Hallo zusammen,
am letzten Wochenende habe ich im Duisburger Stadtwald in einer feuchten Senke, die im Winterhalbjahr auch mal gerne unter Wasser steht) auf einem Erlenast einen cremefarbenen Rindenpilz gefunden, der sich dann zu Hause als Dichostereum effuscatum entpuppt hat.
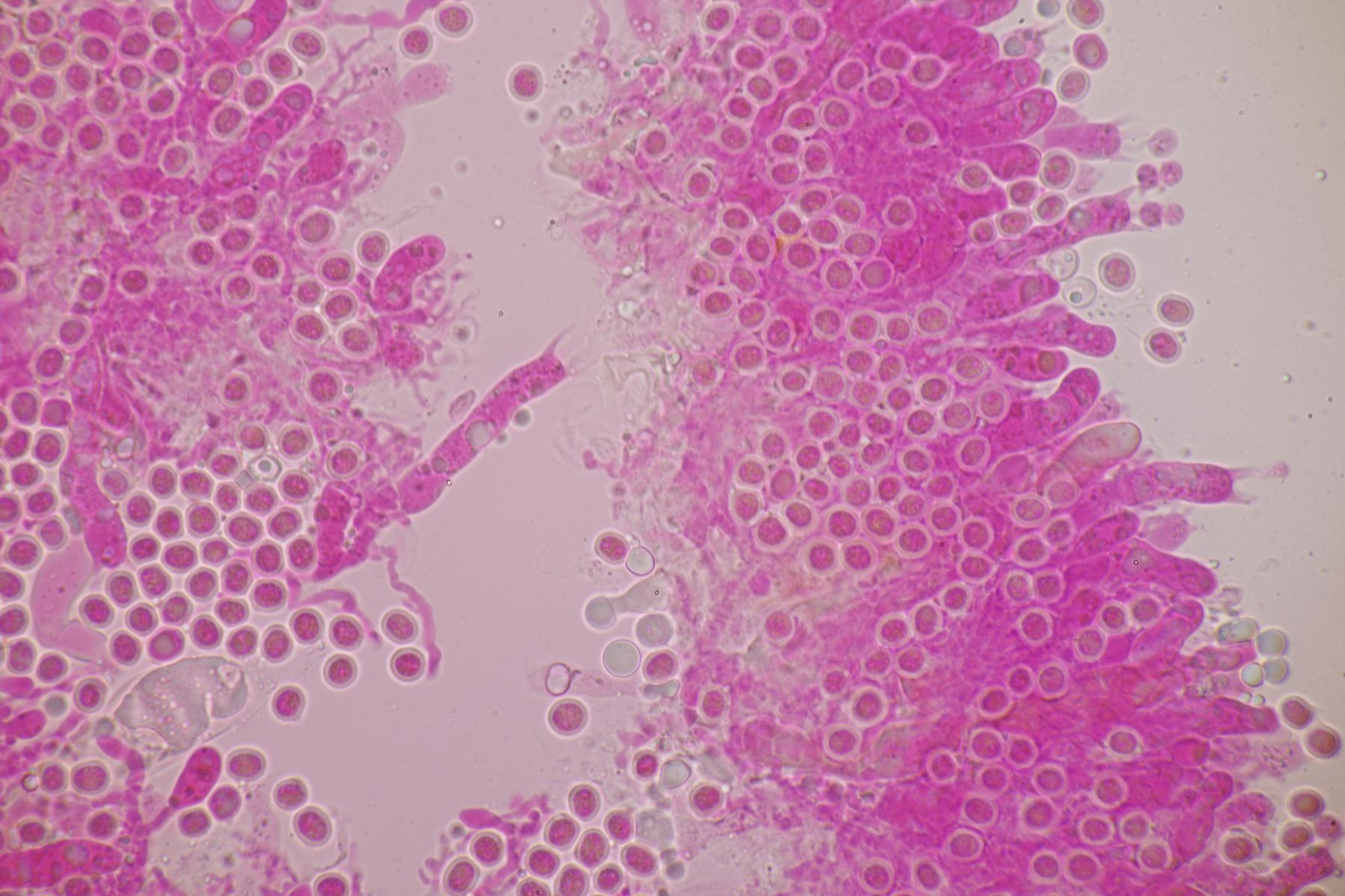
Fruchtkörper resupinat, ausgebreitet, wachsartig, Hymenium glatt, cremefarben bis gelblich, unter der Lupe bereift erscheinend.
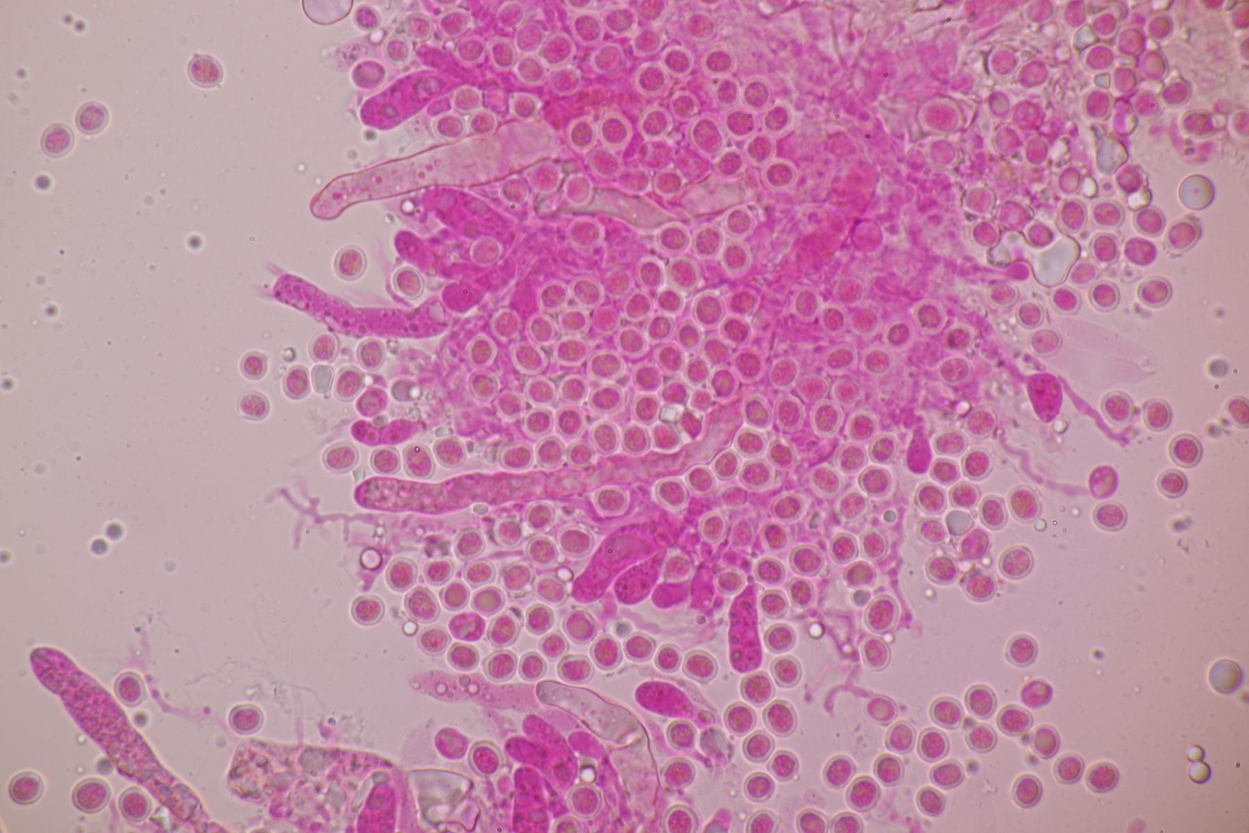
Sporen rundlich 6-7 µm x 5-6,5 µm, mit deutlichem, seitlichen Apikulus und einem spiralig-netzartigem, amyloiden Ornament
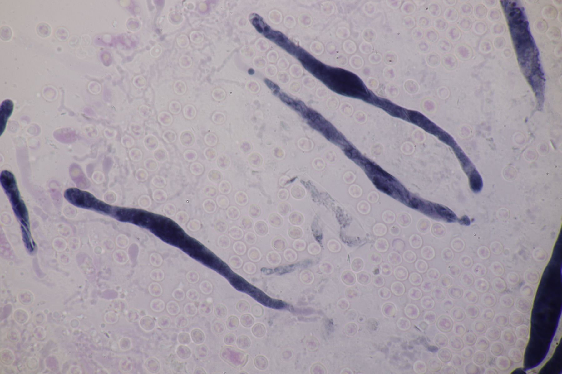
Generative Hyphen mit Schnallen, Basidien röhrenförmig, 40-70 µm x 5-6,5 µm, viersporig, mit Basalschnalle, Gloeozystiden zahlreich vorhanden, röhrenförmig, bis zu 100 µm lang und 7-13 µm breit, mit Sulfovanillin positiv reagierend
Dichohyphidien relativ selten, regulär dichotom verzweigt, 30-60 µm breit, dickwandig, blaß gelblich, schwach bis mäßig dextrinoid
Björn
