Hallo ![]()
mir wurde Sonntag ein Schleimer zugesteckt und ich habe ihn jetzt sowohl als weiße kugelförmige Plasmodia(?) als auch zylindrische, schwarze Sporangien beobachten können. Sehr faszinierend, wenn plötzlich alles im Becher komplett anders aussieht.
Ich hab bisher auch nur den kleinen Einführungsband von Marion Geib und da sieht es aus, als wenn Stemonitis spec. ganz gut passen würde.
Die runden Sporen sehen feinwarzig ornamentiert aus und ich hab kein Netz erkennen können. Durchmesser 8.0-(8.5)-9.2μm, N=20
Gefunden wurde der Schleimpilz auf einem Eichenblatt bei bestem nasskaltem Wetter in der Südheide bei Gifhorn.
Kann das mit Stemonitis, mindestens Stemonitales passen?
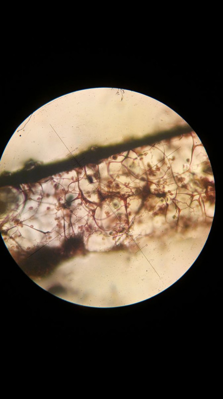
Mikrobilder 1000x(Ölimmersion), Quetschpräparat, Wasser.
Lupe1:
Lupe2:
Lupe3:
Mikro1:
Mikro2:
Mikro3:
Mikro4:
Mikro5:
Etwas Versuch an Eingrenzung ohne jede echte Ahnung. : Auf der noch halbwegs unsystematischen Suche nach anderen zylindrischen Sporangien habe ich bei Arcyria und Tubifera zumindest keine schwarz gefärbten gefunden.
Comatricha irregularis scheint nicht gänzlich abwegig (sporangia long-cylindrical, dark brown to black, 2-8mm, spores verrucose, aber ich hab noch keine Ahnung vom Capillitium und wie ich da gut rankomme (oder ist es das, was da schon auf den Bildern zu sehen ist?)
Wenn ich bei Stemonitis bleibe, lande ich mittels [1] bei a) spores spiny to warted > h
h) ich hatte den Eindruck, dass die Sporen eher einzeln sind und an einer Stelle habe ich auch eine einzelne Spore beobachten können, die noch am "Gerüst" hing (3. Mikrobild) > Spores free, sporangia dark (or pale) > j
j) deep fuscous to black > k
k) Sporangien an der Basis nicht frei (?), v.a. Sporen eher 8-10μm statt 1-12μm > nicht confluens > l
l) mh... gegen splendens spricht, dass die Sporangien wirklich eher schwarz als rot sind. , für mussooriensis sind mir die Sporangien deutlich zu groß, das kann nicht passen. S. fusca klingt nicht abwegig?
[1] G.W.Martin, C.J.Alexopoulos, Taxonomic Keys and Plates from The Myxomycetes, 2021.
[2] https://www.mushroomexpert.com…ect/martin.htm#Comatricha
Liebe Grüße
Caroline
