Ich kann Schimmelbestimmung nicht ![]()
Beiträge von Hagen Graebner
-
-
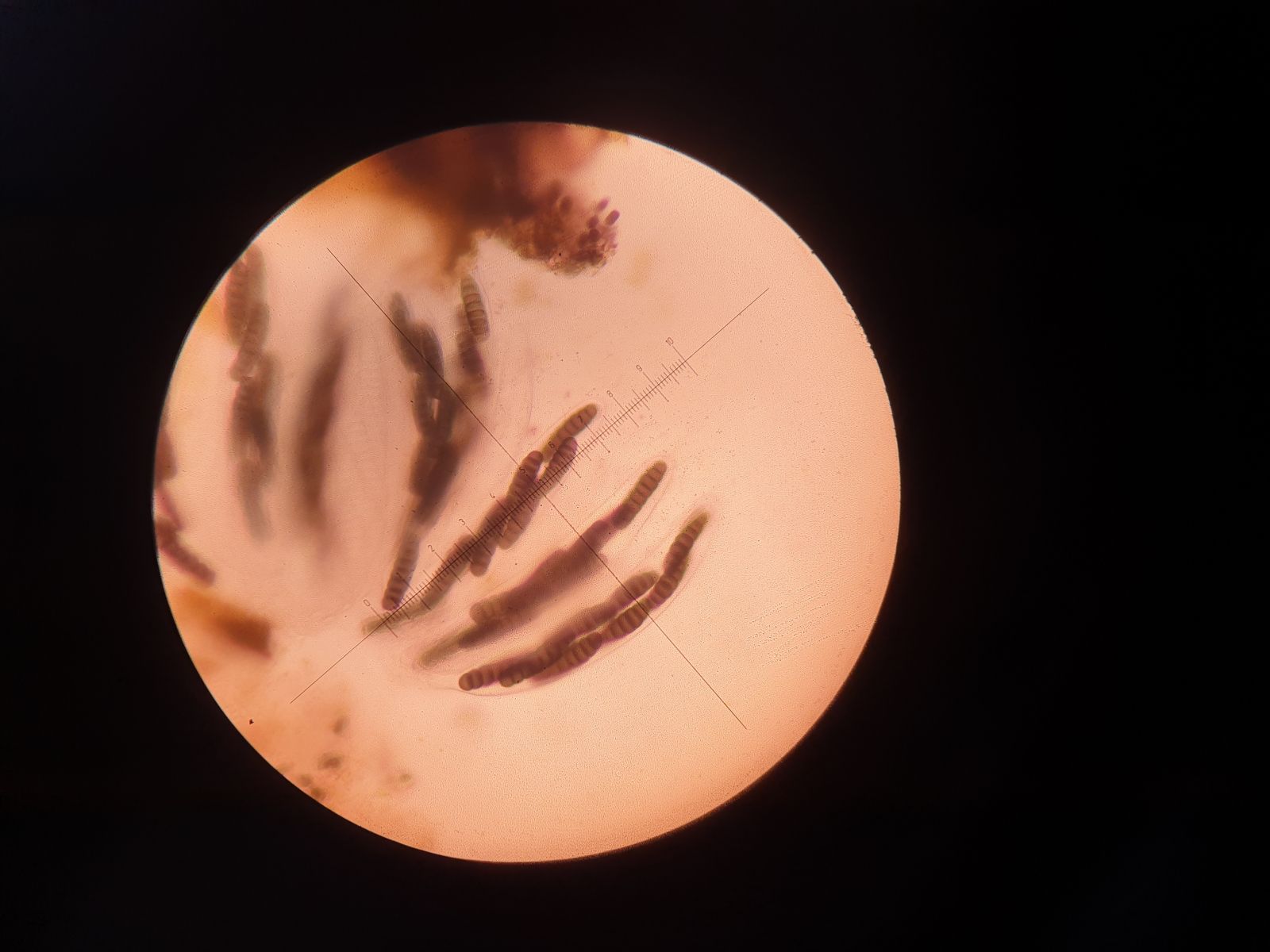
Die Fremdspore ist interessant.
Aufgrund der Größe im Vergleich zu den Clustern sowie Anzahl und Form der Zellen ist das ziemlich sicher Sporormiella octonalis.
Vielleicht entdeckst Du ja noch ein paar schwarze Pünktchen auf dem Substrat und mit etwas Glück ist dann diese Sporormiella dabei.
Ich hab noch mal gesucht und konnte in der Tat kleine Pyrenos finden, die dann die vorhergesagt Sporormiella octonalis waren.

-
Hallo zusammen,
Ein Kollege fragte mich gerade nach Schimmelbestimmung (in der Wohnung) für ein studentischen Budget im Raum Mainz. Hat da jemand eine Idee?
Gruß
Hagen
-
zu den Cracks gehöre ich zwar nicht,
Na Andreas - jetzt stellst Du Dein Licht aber arg unter den Scheffel, Du hast wahrscheinlich schon mehr über Pilze wieder vergessen als viele von uns gelernt haben ...
-
Danke Euch ! War das erste Mal, dass ich die Gelegenheit hatte, in unsrem eigenen Wald was einzusammeln, ich behalte das im Auge. Sporormiellas finde ich schwierig zu entdecken.
-
-
Interessanterweise gabs keinen weiteren Beifang, eine Kolonie überwächst jetzt mit irgendwelchem schleimigen Zeugs. Wie gesagt, ein Scheibchen blieb komplett unbefallen bis jetzt.
-
Rotrandiger Baumschwamm wäre mein Tipp.
-
Ich hab auf dem Hauskaninchen noch mal Cephalotrichiums gesehen, da hat man schon im Bino am Stiel so schwarzes Zeugs erahnen können. Und siehe da, das war die zweite Sporenform, die im kleinen Ellis & Ellis und im Atlas of Hyphomycetes abgebildet und beschrieben sind, aber bei Björn nicht drin sind. Leider hab ich mich beim Präparieren bissel dappisch angestellt, direkt an der Kante vom Deckglas, da konnte ich nicht in Öl gehen. :-(. aber es kommen noch paar, dann probier ich es Wochenende noch mal.
-
Hab mir die Kolonien auf den Karottenscheibchen alle noch mal einzeln angeschaut, und siehe da - in einem schwarzen Fleck war auch brasicola mit dabei . Eine Scheibe ist übrigens bis jetzt noch komplett frisch, also geh ich davon aus, dass die Pilze wirklich aus dem Boden kommen.
-
Sorry, hatte Deine Frage übersehen, meine feuchten Kammern stehen bei Raumtemperatur (also Zimmer wird nicht geheizt, dürfte so knapp unter 20 °C haben. Und auf einem Teewägelchen, hell, so halben Meter vom Fenster.
-
was hast du denn für eine Rasse würde mich interessieren
Jetzt ist es "nur noch" Pfannenrasse, auch immer nur noch 5 oder 6 Stück, was meine Mutter halt noch so schafft. Früher hatte ich mal Kalifornier. Rochlitzer Meister 1997

-
Danke ! Makroskopisch sahen sie wie kleine Versionen von immersus aus, mit weit rausstehenden Asci, fotografieren war schlecht zu machen. Also mit der Untergattung war ich mir ziemlich sicher. Ich glaube, da ist nix mehr drauf, musste ziemlich Fadenzeugs wegmachen, um ranzukommen. Ich hab aber noch was, das wollte ich zum Kurs bei Björn ansetzen. Ist auch das erste Mal, dass auf dem Stallhase was kommt und die nicht komplett mit Mucuszeugs zuwachsen. Gibt dann im MTB 5244 4 Ascobolüsse.

-
Auf erzgebirgischem Stallhase hatte ich bisher nie Glück, diese Probe bringt jetzt schon den dritten Ascobolus - brassicae und albidus ließen sich ja gut erkennen - hier schwanke ich zwischen mancus und elegans, die Sporen sind 23-25 µm lang, also für mancus am oberen Ende bis leicht drüber was Doveri & van Brummelen schreiben, für elegans eher am unteren Ende. Hat jemand eine Idee? (der Spender der Proben liegt in der Kühltruhe, die Lerpel hab ich eingesammelt, als ich ausgemistet habe :-))
-
Uns drängelt ja nichts. Ich hatte während meines persönlichen Lockdowns im Sommer auch mal eine Artenliste aus verfügbarer Literatur angefangen, die werde ich mal weitermachen. Ich hab auch noch drei Tütchen, die wollte ich zum Kurs bei Björn ansetzen.
-
Wenn man überlegt, dass die Köttel mindesten 14 Monate alt sind und ich die wirklich knochentrocken eingesammelt habe. Wasser drauf und es blüht. Und vor allem, wie kommen die Sporen in die Giraffe? Die fressen ja ganz oben. Wasserloch? Ich glaube, Paul Mungai diskutiert das auch in seinen Veröffentlichungen aus Kenia, der hatte auch überraschend viel an Giraffe.
-
Danke - dann muss ich mich mal umschauen, Die Oberfläche der Sporen kommt in der Kombination Windaus-Mikroskop & Samsung S4 vielleicht nicht immer gut rüber. Björn gab Sporenmaße von 5-8 µm in der Länge an.
-
-
In einer meiner feuchten Kammern kommt neben der Kaninchenkacke dieser hübsche Myxomycet. Sporen bräunlich, feinwarzig und etwa 11 µm Durchmesser. Kann man dem einen Namen geben?
-
-
Komisch. ich seh die.
-
-
Ich habe nach meiner letzten Versuch mit Thielaviopsis auf Karotten mal die von Yarwood 1945 veröffentlichte Methode ausprobiert, mit Hilfe von Karottenscheiben Thielaviopsis aus Boden zu isolieren. Anstelle von Petrischalen, die ich zu Hause nicht habe, hab ich die schachteln von Ferrero-Roche verwendet, die sind perfekt für feuchte Kammer. Der ganze Versuch hat ca. 1 Woche gedauert. Letzten Samstag hab ich die Karottenscheiben mit frischer Erde aus einem meiner Tomatenkübel übersiebt (Kompost, 2 Sommer in dem Kübel als Pflanzerde), Dienstag die Scheiben rausgeholt, vorsichtig abgespült (handwarmes Leitungswasser) und über feuchtes Küchenpapier in die feuchte Kammer gepackt, dabei drauf geachtet, dass die mit Erde in Kontakt gekommene Fläche wieder oben war. Ab Donnerstag erschienen die ersten Kolonien, seit gestern wurden sie dunkel und haben die Dauersporen gebildet. alle drei Kolonien, die ich untersucht habe sind Th. thielaviopsidis. Da die Karotte frisch war und die Kolonien auf den Schnittflächen erscheinen, glaube ich, dass die wirklich aus der Erde kamen. Interessant fand ich, dass die Schnittflächen beim Rausholen und danach ziemlich trocken wirkten, sich jetzt auf den Kolonien aber deutlich Wassertropfen sammeln.
pilzforum.eu/attachment/357773/pilzforum.eu/attachment/357774/pilzforum.eu/attachment/357775/pilzforum.eu/attachment/357776/pilzforum.eu/attachment/357777/pilzforum.eu/attachment/357778/pilzforum.eu/attachment/357779/pilzforum.eu/attachment/357780/pilzforum.eu/attachment/357782/pilzforum.eu/attachment/357783/pilzforum.eu/attachment/357784/pilzforum.eu/attachment/357785/pilzforum.eu/attachment/357786/pilzforum.eu/attachment/357787/pilzforum.eu/attachment/357788/
-
Ich nehme als Feuchte Kammern die Döschen von den Ferrero-Rocher. Finde die sind perfekt.
-
Das ist relativ normal, das Ascosporen in Baumwollblau-Milchsäure kollabieren.
Das ist Osmose.
