N'abend miteinander,
auf der Wiese habe ich heute einen weißlichen nabeligen Pilz auf den Verdacht hin, dass es eine Entoloma sein könnte, eingesteckt. Das passte so. Die außerdem noch mitgenommenen jüngeren Exemplare, mit deutlich abweichender Hutform, die daneben standen, gehören aber leider nicht dazu, sondern sind nur Cuphophyllus.
Hut 15 mm, dreckigweiß mit Schuppen, Stiel 17*2 mm, hohl, konstante Dicke. Lamellen weiß, herablaufend, vereinzelt Zwischenlamellen.
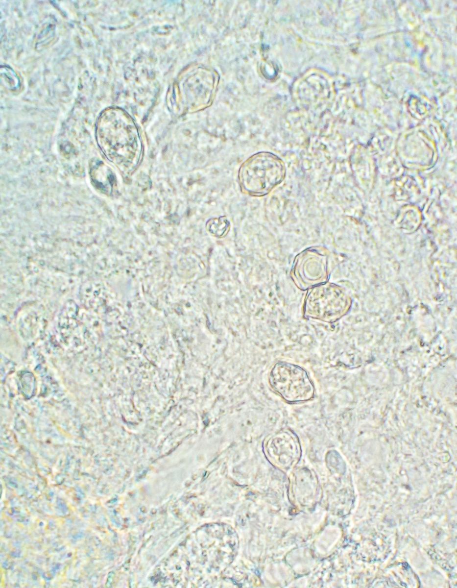
Mikros, Sporen sehr variabel in Größe und Form, (7) 8-11 (13)*5,5-6,5 (10), Q ~1,1-1,6
Pleurozystiden
Basidien, hier 26*10
Cheilozystiden?
anders geformte Cheilozystide?
HDS
hier Schüppchen
nicht sonderlich aufgeräumt
Stiel ohne Haare, ohne Kaulozystiden
E. pallens sollte keine Cheilos haben, dann kommt vielleicht noch E. rugosum in Frage. Beide sollten Schnallen haben, die ich nicht finden konnte.
Von den Arten, die ich mir angeschaut habe, ist E. pallens immernoch die am wenigsten schlecht passende.
LG, Bernd
