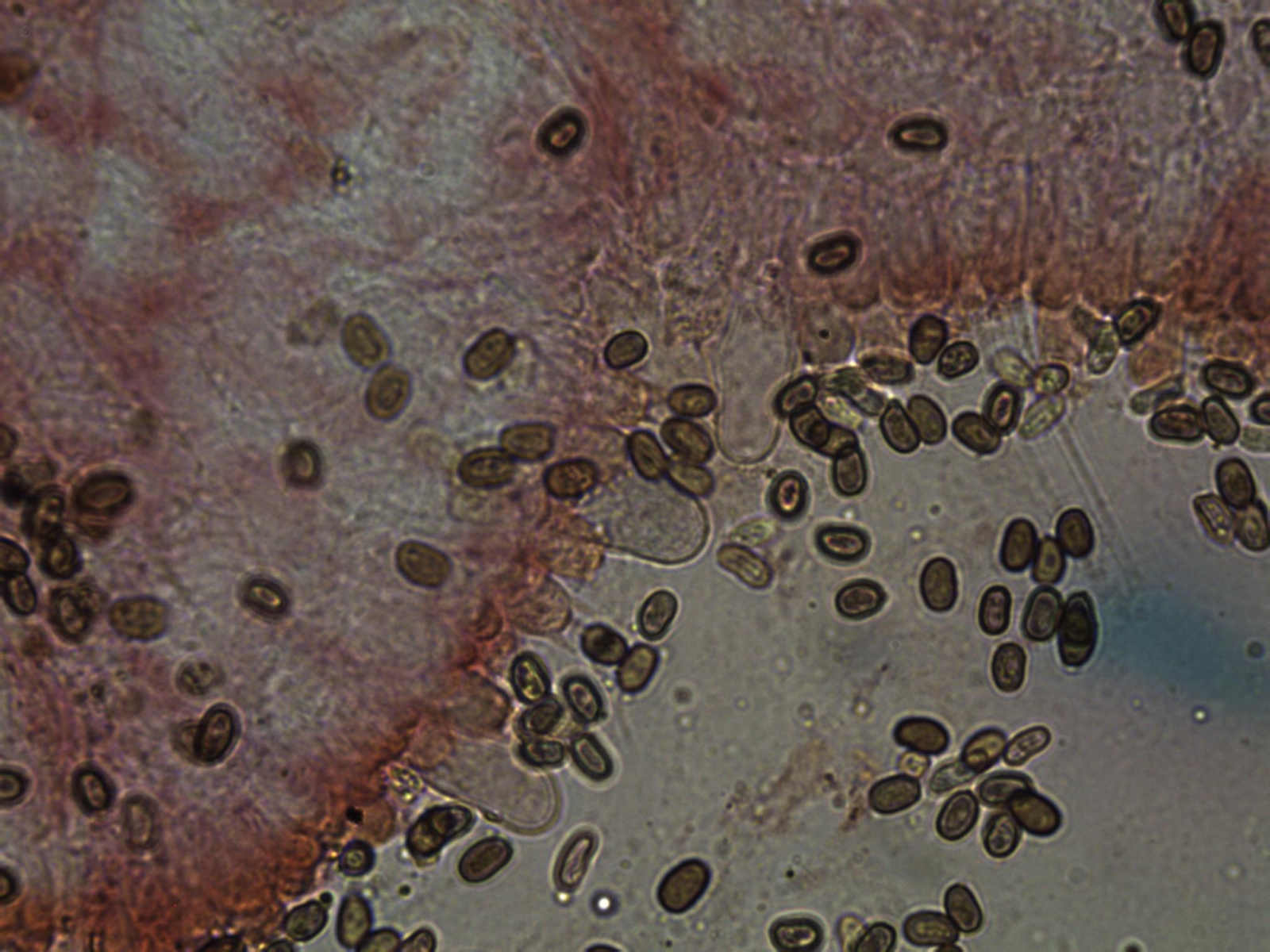
SPP: schokobraun
Sporen: oval - nierenförmig, glatt, dickwandig,
5,5 x 3,7 µm (4,8 - 6,4 x 3,5 - 4,1); Q = 1,5; - 24 Messungen
Basidien: 4 sporig, schlank
Zystiden: kegelig - flaschenförmig oder zylindrisch
40,7 x 13,2 µm (35,6 - 49,4 x 11,9 - 15,9); - 3 Messungen
Gruß Nosozia
