Hallo,
eigentlich hatte ich die Frühjahrs - Pilze schon gestrichen (keine Zeit), da hat mich gestern bei einem kurzen Spaziergang doch noch ein kleiner Becher angesprungen,
so dass hier noch eine Anfrage von einem Asco - und Mikro - Frischling reinkommt.
Der FK war ca. 1 cm groß, nicht gestielt (über Boden - Niveau), wuchs auf feuchter Erde am Ufer eines Sees (Schilfgürtel) am Fuß einer Weide, nicht erkennbar auf Holz, Geruch unauffällig/ angenehm pilzig.
1
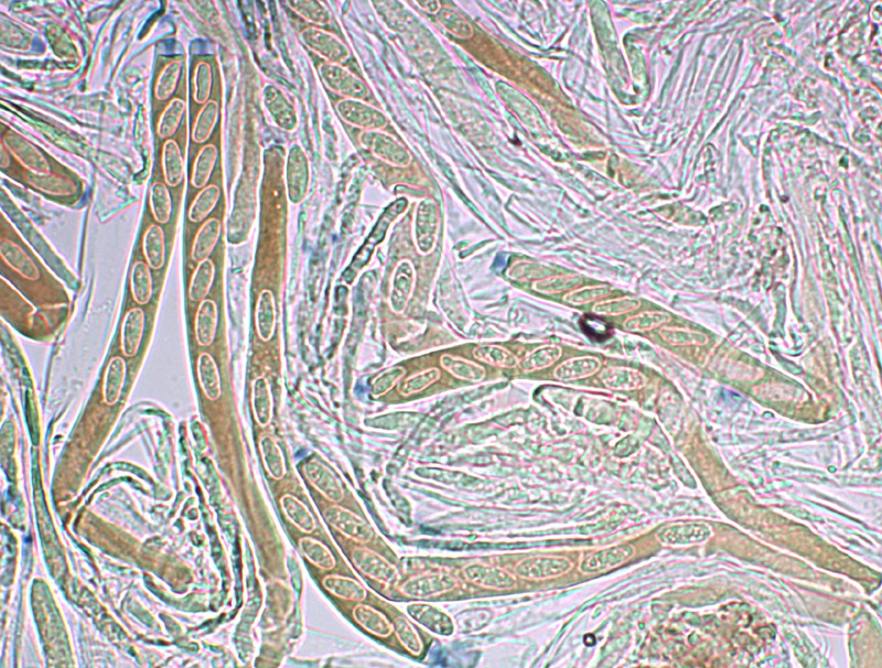
Mikro: Mein erster Ascomycet unter ´m Mikro. Ich hab einfach mal rumprobiert.
2 Übersicht in Kongorot
3 Ascus in Wasser
4 Sporen 12-14x5,8-7,2 µm
5 In Melzer: Ich habe keine Ahnung, wie das unterm Mikro aussehen muss, kenne positive Reaktion (amyloid) bisher nur aus der makroskopischen Bestimmung, wo die Verfärbung des SP
ja ziemlich deutlich ausfällt (hier bin ich mir nicht sicher).
6 In Lugol: Schön auf jeden Fall, wie sich die Deckel auf den Asci darstellen (also operculat, richtig?). Was reagiert denn da mit der Lösung, dass sich die Deckel separat anfärben lassen?
Zu einem Ergebniss bin ich bei der Bestimmung leider nicht gekommen - da kann bestimmt jemand helfen?
Das Mikro wird jetzt eingepackt und dies wird mein letzter Beitrag für die kommenden 6 - 8 Wochen (+) bleiben (das lange rumtrödeln führt jetzt zum erwarteten Umzugsstress), ich schau aber weiter sporadisch rein (solange Internet-Zugang vorhanden), nicht, dass ich noch irgendwelche Verlobungen, Hochzeiten etc. verpasse, oder Massenfunde von Speisemorcheln
.
LG
Andi + Xtra Grüße von Conny
