Rindenpilz
- Cognacmeister
- Erledigt
Es gibt 7 Antworten in diesem Thema, welches 621 mal aufgerufen wurde. Der letzte Beitrag () ist von Cognacmeister.
-
-
Also I komm auf keine Idee bei diesem hier
-
Hallo,
verrate doch mal die Sporengröße! Die Sporenform könnte z. B. zu Lyomyces sambuci passen.
LG
Frank
-
Alles anzeigen
Hallo,
verrate doch mal die Sporengröße! Die Sporenform könnte z. B. zu Lyomyces sambuci passen.
LG
Frank
Oh grüss Gott danke erstmal die Sporenmessungen liegen I glaub 4 bis 7.5 und 3 bis 4 mm lg des sollte passen gö
-
Dann könnte es Lyomyces sambuci sein.
Du solltest mal nach kopfigen Zystiden suchen. Diese sind erst etwas zugespitzt und erweitern dann die Spitze zu kleinen Köpfchen.
LG
Frank
-
Alles anzeigen
Dann könnte es Lyomyces sambuci sein.
Du solltest mal nach kopfigen Zystiden suchen. Diese sind erst etwas zugespitzt und erweitern dann die Spitze zu kleinen Köpfchen.
LG
Frank
Da haben wir e schon eine abgerissen oder lg entschuldige was hältst du für eine gute Literatur für rindenpilze hast du da einen Tipp. I denk an band 12 fungi of Europe
-
Fungi Europaei 12 ist schon mal ein gutes Werk zur Bestimmung von Rindenpilzen.
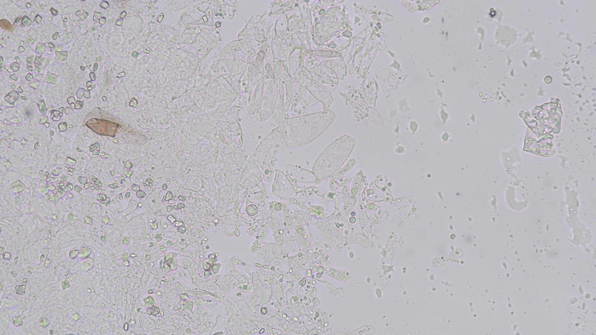
Auf deinem Foto kann ich keine passenden Element erkennen. Es kommen natürlich auch noch einige andere Arten in Frage, wenn du keine Zystiden findest. Radulomyces confluens ist es auf jeden Fall nicht. Da passen die Sporen nicht.
Im Präparat (3 % KOH) von L. sambuci sind auch immer viele Kristalle zu finden.
LG
Frank
-
Alles anzeigen
Fungi Europaei 12 ist schon mal ein gutes Werk zur Bestimmung von Rindenpilzen.
Auf deinem Foto kann ich keine passenden Element erkennen. Es kommen natürlich auch noch einige andere Arten in Frage, wenn du keine Zystiden findest. Radulomyces confluens ist es auf jeden Fall nicht. Da passen die Sporen nicht.
Im Präparat (3 % KOH) von L. sambuci sind auch immer viele Kristalle zu finden.
LG
Frank
Ich dank dir erstmal und denke werde deine Hilfe sicher länger benötigen lg. I weiss net wieso es mich zu den rindenpilzen hinzieht 😂
