Hallo zusammen,
anbei präsentiere ich eine weitere Russula, deren Bestimmung mir leider nach wie vor sehr schwer fällt. Obgleich ich mittlerweile die CD von Marxmüller mit dem Schlüssel von Bresinsky vorliegen habe, tue ich mich sehr schwer. Hier die Details:
Russula mit leuchtend rötlich-orangenen Farben, in der Hutmitte dunkler (Richtung purpur?). Stiel fest, weiß, nach oben verjüngend. Lamellen eng gegabelt, cremefarben (Leider die Bilder aus dem Feld, verwackelt, habe Sie wegen der Farben dennoch mal angehangen).
Reaktion auf Guajak nur langsam, dann typisch blaugrün; Eisensulfat orange-bräunlich (ist auch nicht mehr das frischeste Eisensulfat). Huthaut zu etwa 1/3 abziehbar.
Geschmack erst nach längerem Kauen leicht schärflich, aber schon deutlich wahrnehmbar.
Sporenpulver würde ich 1b zuordnen (max. 2a, eher aber 1b), leider immer schwierig das aufs Bild zu transportieren.
Vorkommen: Bei Buchen, Wegrand im Wald, bekannt für sehr kalkhaltigen Boden.
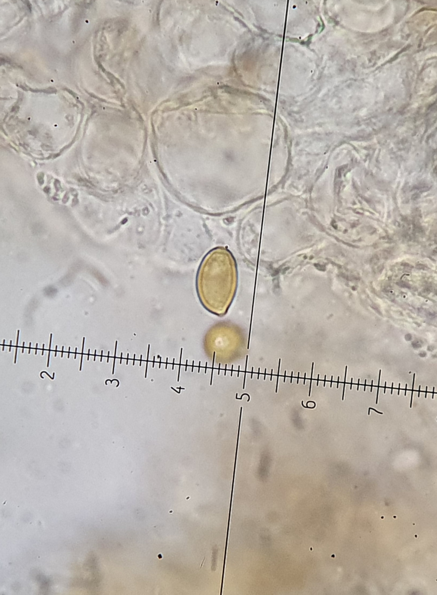
Mikromerkmale: Sporen amyloid, 7(8)x8(7) µm mit zahlreichen Verbindungslinien.
HDS (tja, da waren Sie wieder, meine Probleme), ich meine Haare erkannt zu haben (siehe Bilder, leider nicht schärfer), in SV zeigen sich Zystiden, eine deutliche Schwarzfärbung sehe ich jetzt nicht, die Zystiden heben sich aber deutlich ab, keulig und mit Inhalt. Sind das dann Pileozystiden? Ich bin nach wie vor unsicher.
Tja, nach dem Schlüssel von Bresinsky bin ich Richtung R.aquosus: Standort passt nicht; R. atropurpurea: Sporenpulverfarbe und Farben passen auch nicht ganz; R.artrorubens: Farben zu hell, deutlich Scharf, passt auch nicht), in der Sektion „„Emeticinae““ hatte ich mich noch umgeschaut, da will aber so recht auch nix passen, zumindest springt nichts ins Auge.
Auf eure Einschätzungen freue ich mich,
Beste Grüße Sebastian