Servus,,
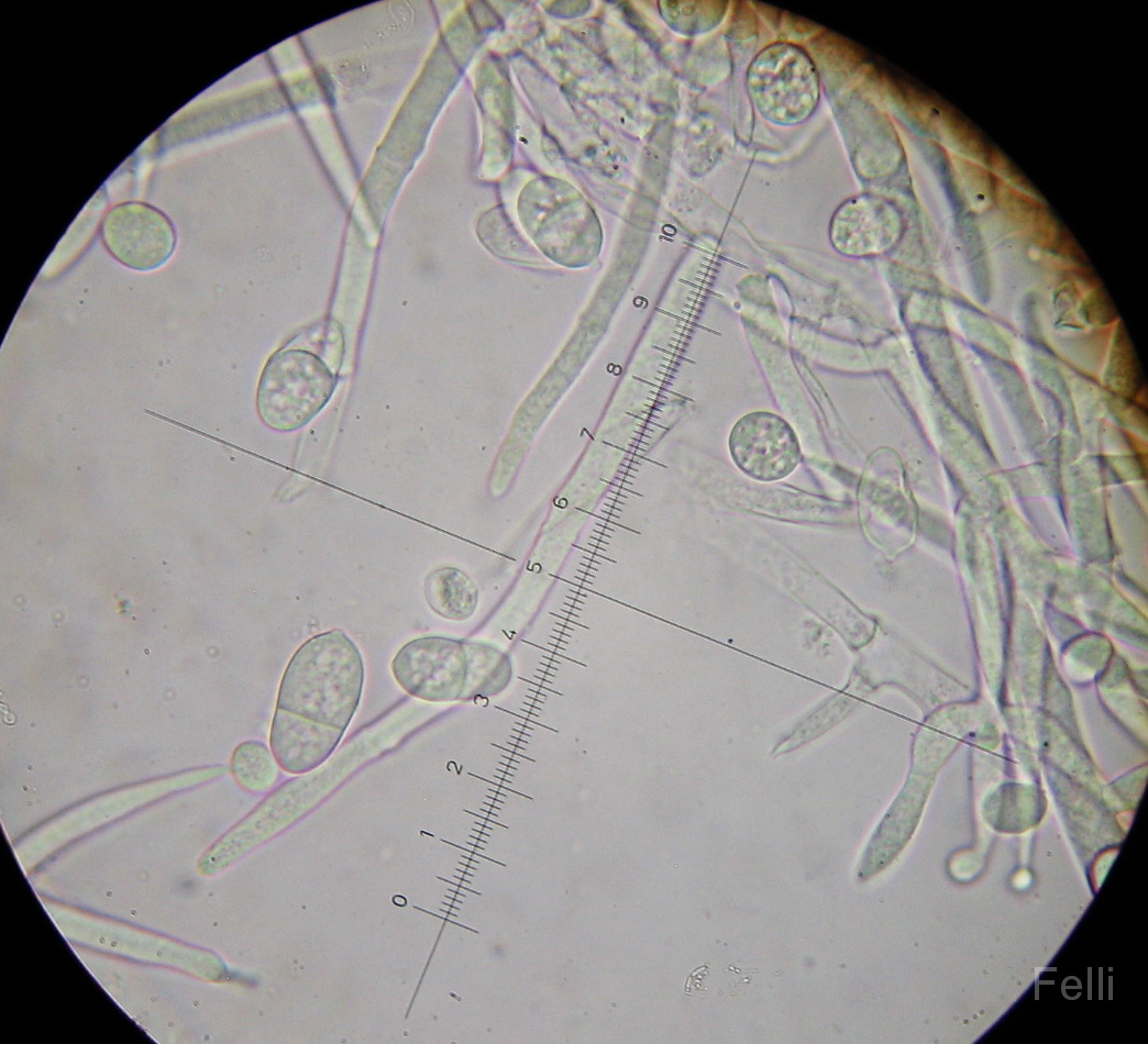
auf einem liegen gebliebenen Stück einer Entoloma bildete sich ein Schimmel auf der Hutoberfläche.
Die Konidiophoren hab ich nicht gemessen.
Konidien 20 x10µ, werden an den Enden der Hyphen gebildet,
sind 0-1 xseptiert (nicht mittig) und hyalin.
Hier in Kongorot
Konidiophoren in Kongorot
ist das evtl. Cladobotryum mycophilum das Anamorh v. Hypomyces odoratus?
Grüße
Felli
