Hallo zusammen,
eigentlich wollte ich am letzten Samstag ja noch mal eine Runde an der Mosel drehen, aber als der Wecker um 6 Uhr klingelte, verriet mir die Webseite der Deutschen Bahn, daß der RE 5 um 6:41 ausfällt. Also noch mal umdrehen, eine Runde schlafen und dann ging es ab in die Borkenberge, wo ich dann witzigerweise auf dem Rückweg noch einen Pilzfreund vom APR traf.
1. Amphinema byssoides ist mit septierten, bräunlichen Zystiden und Schnallen immer schnell erkannt.
2. Epicoccum andropogonis ex Claviceps purpurea ex Molinia caerulea
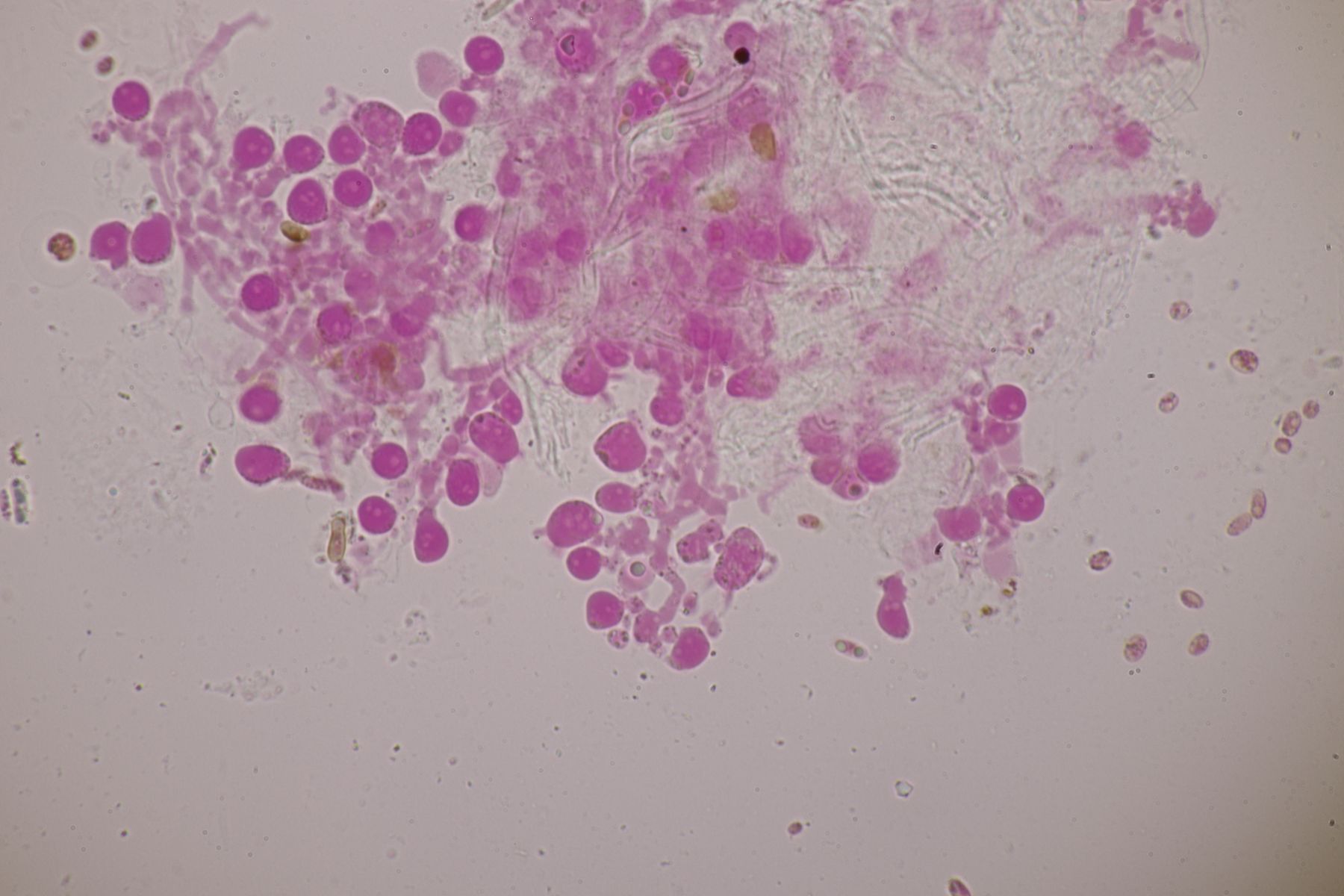
3. Dacryobolus karstenii, wo man die schönen Zystiden im Präparat leider nicht sieht, weil sie sich in KOH auflösen.
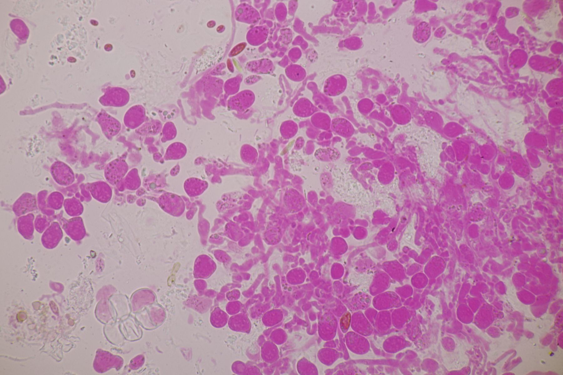
4. Phlebiopsis gigantea
5. Eine Gruppe Galerinchen mit Schnallen, ohne Pleurozystiden, ohne Pileozystiden. Sporen messen 9.6+-0.5 µm x 6.3+-0.3 µm, Q=1.5+-0.1, 8.7-10.8 µm x 5.9-6.9 µm, Q=1.4-1.6 und sind ziemlich glatt, außerdem deutlich dextrinoid. Um die genaue Bestimmung muß ich mich noch kümmern.
Cheilozystiden
Sporen
Caulozystiden
6. Eine wachsartige Kruste auf Pinus sylvestris. Die Basidien erinnern mich stark an Ceratobasidium, aber die haben alle keine Schnallen. Sporen messen 7.0+-0.4 µm x 3.8+-0.3 µm, Q=1.9+-0.2, 6.2-7.5 µm x 3.2-4.3 µm, Q=1.5-2.2
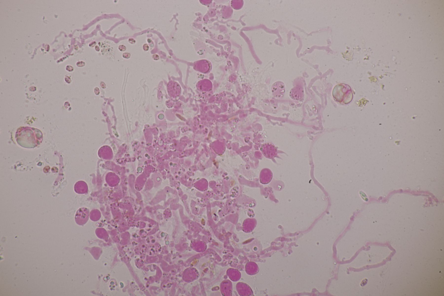
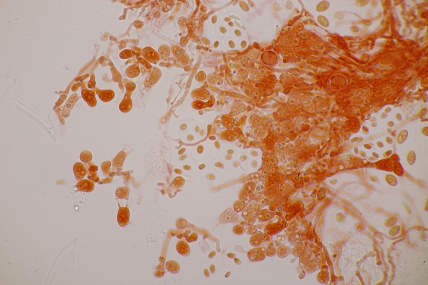
7. Dungpilze auf Kaninchen gab es auch: Sporormiella longisporopsis
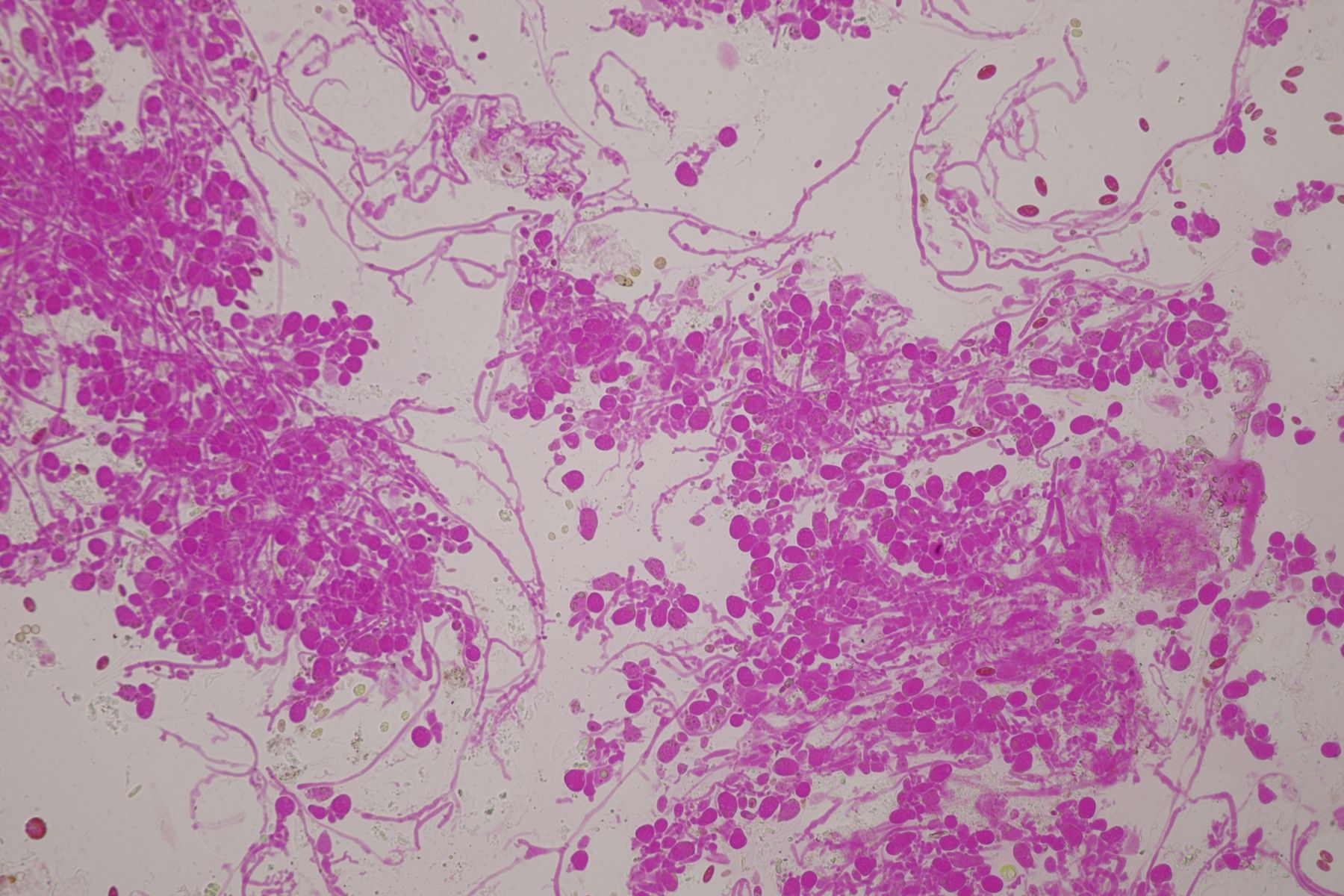
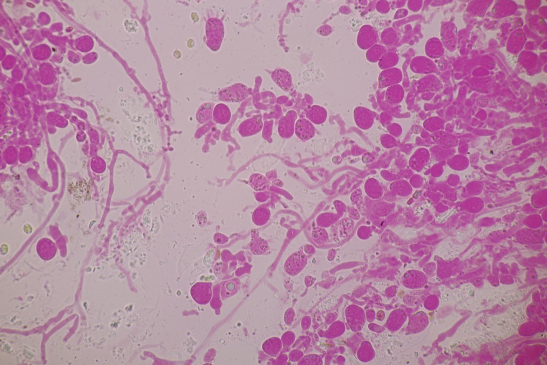
8. Hypocopra brefeldii
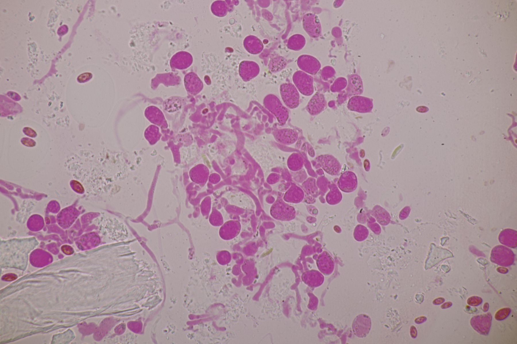
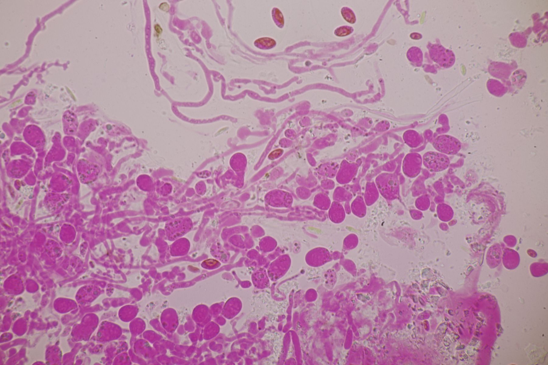
9. Coniochaeta leucoplaca
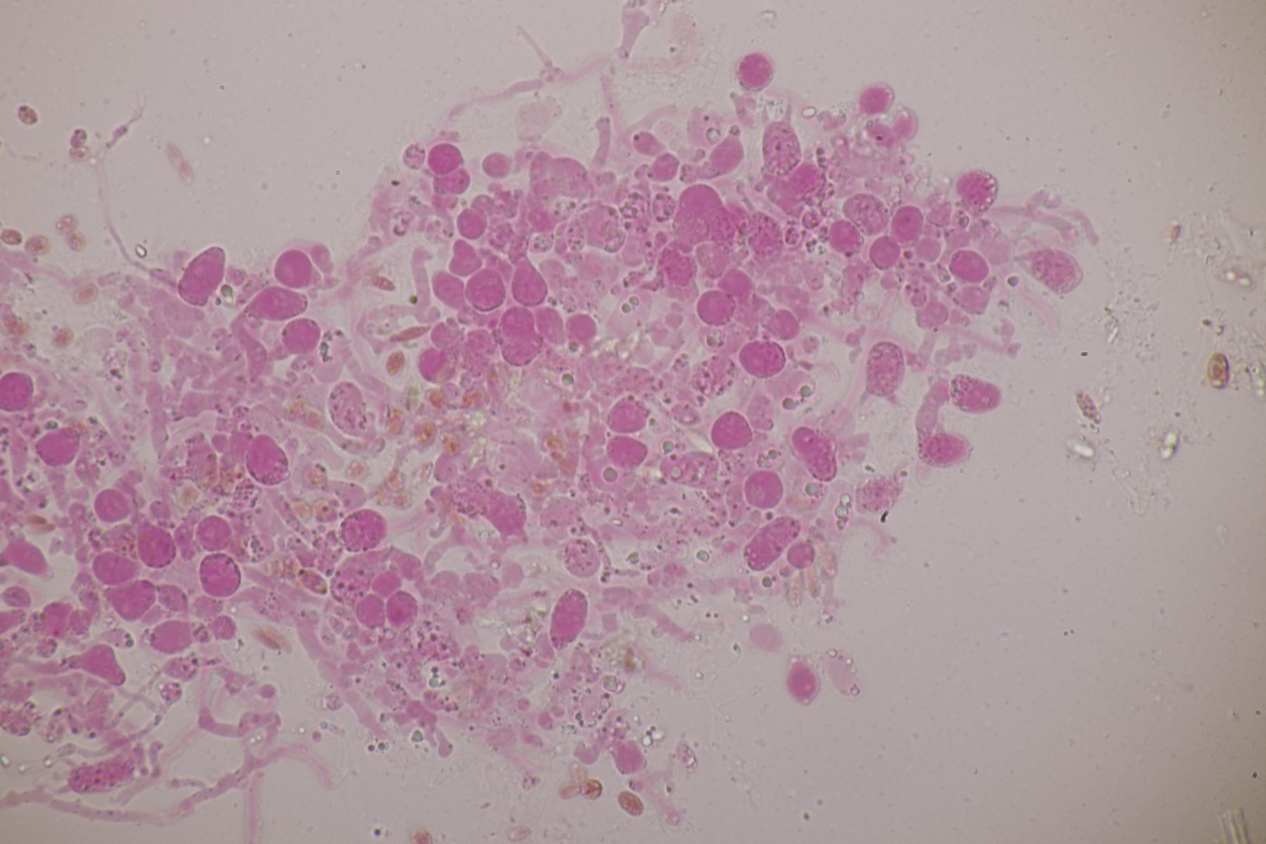
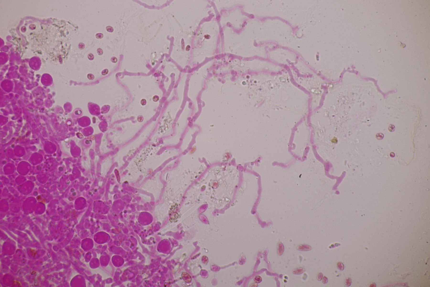
10. Delitschia didyma
11. Sordaria macrospora
Björn
