Rheinbrohler Ley 26.1.2025

Es gibt 4 Antworten in diesem Thema, welches 1.541 mal aufgerufen wurde. Der letzte Beitrag () ist von boccaccio.

  • Hallo zusammen,


    am letzten Sonntag war ich dann wieder auf einem größeren Ausflug. Es ging mit der Bahn Richtung Rheinland-Pfalz, genauer gesagt nach Rheinbrohl und dort hoch auch die Rheinbrohler Ley und dann durchs Kaltenbachtal wieder zurück zum Bahnhof.


    1. Der Frühling beginnt mit Helleborus foetidus


    2. Hübsche rotfrüchtige Cladonien


    3. Cladonia uncialis


    4. Aleurodiscus aurantius auf Rubus fruticosus agg.


    5. Phellinus pomaceus auf Prunus spinosa


    6. Stereum gausapatum auf Quercus petraea


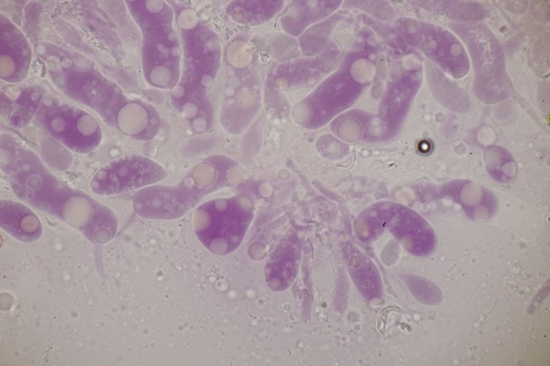
    7. Das Highlight des Tages: Xylobolus frustulatus auf Quercus petraea


    8. Blicke ins Kaltenbachtal


    9. Phyllotopsis nidulans


    Björn

  • Hallo Björn,


    wieder tolle Funde :) :thumbup:

    Ich bin beeindruckt was das Phloxin macht und denke das ich es mir auch zulegen werde.


    VG : Thorben

  • Hallo Thorben,


    ja Phloxin ist schon ein tolles Zeug. Gerade bei zäheren Angelegenheiten wie Rindenpilzen funktioniert das besser als Kongorot, weil es das Zellplasma und nicht die Zellwand anfärbt, d.h. die Zellwände bleiben dann durchsichtig und man kriegt eine bessere Vorstellung von der Struktur der verklebten Hyphen. Einziger Nachteil ist, daß Phloxin mit KOH ausflockt. Man färbt also erst mit Phloxin ein, wäscht dann gründlich mit Wasser aus und kann dann in KOH mikroskopieren.


    Björn

  • Hallo Martin,


    ich verwende den T2-Adapter ohne weitere Optik, den Christian Linkenheld im Programm hat. Ich hatte das damals mit ihm besprochen: Dadurch sieht man am Rand zwar leichte Abschattungen und die Schärfe läßt zum Rand hin minimal nach, aber wenn einen das wirklich stört, könnte man die Bilder ja einfach im Nachgang zurechtschneiden. Wenn man näher ranmöchte, gäbe es auch noch einen Adapter mit 1,6 facher Vergrößerung durch ein eingebautes Okular, aber mehr wird man auf Bildern, die damit erzeugt werden, auch nicht sehen.


    Björn