Hallo Ingo, hallo Martin,
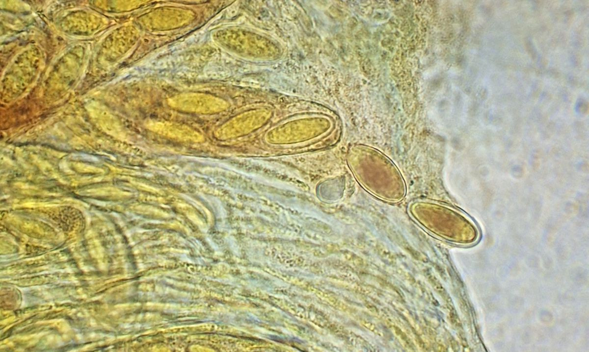
vielen Dank für Eure Meinungen. Also Martin hatte Recht, dass die Lappen ziemlich dünn sind und im feuchten Zustand recht labil sind. Allerdings ist das eine Eigenschaft, die selten quantifiziert wird, nur bei P. malacea, habe ich gestern irgendwo gesehen, stand, dass die ziemlich kräftig, um 1,5 mm dick, sein soll. Das trifft hier nicht zu. allerdings meint die hiesige Literatur (1998), dass P. malacea zu den häufigeren Arten zählen soll. Ob das so noch Bestand hat, bin ich mir nicht sicher, da um diese Zeit viele Daten noch standorttreu(Sitz von Instituten, Museen, Erreichbarkeit mit öffentlichen Verkehrsmitteln) erfasst wurden und vielfach nur den Großraum Vilnius widerspiegeln.
Also eher nicht P. malacea, womit neckeri und hymenina überbleiben, oder irgendwelche neo-Abspaltungen. Im trockenen Zustand, noch keine Fotos, die gibts morgen bei Tageslicht, kann ich keine Behaarung an dem Lappen erkennen.
Gestern waren die Arten in unterschiedlicher Farbe aufgrund unterschiedlichem Feuchtigkeitsgehalt anzutreffen, weswegen sie mir aufgefallen war. Heute, nach Regen, ist sie ähnlich grün wie rufescens rechts. Dass die gesuchte Art gestern grüner als rufescens und damit wohl feuchter war, würde ich in der größeren Kapazität für Wasseraufnahme sehen (was ja experimentell zu be- oder widerlegen wäre, also jedenfalls die Trocknungsdauer nach Vollbad). Das ist von Nr. 1.

Die Fotos bringen erstmal keine neuen Erkenntnisse, also jedenfalls für mich.


Es ist definitv so, dass auf es auf meinen Wiesen, und mehr noch auf den Weiden, mehr Peltigeras werden. Die Beweidung mit Schafen scheint dem sehr zuträglich zu sein, gerade magere Stellen mögen die und knabbern die dort vorhandenen dünnen Kräuter ab (außer so aromatisches Zeug wie Thymian, Dost, Sandstrohblume oder Golddistel), sodass offener Boden bestehen bleibt (mal abgesehen davon, dass der kalkhaltige magere Boden wohl beste Voraussetzungen bietet). Auch die gelegentliche Mahd mit Trommelmäher, der auf dem Boden geschleift wird und deswegen oft als suboptimal bzgl. Tierbestand angesehen wird, gegenüber einem Balkenmäher, scheint nicht zu schaden. Also den Flechten sicher nicht und dem Insektenbestand auch nicht. Zudem ist gerade dieser Bereich etwas höher gelegen (was man hier so Hügel nennt) und in Hauptwindrichtung offen - da das vor 35 Jahren noch Acker war, müssen die ganzen Flechten ja irgendwoher gekommen sein.
Hier auf Peltigera ein Laufkäfer, Bembidion cf. quadrimaculatum, ca. 4-5 mm groß

LG, Bernd