Hallo zusammen,
am letzten Sonntag war ich in Lengerich unterwegs, einer Gegend in der es Kalk gibt und entsprechende Kalkbuchenwälder sowie Kalkmagerrasen. Pilztechnisch war das ganze durchaus ergiebig:
1. Phyllotopsis nidulans
2. Tricholoma sulphureum
3. Arrhenia retiruga
4. Geoglossum cookeanum
5. Helvella crispa
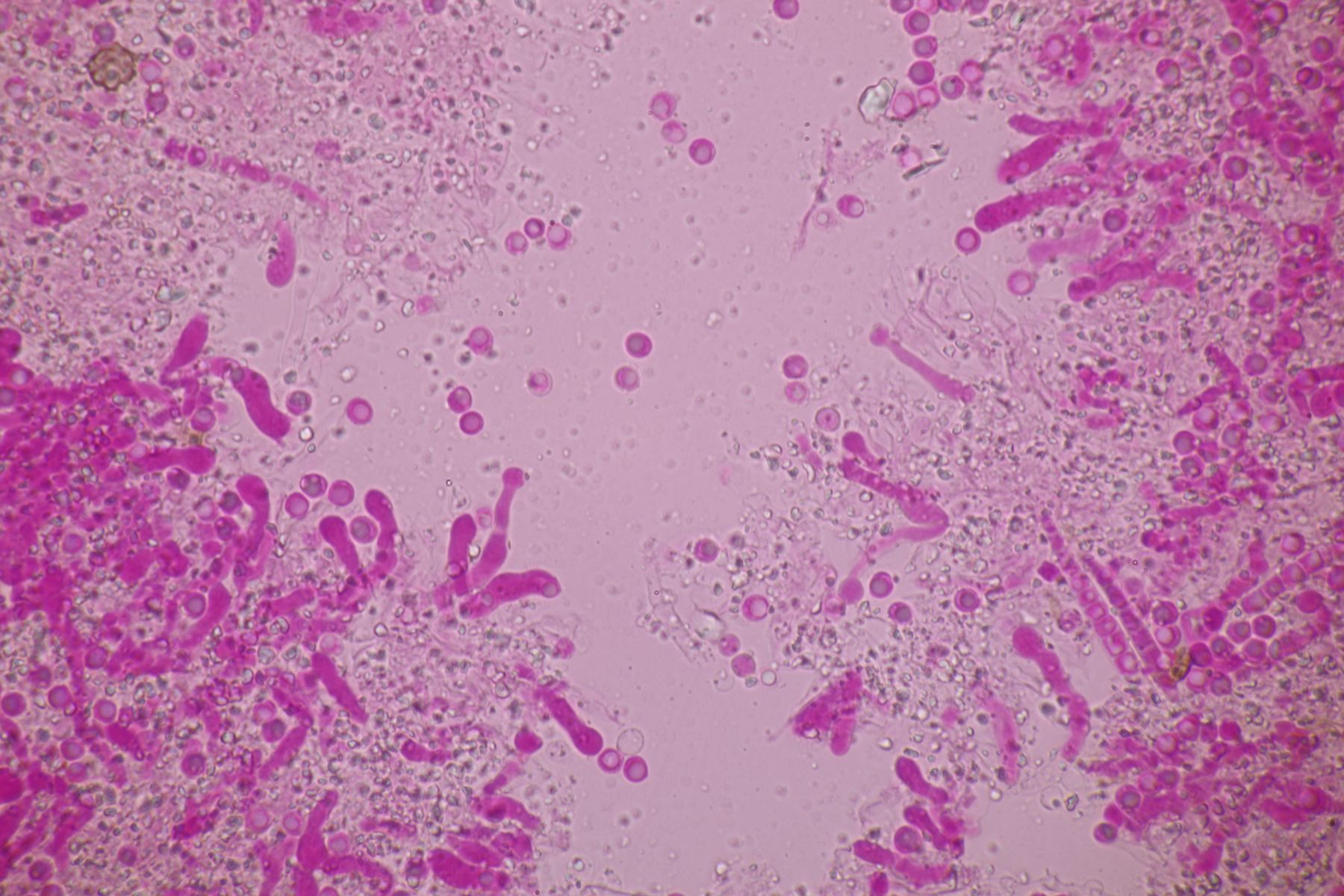
6. Ein Saftling, der zunächst mal an Hygrocybe fornicata erinnert. Die Sporen sind aber mit 8,6±0,6 µm × 5,3±0,4 µm, Q=1,6±0,2; 7,7-10,7 µm × 4,8-6,3 µm, Q=1,4-2,1 deutlich zu groß. Exsikkat ist vorhanden.
7. Panellus stipticus
8. Sistotrema confluens mit sehr intensiv-chemischem Geruch
9. Eine Corticiaceae, die an der Basis von Calamagrostis wächst. Ich hab da jetzt keine intensiveren Bestimmungsversuche unternommen, Vorschläge sind natürlich immer willkommen.
10. Phlebiella vaga
11. Polydesmia pruinosa
12. Bisporella citrina
13. Amaurodon viridis hatte ich ja hier schon ausführlich vorgestellt.
14. Scytinostroma hemidichophyticum
15. Hygrocybe konradii mit Sporen von 9,9±0,5 µm × 7,3±0,3 µm, Q=1,4±0,1; 9-10,9 µm × 6,5-7,7 µm, Q=1,3-1,5
16. Tulostoma brumale
17. Byssomerulius corium
18. Russula orchroleuca
19. Plicatura crispa
20. Golovinomyces asterum var. solidaginis ex Solidago gigantea
21. Phragmidium bulbosum ex Rubus sect. Rubus
22. Cortinarius elegantissimus mit Sporenmaßen 14,9±0,7 µm × 8,8±0,4 µm, Q=1,7±0,1; 13,7-16,4 µm × 7,8-9,8 µm, Q=1,5-1,9
Björn
