Lengerich 15.11.2025

Es gibt 2 Antworten in diesem Thema, welches 641 mal aufgerufen wurde. Der letzte Beitrag () ist von boccaccio.

  • Hallo zusammen,


    am letzten Sonntag war ich in Lengerich unterwegs, einer Gegend in der es Kalk gibt und entsprechende Kalkbuchenwälder sowie Kalkmagerrasen. Pilztechnisch war das ganze durchaus ergiebig:


    1. Phyllotopsis nidulans


    2. Tricholoma sulphureum


    3. Arrhenia retiruga


    4. Geoglossum cookeanum


    5. Helvella crispa


    6. Ein Saftling, der zunächst mal an Hygrocybe fornicata erinnert. Die Sporen sind aber mit 8,6±0,6 µm × 5,3±0,4 µm, Q=1,6±0,2; 7,7-10,7 µm × 4,8-6,3 µm, Q=1,4-2,1 deutlich zu groß. Exsikkat ist vorhanden.


    7. Panellus stipticus


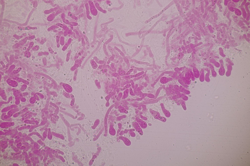
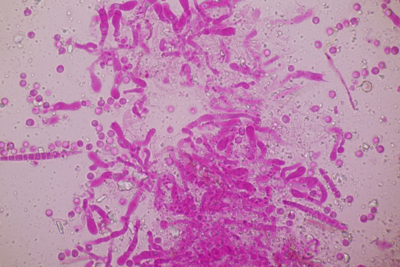
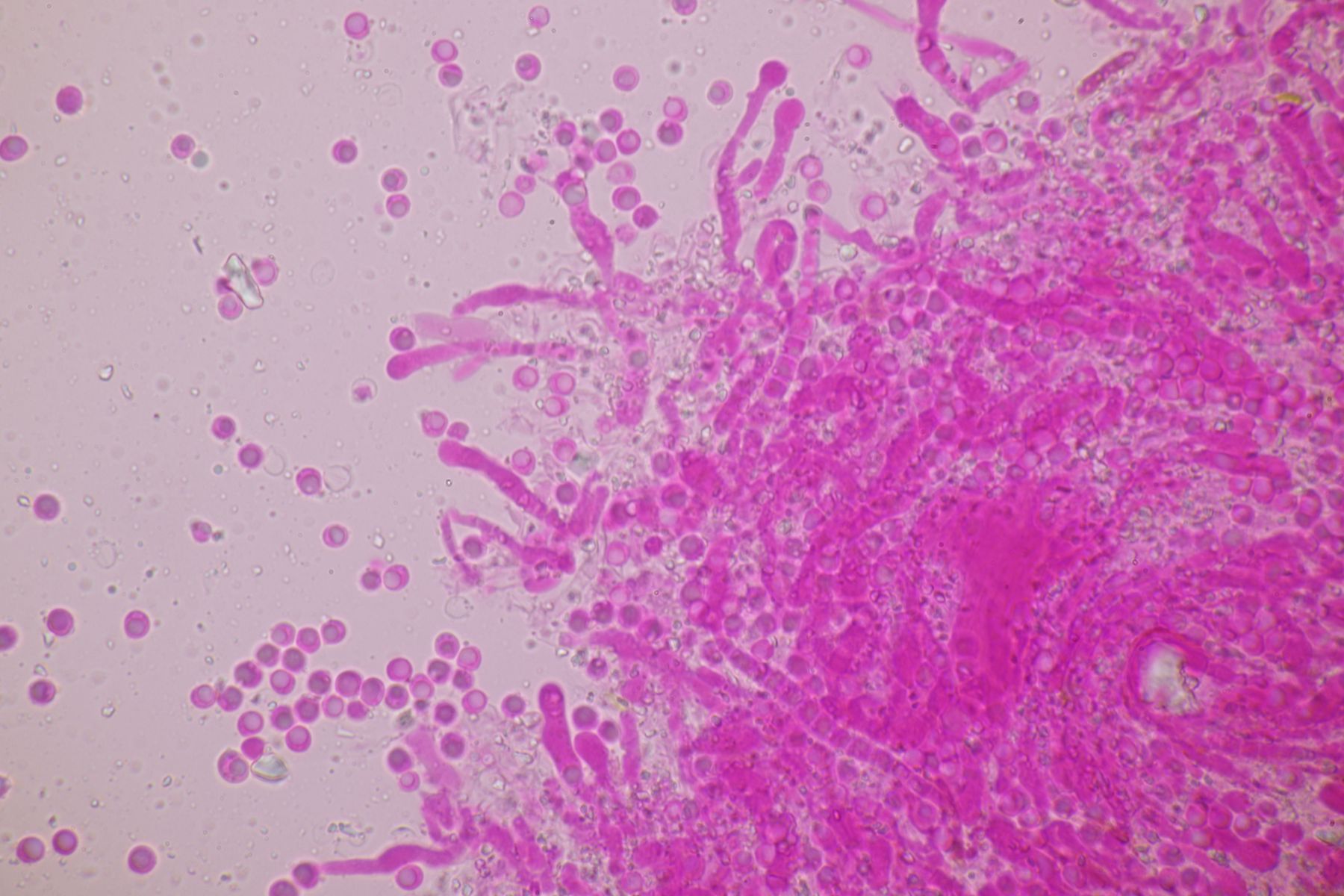
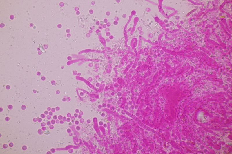
    8. Sistotrema confluens mit sehr intensiv-chemischem Geruch


    9. Eine Corticiaceae, die an der Basis von Calamagrostis wächst. Ich hab da jetzt keine intensiveren Bestimmungsversuche unternommen, Vorschläge sind natürlich immer willkommen.


    10. Phlebiella vaga


    11. Polydesmia pruinosa


    12. Bisporella citrina


    13. Amaurodon viridis hatte ich ja hier schon ausführlich vorgestellt.


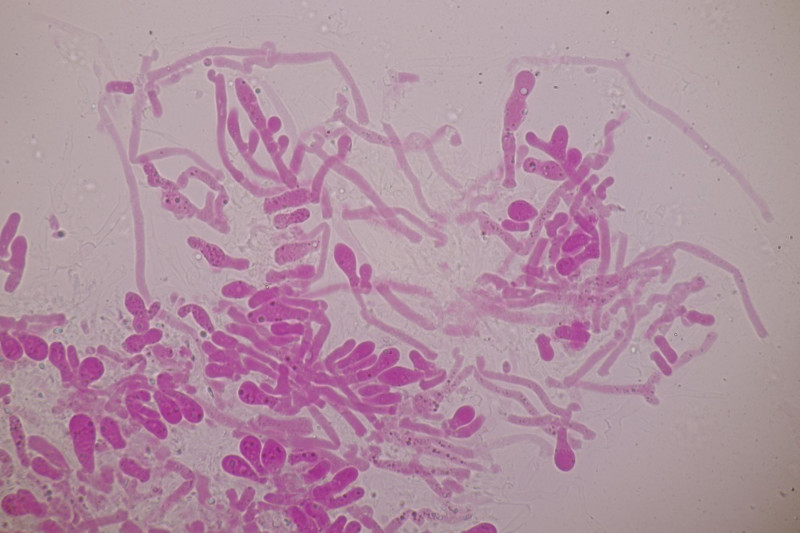
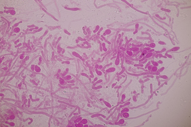
    14. Scytinostroma hemidichophyticum


    15. Hygrocybe konradii mit Sporen von 9,9±0,5 µm × 7,3±0,3 µm, Q=1,4±0,1; 9-10,9 µm × 6,5-7,7 µm, Q=1,3-1,5


    16. Tulostoma brumale


    17. Byssomerulius corium


    18. Russula orchroleuca


    19. Plicatura crispa


    20. Golovinomyces asterum var. solidaginis ex Solidago gigantea


    21. Phragmidium bulbosum ex Rubus sect. Rubus


    22. Cortinarius elegantissimus mit Sporenmaßen 14,9±0,7 µm × 8,8±0,4 µm, Q=1,7±0,1; 13,7-16,4 µm × 7,8-9,8 µm, Q=1,5-1,9


    Björn

  • Hi Björn,


    tolle Funde, tolle Bilder. Wie gewohnt, aber darf nicht unerwähnt bleiben.

    Wuchs Sistotrema an bekannter Stelle oder war der Fundort neu?


    Beste Grüße

    Jan-Arne


    Im Forum gibt es keine Verzehrfreigaben, nur Hilfestellungen zu eigenständigen Vergleichen!


    Meine Homepage mit Kurzportraits von Pilzen und Tieren: fungaundfauna