Inonotus radiatus - Erlen-Schillerporling?

Es gibt 7 Antworten in diesem Thema, welches 4.167 mal aufgerufen wurde. Der letzte Beitrag () ist von Svampskogen.

  • Hallo


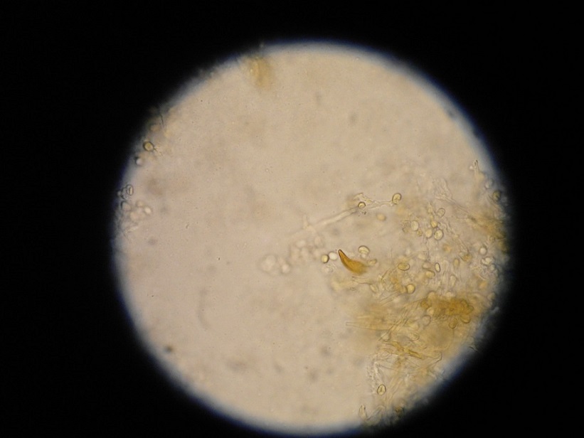
    Ein Porling an Schwarz-Erle, gefunden an einem Seeufer. Ziemlich rasch dachte ich an I. radiatus, was ich mikroskopisch versuchte zu bestätigen. Setae habe ich nur sehr wenige gefunden, viel weniger als bisher bei anderen Schillerporlingen. Diese waren dann meist nur schwach gebogen, keinesfalls so stark wie in Pilze der Schweiz dargestellt. Kann das dennoch I. radiatus sein? Ist es womöglich sogar typisch für diese Art, dass sie nur sehr wenige Setae aufweist? Die Setae messen durchschnittlich 20 x 6 my. Ähnlich stelle ich mir noch Phellinus conchatus vor, der jedoch auf Weidenarten vorkommen soll.
    Freue mich auf Antworten.


    Beste Grüsse Jonas

  • Hallo Jonas,


    Das ist schon der erlenschillerporling, würde ich sagen. Der Phellinus tuberculosus ist eben ein Phellinus, härter und doch noch etwas robuster und weniger freudig braun.


    VG, tanja

  • Hallo Jonas,
    für mich sieht Dein Fund eigentlich nicht so richtig wie Inonotus radiatus aus. Der hat normalerweise nie so stark konsolenförmige Fruchtkörper, ist mehr schmalhütig mit herablaufender Porenschicht. Diese ist m.Erfahrung nach auch nicht so weißlich sondern mehr gelblich und irgendwie schillernd (daher Schillerporling). Ich würde ihn eher in Richtung Ischnoderma resinosum stellen, weiß aber nicht ob der an Erle vorkommt. Daß Du Seten gefunden hast irritiert mich natürlich auch. Vielleicht meldet sich Frank (Tomentella) noch mit seiner Meinung.
    LG Ulla

  • Vielen Dank allen für eure Vorschläge.
    Ja, makroskopisch würde Ischnoderma eigentlich wirklich besser passen. Aber eben, diese Seten (ich habe doch ein Paar gefunden) passen da doch gar nicht ins Bild?! Hat jemand denn schon mal eine Ischnoderma an Erle gefunden? Auf Google habe ich noch ein paar Bilder vom Erlen-Schillerporling entdeckt, die meinen doch recht ähneln würden (also Ischnoderma-ähnlich).


    Beste Grüsse Jonas

    • Offizieller Beitrag

    Hallo, Jonas!


    Ob es bei Ischnoderma auch Seten gibt, wäre ich jetzt überfragt. Aber ich denke mal, du hast das sicher scho recherchiert. :thumbup:
    Ehrlich gesagt, daß einzige, was mich an Inonotus störte, waren die feinen Poren. Aber vielleicht täuscht das ja auch.


    Gefunden habe ich den neulich so:

    Also Inonotus radiatus (Erlen - Schillerporling). Ein wenig älter als deine, aber von der Wuchsweise her sollte es hinkommen. Ich glaube, daß auch Rene (Rübezahl) hier mal Bilder von sehr konsolig wachsenden Exemplaren gezeigt hat.



    LG, pablo.

  • Danke Pablo


    Ja, laut Pilze der Schweiz soll Ischnoderma keine Seten besitzen. Letzte Woche hatte ich auch vermeintliche Erlen-Schillderporlinge auf Erlen gefunden, welche im Gegensatz zu meinem jetzigen Fund jedoch fast steinhart waren und teils weit am Substrat hebablaufend wuchsen. Vielleicht doch eine eher variable Art..


    Beste Grüsse Jonas