Hallo zusammen,
am letzten Sonntag habe ich mich mal wieder auf den Weg in die Eifel gemacht. Anders als Karl am Vortag hatte ich nicht unter Regen, Kälte und Wind zu leiden, sondern nur unter Wind und Kälte
Aber es hat sich gelohnt, denn die Wiese war wieder voll mit bunten Farbtupfern.
1. Hygrocybe coccinea



2. Cystoderma amiathinum

3. Hygrocybe punicea


4. Hygrocybe chlorophana


5. Clitocybe nebularis



6. Gliophorus psittacinus

7. Hygrocybe quieta

8. Cuphophyllus virgineus var. ochraceopallida




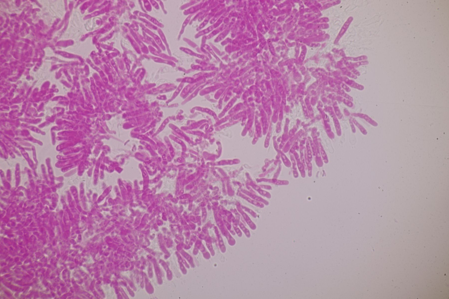
9. Versteckt im Gras gab es einen Pilz, der von oben erstmal wie eine Pflaume aussah. Im Feld war ich dann ob der weißen Lamellen etwas ratlos, aber zu Hause hat sich das ganze dann schnell als Entoloma entpuppt. Die sporen messen 6,3±0,4 µm × 6,1±0,4 µm, Q=1±0,1; 5,6-7,3 µm × 5,2-7 µm, Q=0,9-1,1, weshalb Entoloma bloxamii raus ist. Bleibt die Frage, ob das dann eher E. madidum oder E. atromadidum ist. Wenn ich mit den Bildern von Ainsworth et al. vergleiche, liegt mein Fund farblich irgendwie zwischen den beiden Arten.








10. Ein einfach bestimmbarer Rötling, der dort auch schon im letzten Jahr wuchs: Entoloma porphyropaeum. Sporen messen 9,5±0,7 µm × 6,8±0,5 µm, Q=1,4±0,1; 8,3-11,2 µm × 5,8-7,9 µm, Q=1,3-1,5.












11. Dann ging es in einen benachbarten Wald, der überwiegend aus Fichten und Weihnachtsbaumplantage besteht. Chondrostereum purpureum

12. Angriff der Klonkrieger: Clavulina rugosa



13. Lepista nuda

14. Imleria badia

15. Unter Fichte, Milch mild, aber mit einem leicht bitteren Nachgeschmack: Lactarius hepaticus

16. Hygrophorus pustulatus

17. Tephrocybe randida







18. Im Bergnadelwald darf Russula integra natürlich nicht fehlen







19. Cuphophyllus virgineus

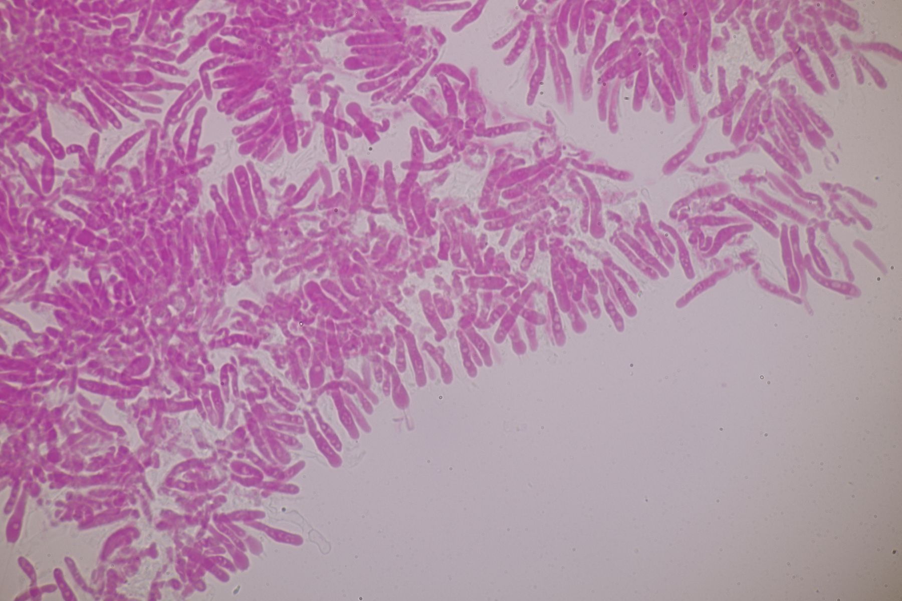
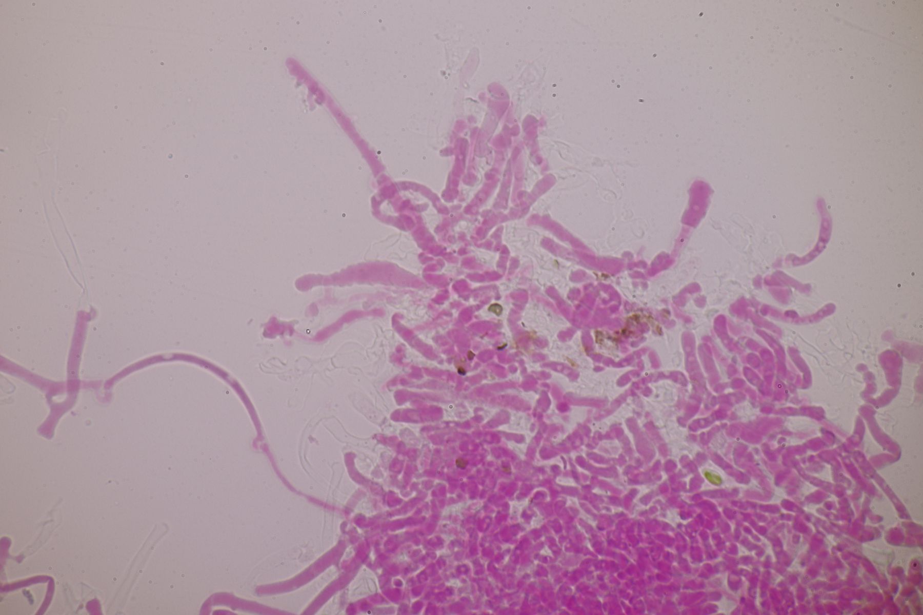
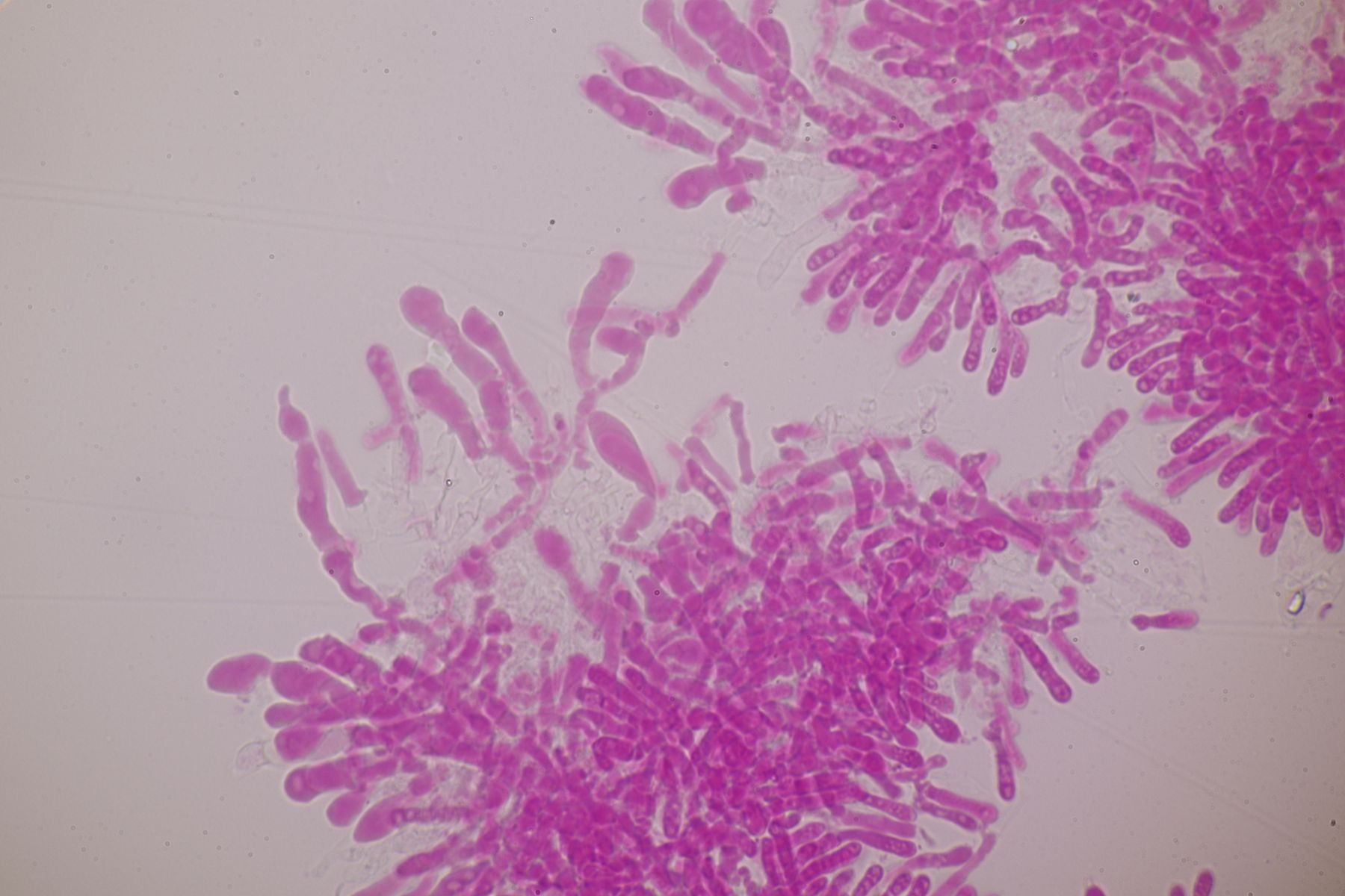
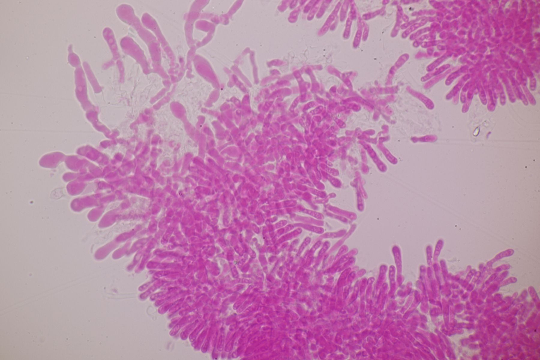
20. Und zum Schluß dann wieder der Rätselpilz, der auch im letzten Jahr schon auf der Wiese stand. Der Pilz ist geruchslos, der Stiel ist hohl. Fundort mitten auf der Wiese, d.h. Mykorrhiza-Partner sind eigentlich keine vorhanden. Sporen messen 7,9±0,5 µm × 4,9±0,3 µm, Q=1,6±0,1; 7,2-9 µm × 4,5-5,9 µm, Q=1,4-1,8, nicht amyloid, nicht dextrinoid, nicht cyanophil, relativ dickwandig. Zystiden sind scheinbar nicht vorhanden.
















Björn