Duisburg-Großenbaum 28.12.2024

Es gibt 3 Antworten in diesem Thema, welches 739 mal aufgerufen wurde. Der letzte Beitrag () ist von boccaccio.

  • Hallo zusammen,


    nach dem großen Ausflug an die Mosel war am nächsten Tag eine kleine Runde im Duisburg Süden angesagt. Dort gibt es relativ abwechslungsreiche Wälder. Neben dem typischen Buchenwald gibt es feuchte Bruchwälder mit Erle, an trockeneren Stellen dann Eichen-Hainbuchenwälder, aber auch immer wieder eingestreute Plantagen von Pinus strobus.


    1. Bruchwald


    2. Haareis


    3. Tremella encephala


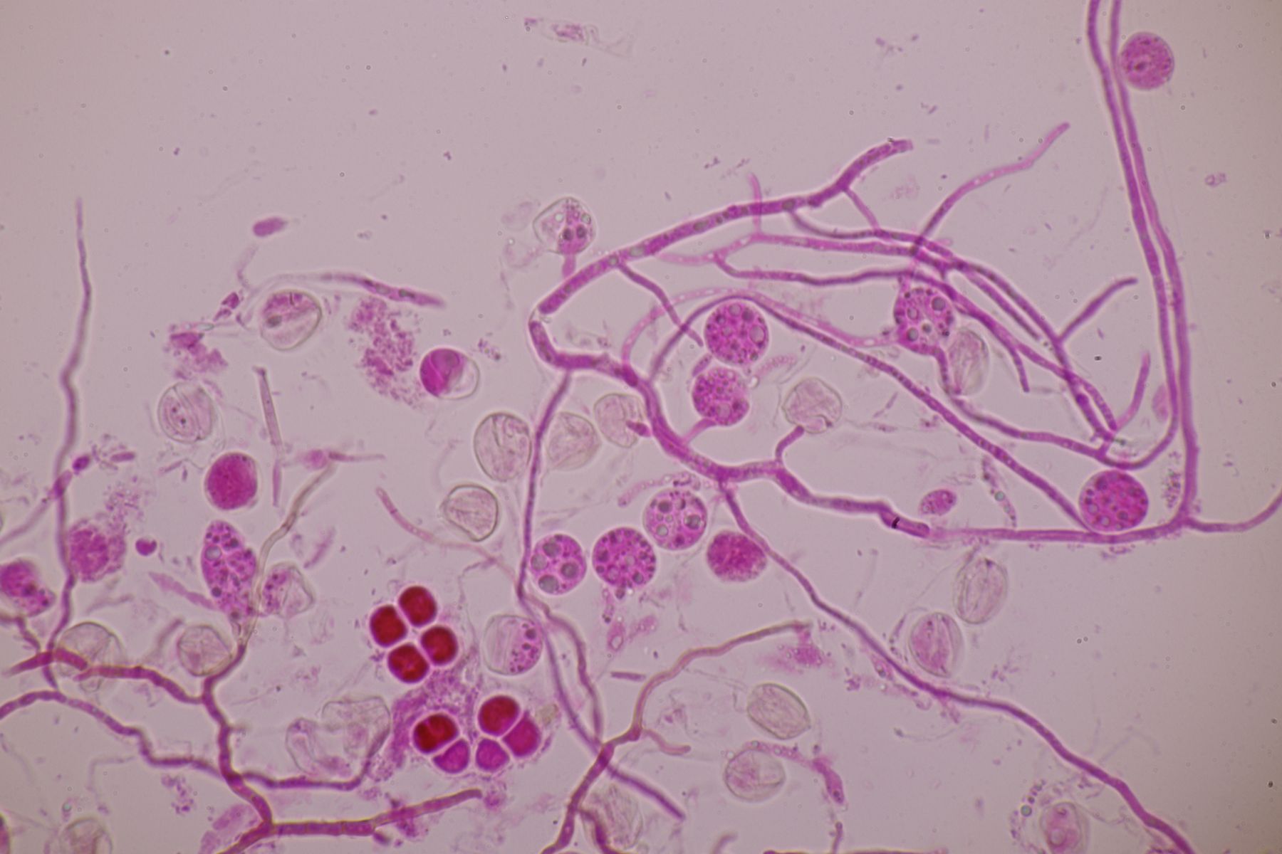
    4. Pezicula livida an Pinus strobus

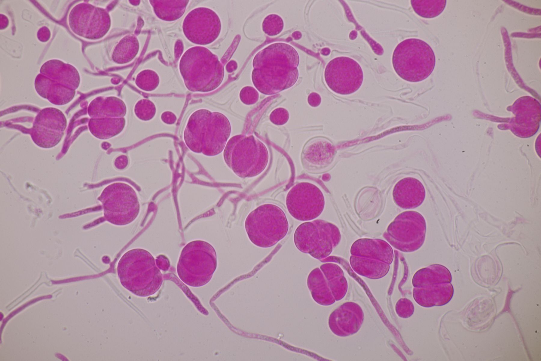
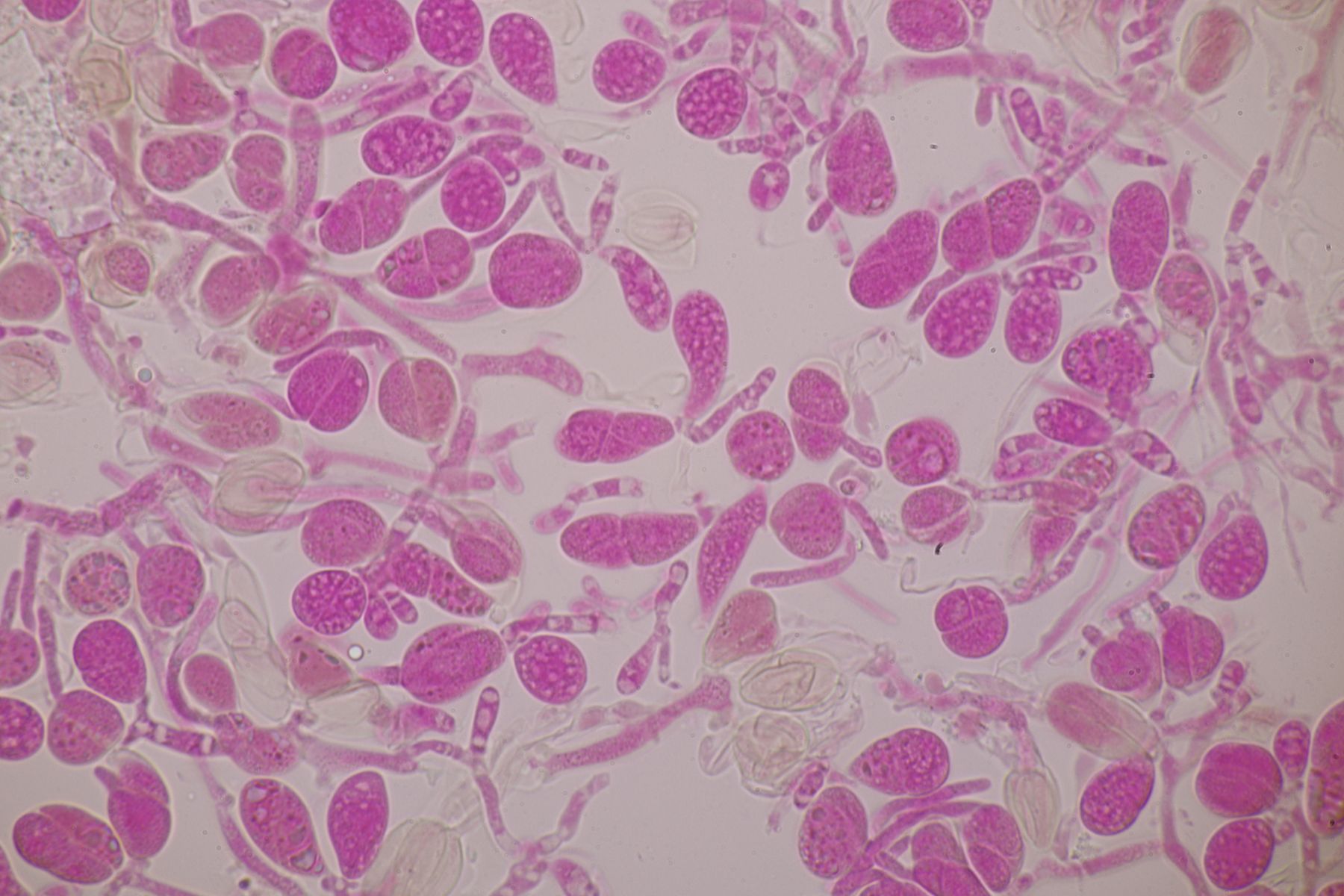
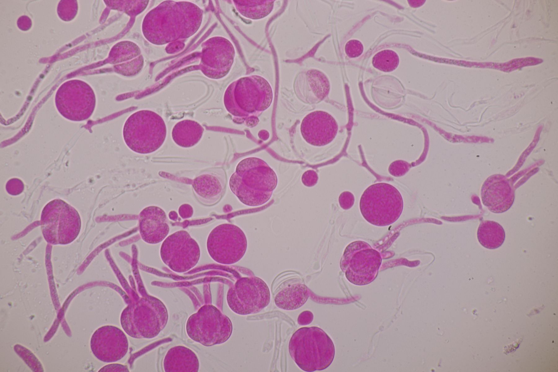
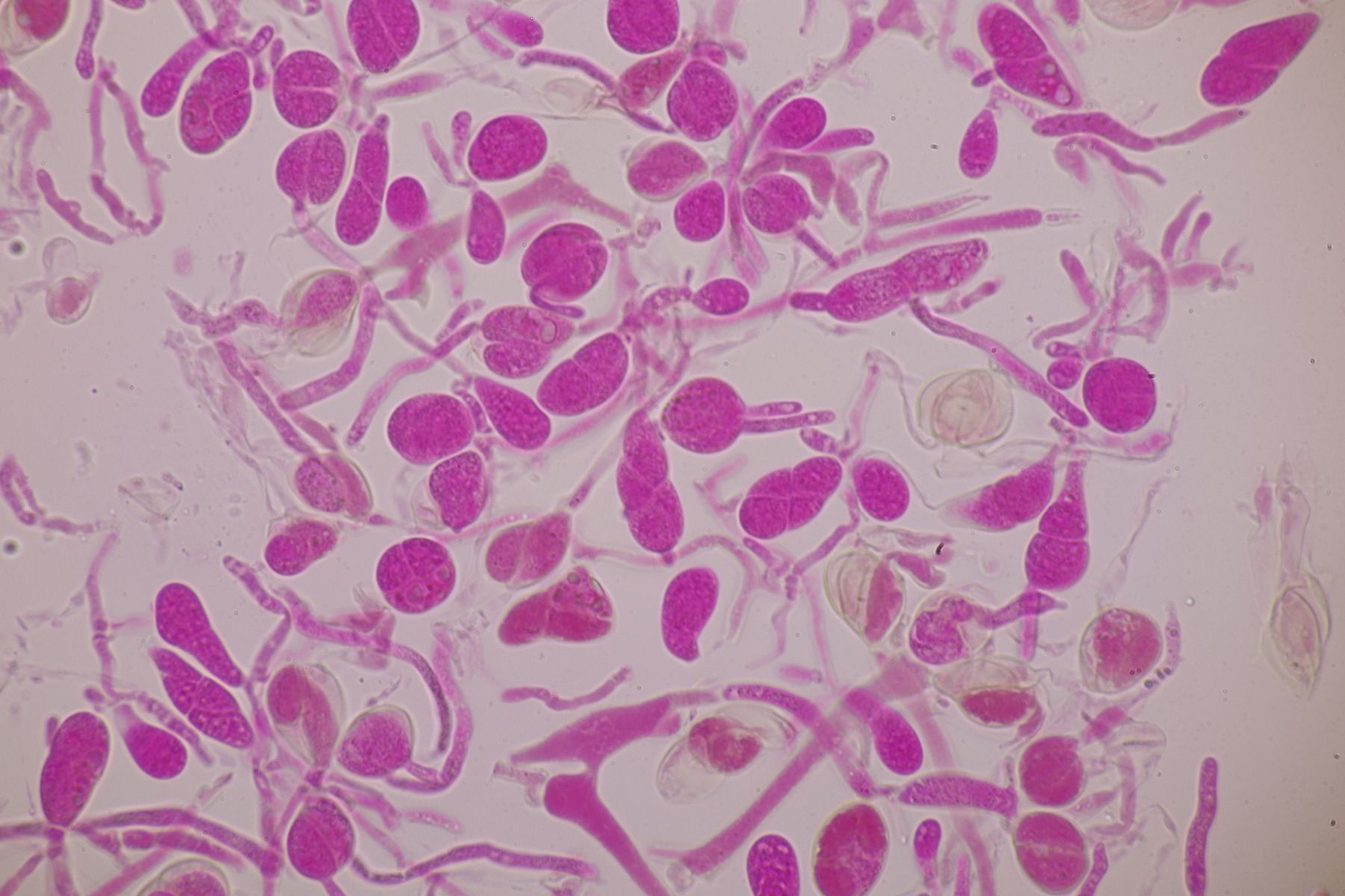
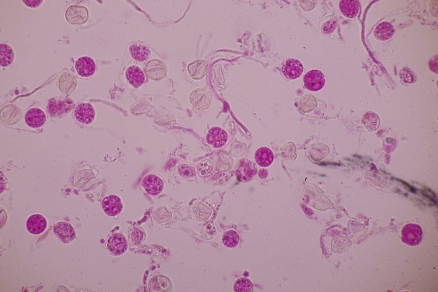
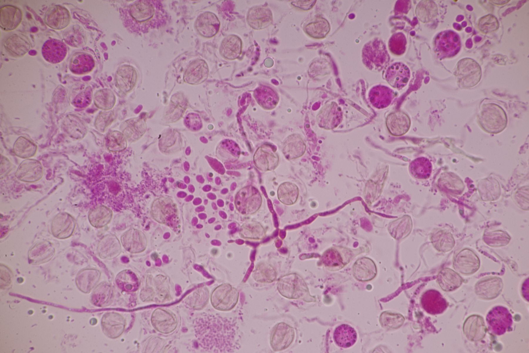
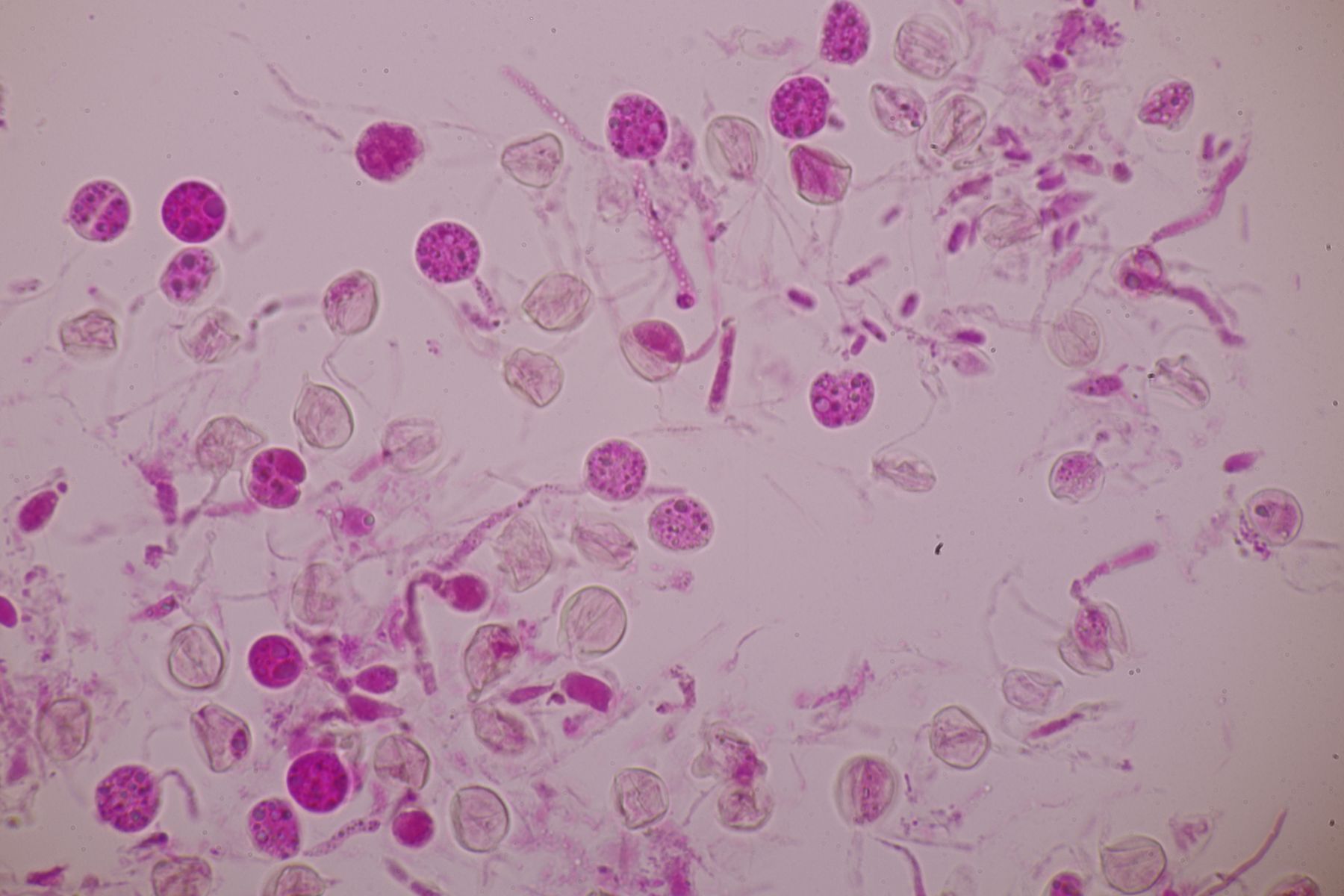
    In Baralscher Lösung

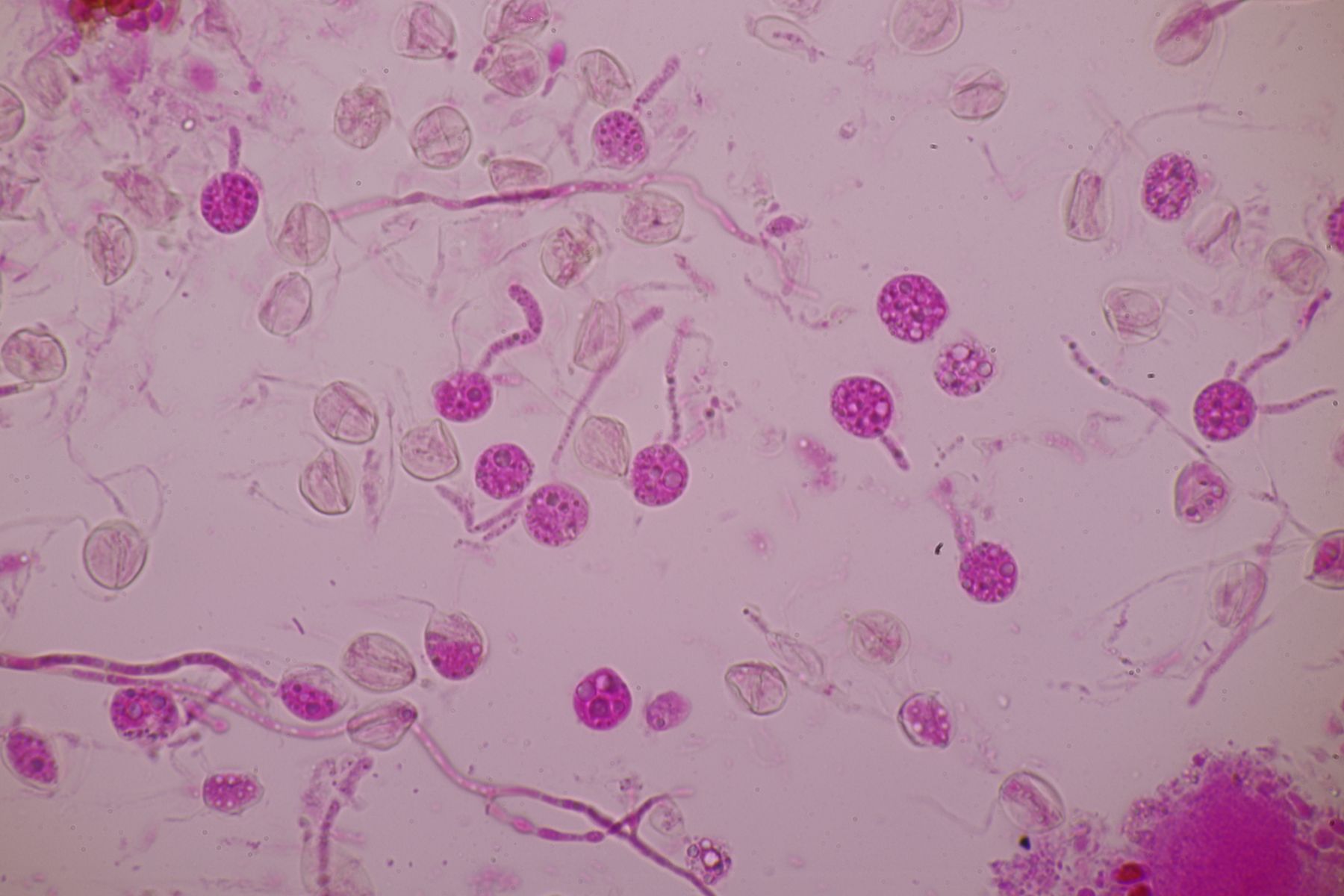
    In Baralscher Lösung nach Vorbehandlung mit KOH


    5. So sehen die Pinus strobus Plantagen aus


    6. Phaeotremella foliacea s. str.


    7. Schnappi das Krokodil!


    Björn

  • Lieber Björn,


    vielen Dank für die traumhaften Fotos vom Haareis. Ich bin immer wieder fasziniert, wenn ich Fotos davon sehen darf.

    Ich selbst habe noch nie Haareis gefunden und ich würde es sooo gerne mal live sehen.

    Liebe Grüße
    Birgit

    ____________________________________________________

    100 Chipse - APR 2024 Meldebüah 10 Chipse = 90 Chipse +3 (Nannette-Rätzel) + 6 Chipse (Platz 07) = 99 Chipse

  • Hi Björn,

    6. Phaeotremella foliacea s. str.

    Cooler Fund. War die Art auch an Pinus strobus?


    Beste Grüße

    Jan-Arne


    Im Forum gibt es keine Verzehrfreigaben, nur Hilfestellungen zu eigenständigen Vergleichen!


    Meine Homepage mit Kurzportraits von Pilzen und Tieren: fungaundfauna

  • Hallo Jan-Arne,


    da, die wuchs auch an Pinus strobus, zusammen mit Stereum sanguinolentum, an dem sie ja parasitiert.


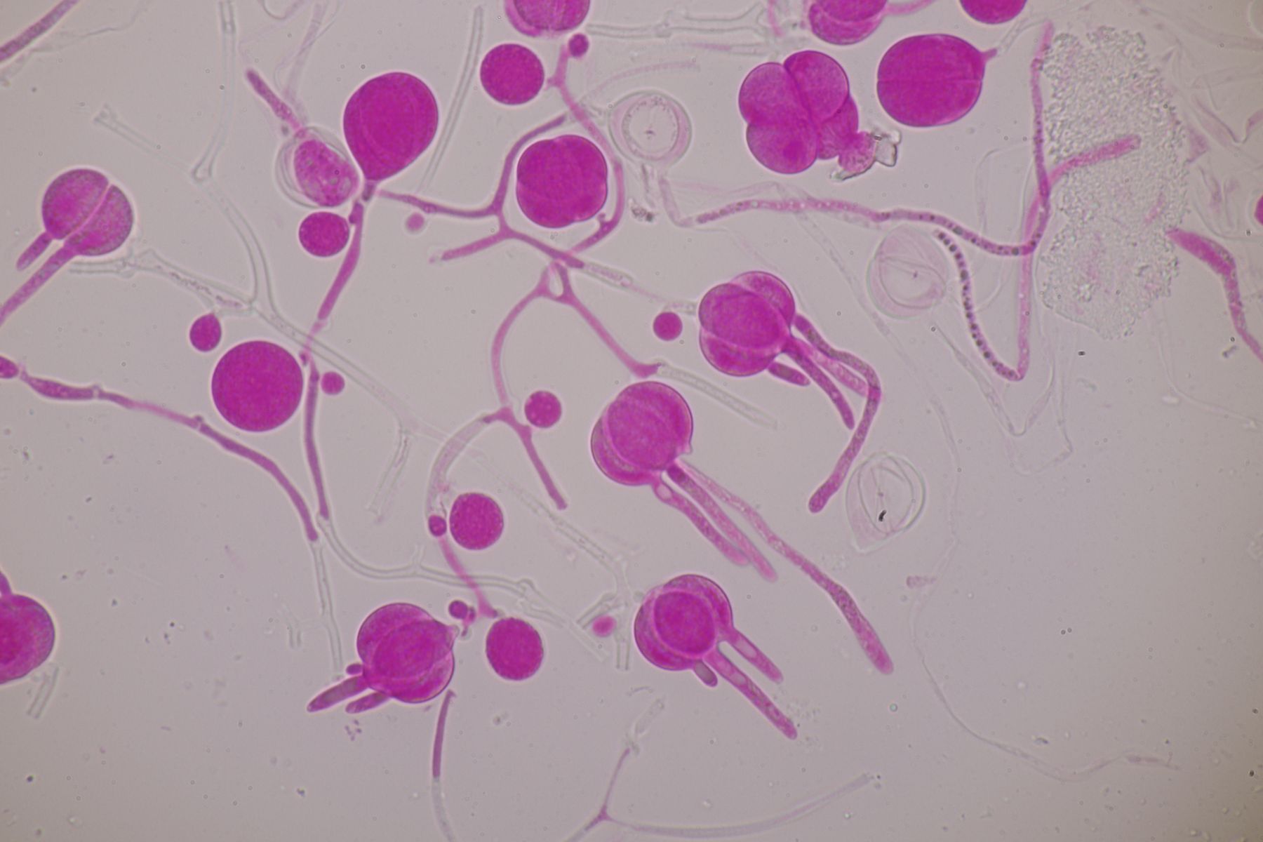
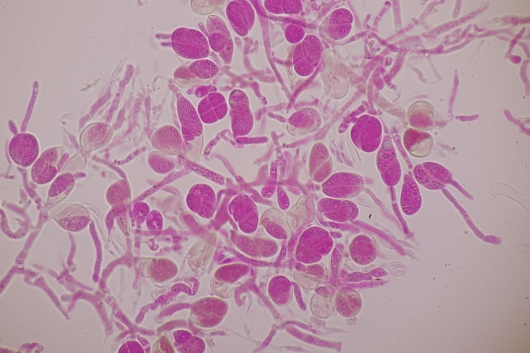
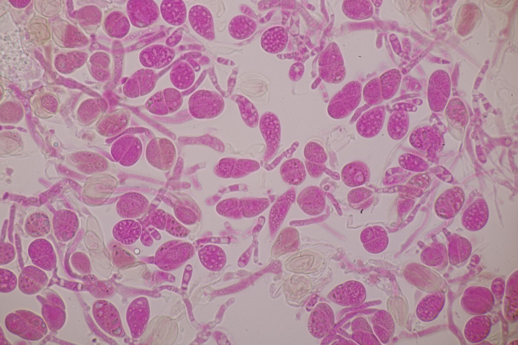
    Mittlerweile gab es sogar noch einen weiteren Pinus strobus Pilz: Ich hatte einige abgestorbene, mit Meloderma desmazierii befallene Nadeln mit nach Hause genommen und in eine feuchte Box gegeben. Da wuchs dann als Parasit auf der Meloderma noch Sirotrema translucens:



    Björn