Beiträge von Hagen Graebner
-
-
Das ganze Hyphenomycetenzeugs ist mir noch ein Buch mit 7 Siegeln, genauso wie die kleinen Tintlinge.
-
Das gibt mir doch eine Richtung. Danke. Konidien kann ich ja noch mal messen, sind noch welche drauf. Nematoden hab ich in fast allen Ansätzen, teil wimmelt es schon makroskopisch. Aber ich hielt das eher für sowas wie eine Fußzelle.
-
Hat jemand eine Idee, was diese hübschen kleinen Dinger auf Reh sein könnten?
-
-
War das jetzt ein neuer Fundpunkt?
-
Hasenartige auf trockenen und sandigen Böden .... ich muss suchen gehen ...
-
Auf vergammelter Möhre: Thielaviopsis thielavioides mit Chlamydosporen und Konidien. Literatur: Literatur dazu: Moulds that should be better known: Thielaviopsis basicola und T,thilavioides:, two ubiquitous moulds on carrots sold in shops, Roland W.S. Weber; Henry T. Tribe, Mycologist, 18/Part1, 2004.
-
-
Ich hab sie mir noch mal vorgenommen, teils wurden jetzt doch Asci blauund mit Melzer erschien eine eher rauhe Oberfläche. Recht helle Iodophanus sind denkbar.
-
In der Literatur gibt es hier eine Übersicht über Losungen. Das mit der variablen Form hab ich schon bei Rindern festgestellt, aud Madeira machen freilaufende Kühe mitnichten die typischen Fladen, sondern relativen festen, strukturierten Dung.
-
Hast Du schon mal dran gedacht, was in die feuchte Kammer zu packen?
-
Sieht mir nicht nach Wildschwein aus, irgendeine Cervide? in Litauen habt Ihr doch auch Elche ...
-
Klasse Sachen - er hatte Teile davon auch bei FB gezeigt.
-
Auch wüsste ich kaum Beispiele für Arten, die nur auf einer bestimmten Tierart/-gattung vorkommen würden
Es gibt das schon - zumindest Bevorzugung - auch bei den heimischen Arten, Arten, die man zumindest bevorzugt auf Hasenartigen, Rindern, Cerviden, Pferden findet - oder dieals selten gelten, weil sich den Shit des Hauptwirtes keiner anschaut (zu selten, zu eklig ...)
-
Viele Copros sind weltweit verbreitet (so man das weiß), es gibt eher Arten für warme Regionen und Arten für kühlere. Aber da können noch Generationen von Irren wie wir dran arbeiten. Die Verbreitungskarten sind ja eher Bewegungsprofile von Leuten, die sich damit beschäftigen. Die Sporen müssen mit dem Futter aufgenommen werden, deshalb sind Haufen von Tieren, die mit verarbeitetem Futter ernährt werden, uninteressant. Das mit in trockeneren Gebieten mehr, meine ich auch mal irgendwo gelesen zu haben, es wurde wohl auf geringere Konkurrenz durch andere Organismengruppen erklärt. Von daher würde ich auf hessischem (Opelzoo) Elefant mit Heu von hessischen Wiesen nix speziell afrikanisches vermuten. Was natürlich nicht heißt, dass es nicht artspezifische Unterschiede gibt, was dann, wie schon geschrieben, mit der unterschiedlichen Verdauung zusammenhängen könnte.
-
Behandelt macht natürlich null Sinn. Und auf Prager Elefant werden auch nur tschechische Pilze kommen, der kriegt ja nur Heu von tschechischen Wiesen. War heute "nur mal kurz" im feld und hab 7 Döschen Reh & Kaninchen stehen. Zusätzlich zu 2 x Bullshit. Und morgen noch mal auf eine andre Wiese, auf der auch immer Rehe sind.
-
ShitForYou – Scheiße schenken, Elefantenscheiße im Box ich bin ja geneigt, mich selbst zu beschenken....
-
Sorry Eike, ich vergaß was wichtiges: die Asci werden mit Melzer nicht blau, nur braun. Und die Sporen sind wirklich glatt.
-
Gibt's auch Coprophile Pilze "auf Homo sapiens"?
Ja klar - ich zitiere die Fundberichte meines lieben Nachbarn Leopold Fuckel:
P(ilobolus). oedipus Mont. Mem. Soc. Lin. de Lyon. 1826. P. 1. C. ic. - Coa
mans Monogr. d. gen. Pil. p. 59. C. ic. - Hydroghora vexans Awd. in Collect.
- F. rh. 2204. - Auf faulem Menschenkoth nach regnerischem Wetter unter
Weidengebüsch, im Anbau des Rheinufers bei Oestrich, selten, im Herbst.75. H Y d r o p h o r a (Tode Meckl. 2. p. 5.) de Bary 1. C.
1. H. stercorea Tod. Meckl. 11. p. 6. - F. rh. 51. - An faulem Menschenkoth, nicht häufig, im Herbst.H(ydrocopa). humana t. - F. rh. 1801 (unter Sphaeria h. t.) - Peritheciis
confertis , tectis sub crusta rugulo~~ , globosis , opaco-nigris , ostiolo emerso, cylindraceo, vel perparum conico, recto, nitido; ascis cylindraceis, stipitatis, 8sporis;
sporidiis monostichis , subglobosis , vel globoso-ovatis , 20 --24 Nik. long. , 16- 18
Mik. crass., atro-fiiscis.
An faulem Menschenkoth, selten, im Herbst. Um Oestrich.P(yronema) subhirsutum (Schurn.) t. - Peziza subhirsuta Schum. Saell. p. 433.
- F. rh. 1220. - Ascis longissimis, cylindraceis, 8sporis, 118 Mik. long. @ars
sporifer.), 12 Mik. crass. ; sporidiis in asci superiori parte monostichis , ovatis,
utrinque obtusiu, nucleo granuloso, 14 Mik. long., 8 Mik. lat., hyalinis.
An faulendem Mist, fauler Weinhefe und Menschenkoth , nicht häufig, im
Frühling. Um Oestrich. -
Ich fand die glatt, aber ich schau sie mir noch mal an.
-
Du machst die??!?
Na ja - ich kack nicht selber in die Schachteln.....
-
Hallo zusammen,
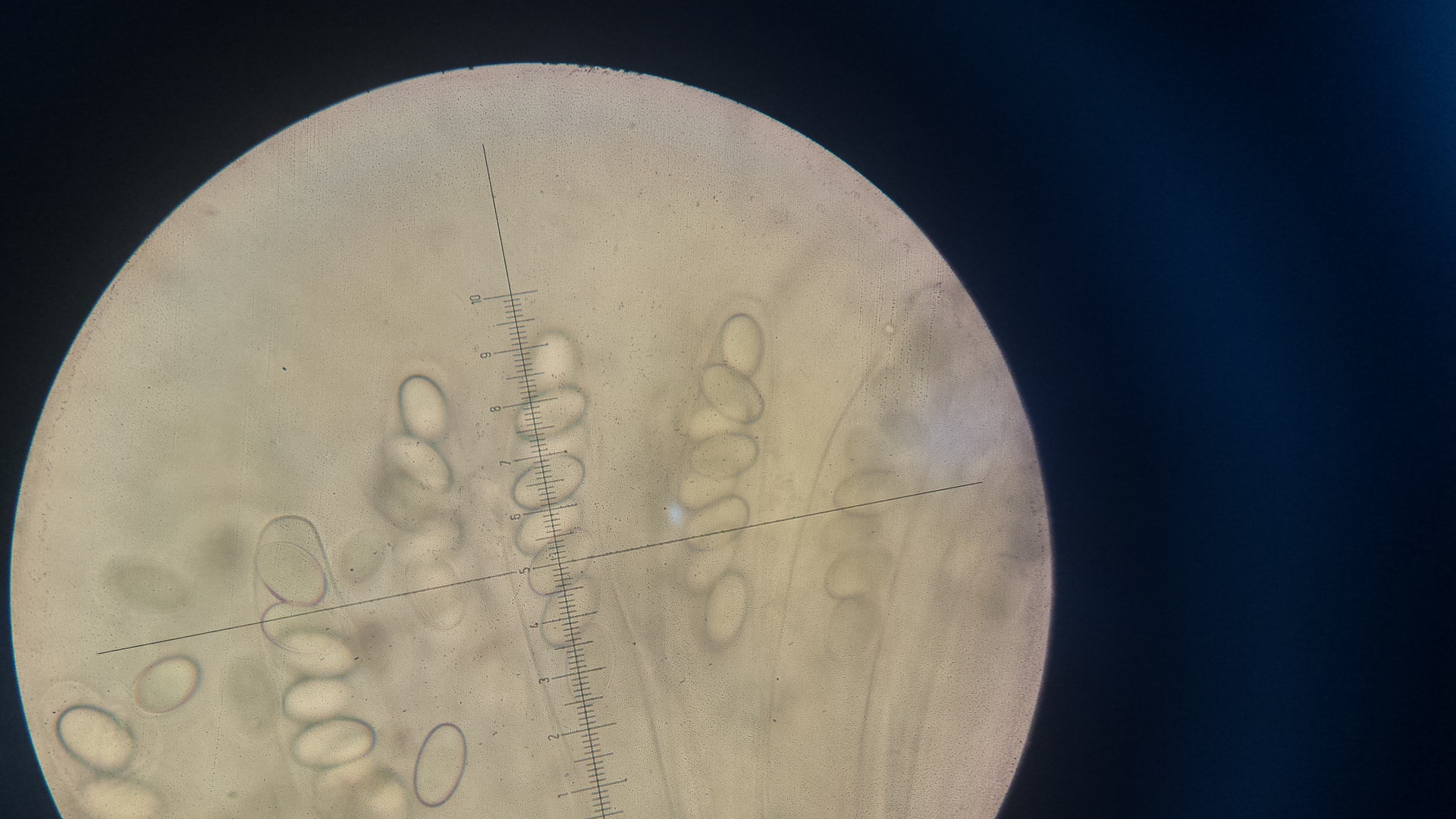
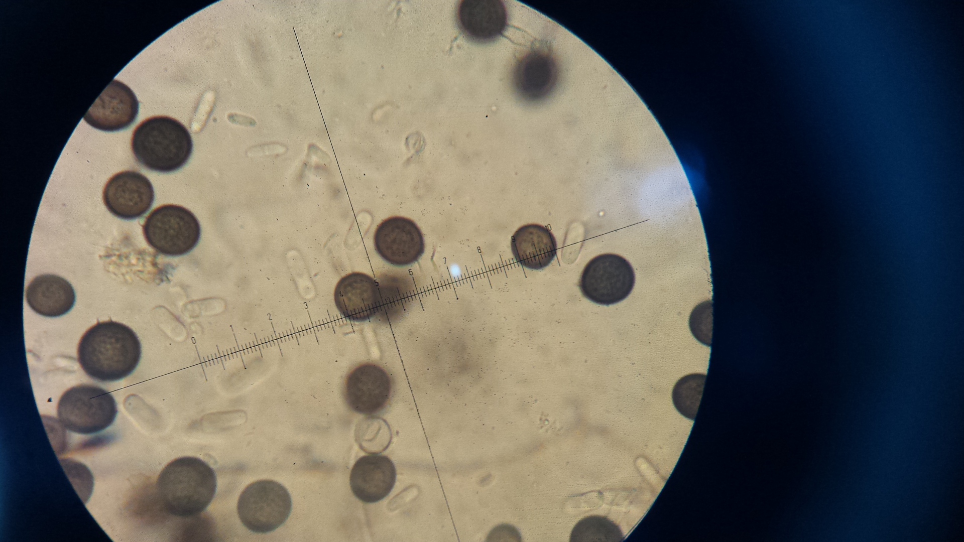
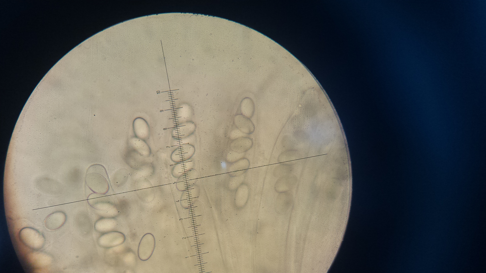
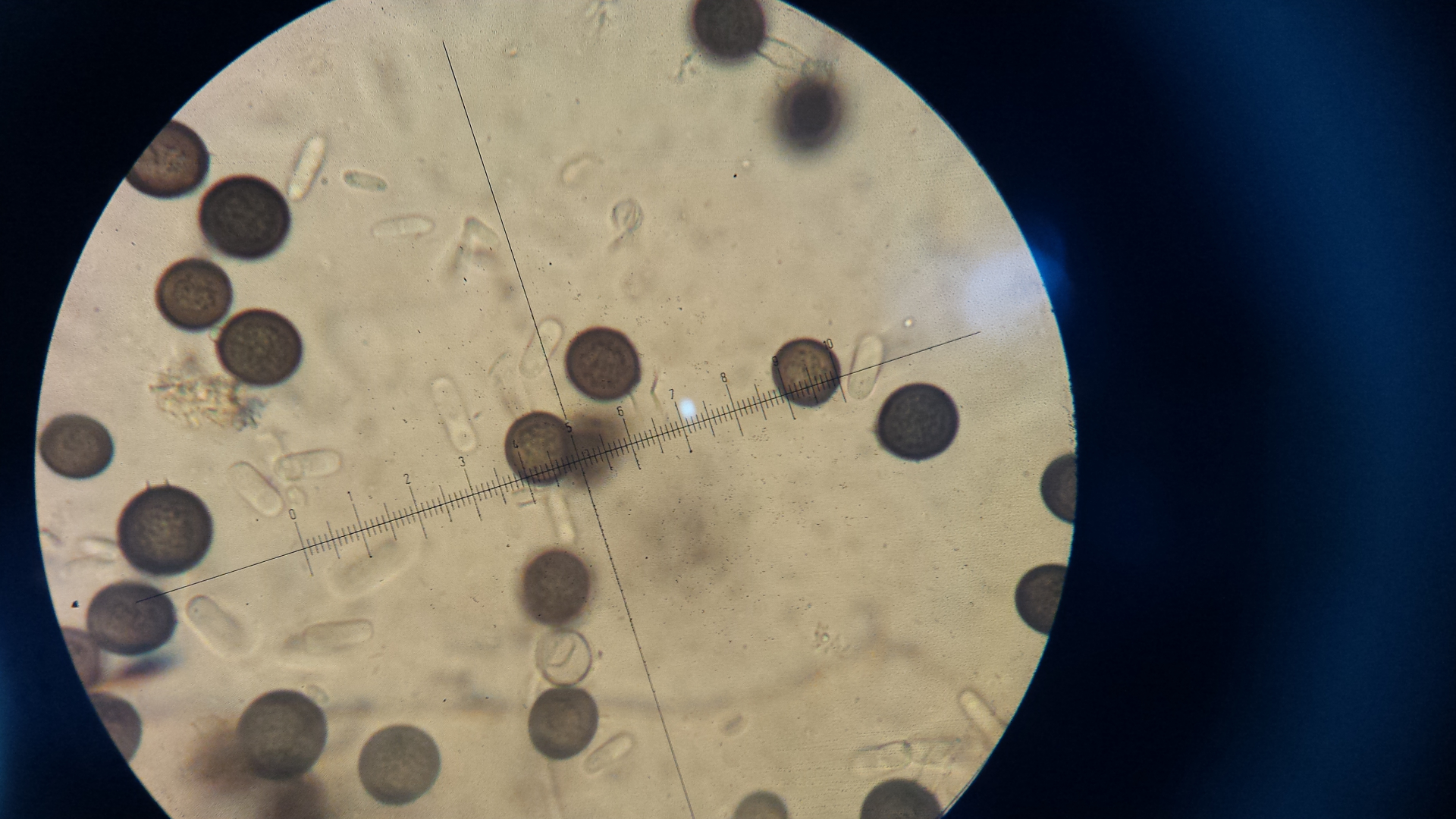
Ich hab was auf Dung von Bullen, die bei uns ein Poldergebiet beweiden: Im Makro gaaanz leicht rosa, man meint die Asci auf der Oberfläche zu sehen. Die Fruchtkörperchen teils sehr gedrängt zusammen. Natürlich was unters Mikroskop gepackt, das sonderbare ist - die Teile scheinen nur aus Asci zu bestehen, ich finde keine Paraphysen, hab mir heute und gestern einige Fruchtkörper angeschaut. Sporen ca. 15 x 9 µm. W
enn ich den Schlüsseln bei Watling-Richardson und Doveri folge, lande ich bei Coprotus. Aber wie gesagt keine Paraphysen, nur Asci. Sehr sonderbar. Hat jemand eine Idee? Oder weiß, wo ich falsch abgebogen bin?
-
Nein im Winterschlaf war ich nicht, im Winter mach ich Kackepilze. Danke für die Erklärungen.
-
