Moin,
Ich bin immer wieder unsicher bei den Huthautmerkmalen von Täublingen.
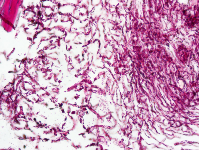
Kann mir jemand helfen, was ich hier sehe? Sind das fuchsinophile Hyphen oder nicht? Sind das Dermatozystiden?
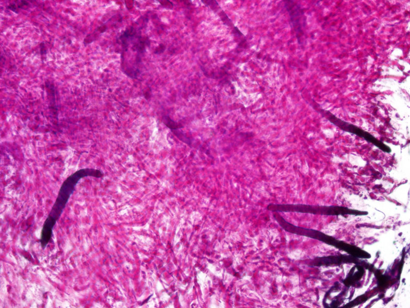
Das ist alles derselbe Pilz. Beim ersten Bild HH in Karbolfuchsin, mit Chloralhydrat ausgewaschen und in Wasser. Beim zweiten schnöde in Karbolfuchsin. Das dritte Bild ist in Sulfovanillin.
Kann man sagen, was für einen Huthauttyp mein Täubling hat?
Liebe Grüße,
Tanja
