Cistella dentata?
- Markus123
- Unerledigt
Es gibt 16 Antworten in diesem Thema, welches 816 mal aufgerufen wurde. Der letzte Beitrag () ist von Markus123.
-
-
-
Servu Markus,
nein das ist sicherlich keine Mollisia die hätte ein dunkles Excipulum auch das Hymenium wäre bei deinem Namensvorschlag dunkel.
Kannst du was über die Jod-Reaktion der Asci sagen ?
Schau dir nochmal die Aussenseite an ob da evtl. Haare zu finden sind.
Grüße
Felli
-
-
Käme vielleicht die Gattung Pezoloma in Frage ?
-
Hallo Markus,
Auf den Außenseiten waren keine Haare zu finden.
Das doofe ist, dass die Außenhaare auch farblos sein können, daher du siehst sie nur unter dem Mikroskop.
Käme vielleicht die Gattung Pezoloma in Frage ?
Nein die fällt definitiv weg.
Die ist zum einen viel größer, hat deutliche Haare und die Sporen sind anders.
Vielleicht geht es bei dir in die Richtung Cistella, aber da musst du halt schauen, ob Haare vorhanden sind, Haken am Ascus sind und wie die Jod-Reaktion des Ascus (IKI+ ist gleich blaufärbung des Asci) ist.
Eine gute Seite, wo vieles sehr anschaulich gezeigt und erklärt wird findest du hier.
ASCO-SONNEBERG - Wissenswertes über Pilze
VG : Thorben
-
Ja, die Seite von Ingo kenne ich. Ich Versuche mit ihrer Hilfe besser in das Thema einzusteigen.
Cistella ist ein guter Tipp.
Das hilft mir schon sehr viel weiter. Danke!
-
Markus123
Hat den Titel des Themas von „Collisia Olivaceocinerea ?“ zu „Cistella dentata?“ geändert. -
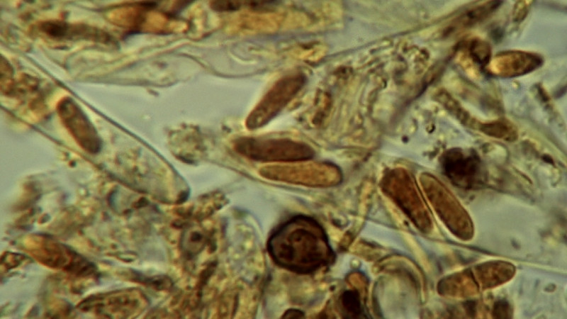
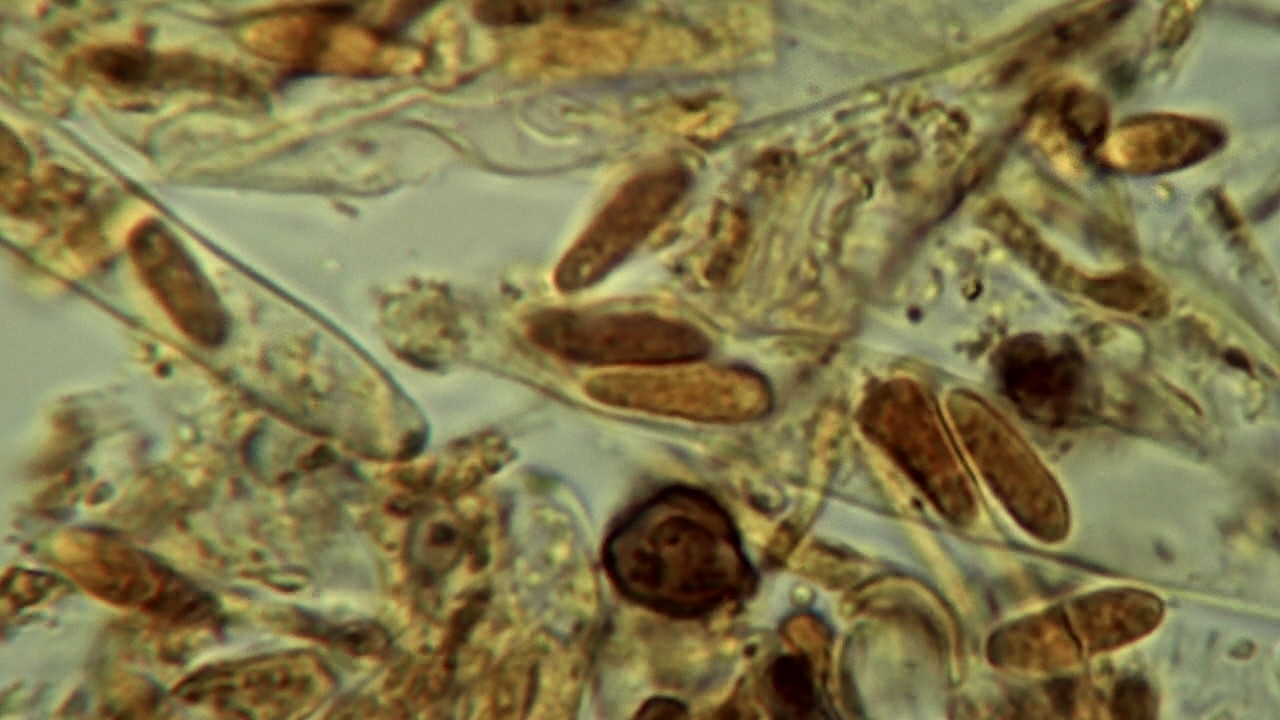
Ich habe mal die mir zugänglichen Cistella Arten und ihre Sporen und Asci Maße mit meinen verglichen. Mit dem Makroskopischen Bilder noch dazu komme ich am Ende bei Cistella Dentata raus

-
Servus Markus,
Das ist durchaus möglich.
Dann schau doch mal ob du am Rand-außen leicht keulige, 15-25x5-7µ lange, dickwandige, und am Kopf (apikal) leicht stachlig/warzige Haare entdeckst.
Teils sind die aber recht unscheinbar.
Grüße
Felli
-
-
Hallo Markus,
das sollten schon die Haare sein.
Ich meine auch zu erkennen, dass diese leicht warzig sind.Auf deinem letzten Bild sieht man sogar ein Ascus mit Haken, damit bleibt nur noch zu klären, ob die Asci auch IKI+ oder - sind, also der Test der Jod-Reaktion.
Ohne jetzt viel nachgeschaut zu haben, aber bis jetzt sieht es mit Cistella dentata gut aus.VG : Thorben
-
Leider sind meine bestellten Reagenzien noch nicht bei mir angekommen. Also auch Lugol noch nicht.
Ich kann also den Test noch nicht machen.
Gibt es im Internet einen Schlüssel den ich zu Rate ziehen kann beim bestimmen ?
Außer der der Seite Asco Sonneberg?
-
Hallo Markus,
einen Schlüssel gibt es so nicht, aber du kannst halt auf Asco-Sonneberg, ascofrance oder Zottos Sammlung von Ascomyceten (hier) anschauen.
Letzteres ist für Anfänger schwieriger, weil du musst schon wissen musst in welche Richtung es geht.
VG : Thorben
-
-
Hallo Markus,
genau das ist IKI+.
Klasse wie du die Merkmale herausgearbeitet hast

Also wäre Cistella Dentata damit wahrscheinlich?
Ich habe die Cistella dentata leider selber noch nicht gefunden, aber würde deinen Fund so bezeichnen.
VG : Thorben
-
Servus,
Ja, das sieht nicht schlecht aus, eine eindeutige Reaktion.
Grüße
Felli
-
Vielen Dank an euch das ihr mir hier geduldig geholfen habt. Das hat mir sehr viel wissen vermittelt 🙂
