Hallo zusammen,
nach dem großen Ausflug an die Mosel war am nächsten Tag eine kleine Runde im Duisburg Süden angesagt. Dort gibt es relativ abwechslungsreiche Wälder. Neben dem typischen Buchenwald gibt es feuchte Bruchwälder mit Erle, an trockeneren Stellen dann Eichen-Hainbuchenwälder, aber auch immer wieder eingestreute Plantagen von Pinus strobus.
1. Bruchwald
2. Haareis
3. Tremella encephala
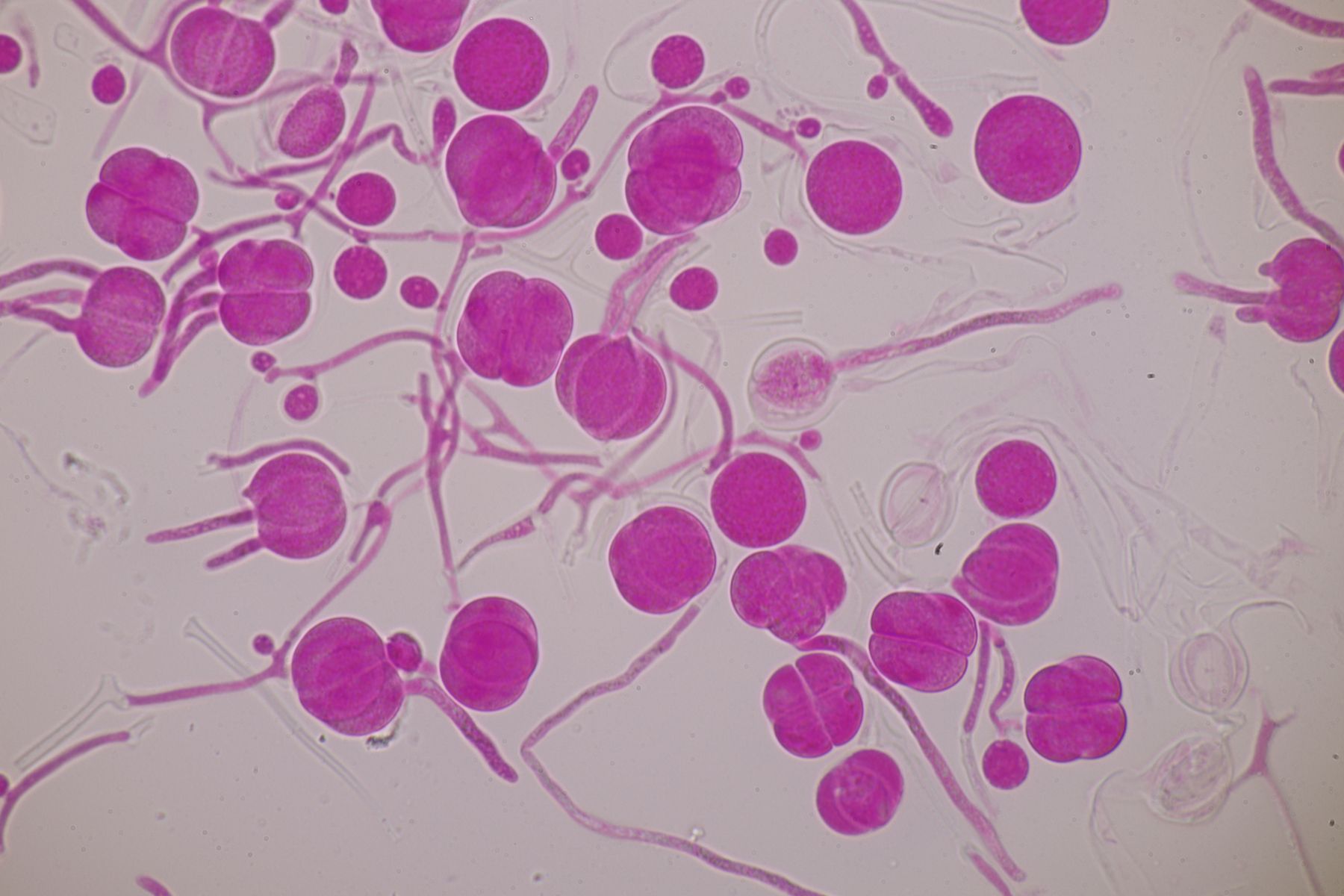
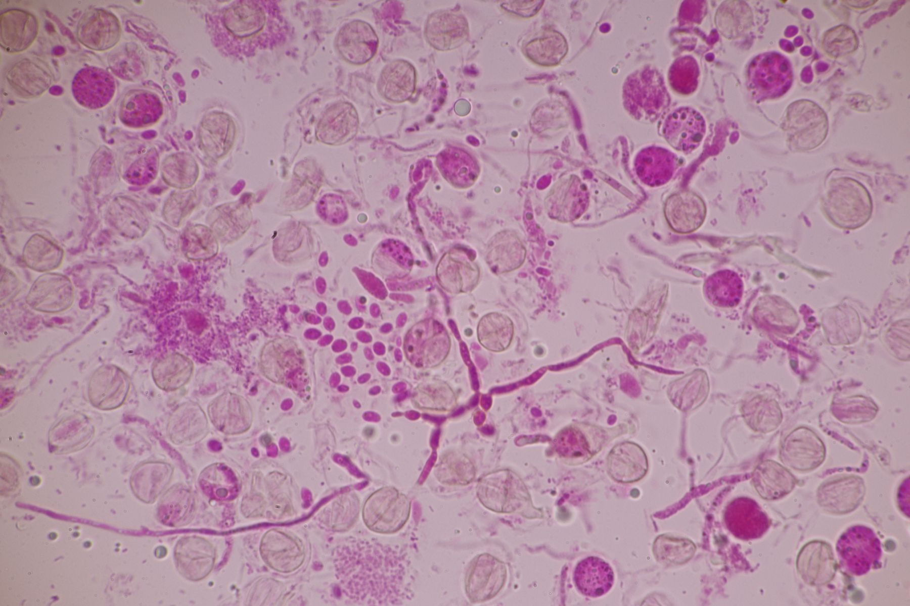
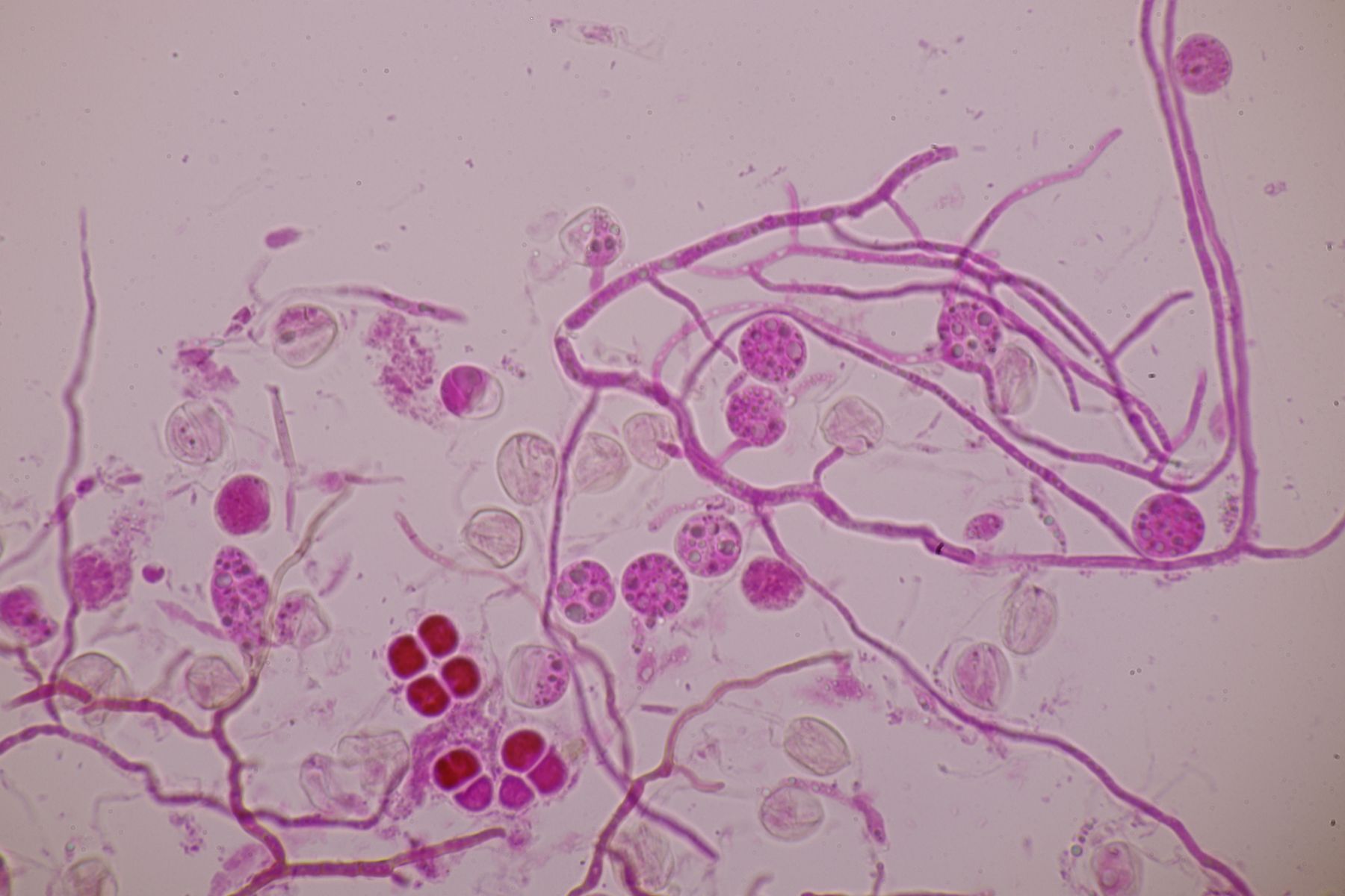
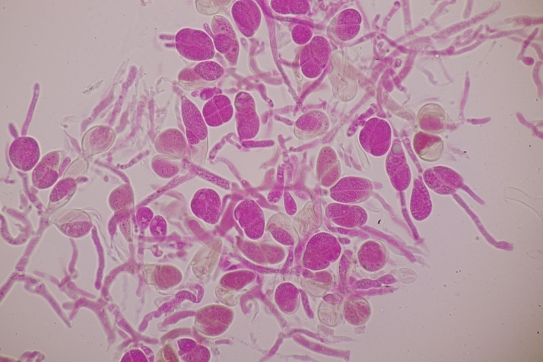
4. Pezicula livida an Pinus strobus
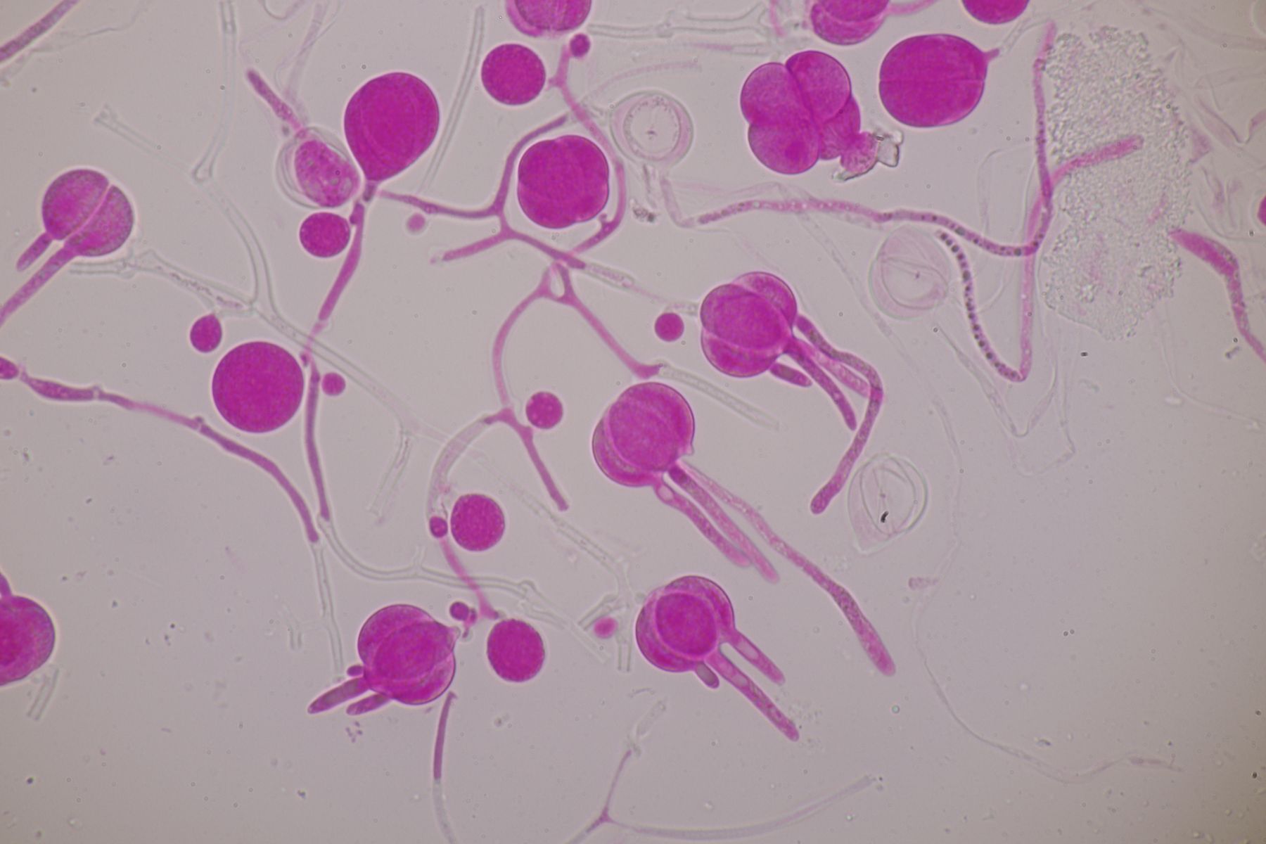
In Baralscher Lösung
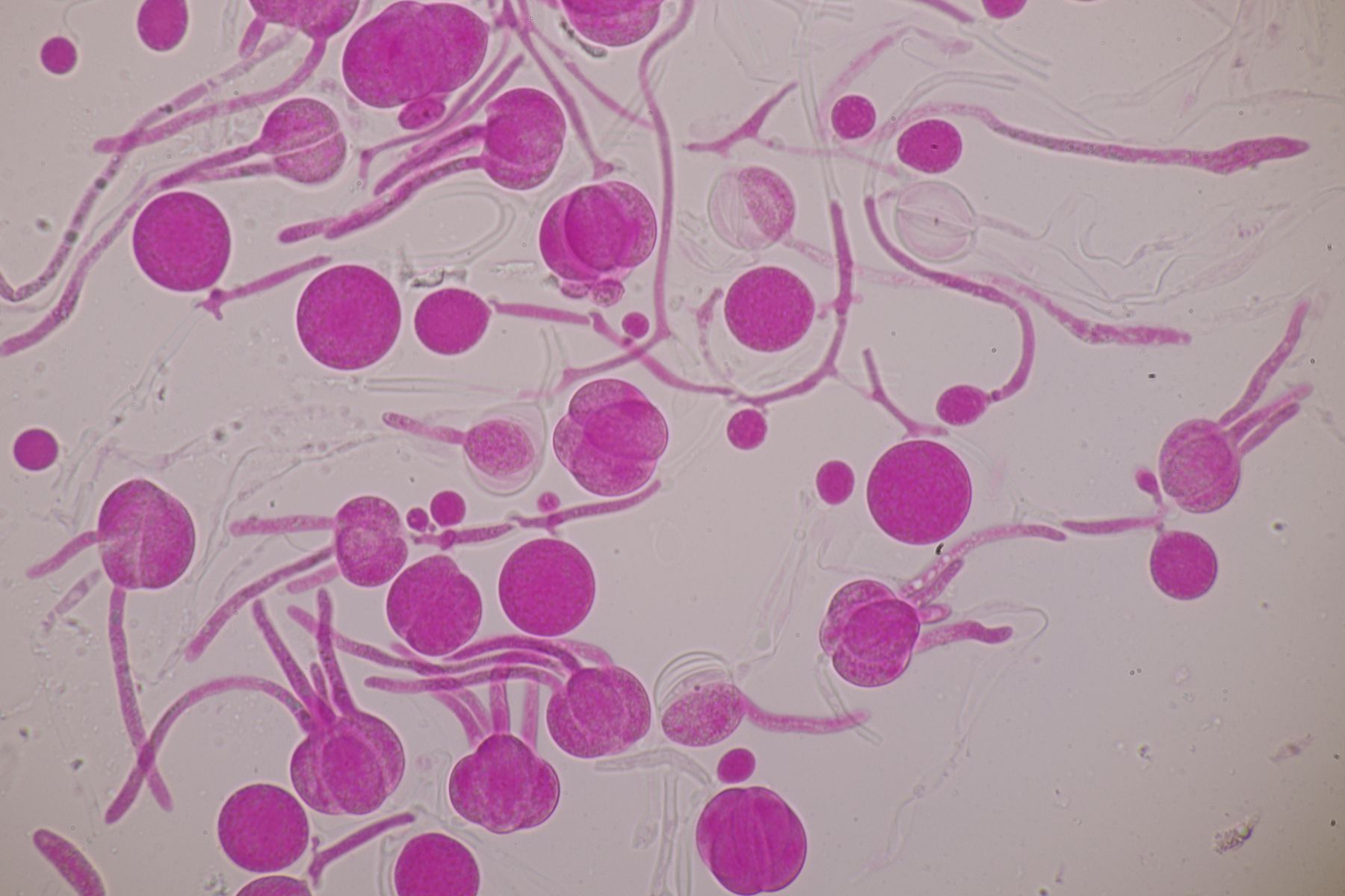
In Baralscher Lösung nach Vorbehandlung mit KOH
5. So sehen die Pinus strobus Plantagen aus
6. Phaeotremella foliacea s. str.
7. Schnappi das Krokodil!
Björn
